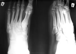
Пол пациента: Мужской пол Тип патологии: Травма Область исследования: Скелетно-мышечная система Методы исследования: Rg Юноша дней 10 назад, на тренировке получил травму стопы. Терпел и наконец пришёл к доктору на приём. ID:17766 Mon, 26/12/2011 - 17:37 #1 DR.RAD Offline Last seen: 11 years 10 months ago Joined: 25.03.2009 - 18:22 Posts: 805 перелом пятой плюсневой кости есть, есть и периостальный формирующийся регенерат. а что смутило? Mon, 26/12/2011 - 18:11 #2 Глазков Игорь А... Offline Last seen: 11 months 1 week ago Joined: 19.12.2008 - 20:41 Posts: 1597 периостального формирующегося регенерата и закрались сомнения. Вначале подумал об осложнении, ввиде периостальной реакции. Прийди к Себе Mon, 26/12/2011 - 19:10 #3 yuriy4508 Offline Last seen: 10 months 1 week ago Joined: 30.09.2011 - 13:08 Posts: 27 перелом плюсневой кости. Скажите, чем вызван интерес к "периостальный формирующийся регенерат" Не встречался с такой формулировкой. Хотелось бы знать подробнее что это такое и каковы последствия? Mon, 26/12/2011 - 20:08 #4 И.Бондаренко Offline Last seen: 2 days 13 hours ago Joined: 13.09.2011 - 22:55 Posts: 9208 Пусть ещё побегает. Tue, 27/12/2011 - 16:08 #5 Александр Викторович Offline Last seen: 8 years 2 months ago Joined: 31.07.2010 - 13:05 Posts: 639 И.Бондаренко wrote: Пусть ещё побегает.
перелом пятой плюсневой кости есть, есть и периостальный формирующийся регенерат. а что смутило?
периостального формирующегося регенерата и закрались сомнения. Вначале подумал об осложнении, ввиде периостальной реакции.
Прийди к Себе
перелом плюсневой кости. Скажите, чем вызван интерес к "периостальный формирующийся регенерат" Не встречался с такой формулировкой. Хотелось бы знать подробнее что это такое и каковы последствия?
Пусть ещё побегает.