You are here

Угадываем верифицированный диагноз IV.

Угадываем верифицированный диагноз IV.

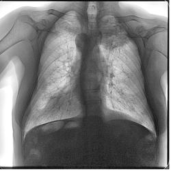
Лето 2011 г.

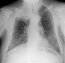
Весна 2006 г. Флюорограммы, к сожалению, плёночные.

Зима 2011 г.

  • https://radiomed.ru/sites/default/files/styles/case_slider_image/public/user/939/11593_1-393-8.jpg?itok=2KhrOwvs
  • https://radiomed.ru/sites/default/files/styles/case_slider_image/public/user/939/11594_1-393-8.jpg?itok=bCKU4N-n
  • https://radiomed.ru/sites/default/files/styles/case_slider_image/public/user/939/11597_0-1779-8.jpg?itok=6qPgZPgq
  • https://radiomed.ru/sites/default/files/styles/case_slider_image/public/user/939/11597_0-1779p-8.jpg?itok=_3500NQP
  • https://radiomed.ru/sites/default/files/styles/case_slider_image/public/user/939/11593_mfe_2378-2892-7.jpg?itok=Z58hElQm
  • https://radiomed.ru/sites/default/files/styles/case_slider_image/public/user/939/11593_mfe_2378-2892_m2r-7.jpg?itok=IuomH44Y
  • https://radiomed.ru/sites/default/files/styles/case_slider_image/public/user/939/11594_mfe_2343-2897-7.jpg?itok=X7abIox-
  • https://radiomed.ru/sites/default/files/styles/case_slider_image/public/user/939/dsc04163p-507.jpg?itok=7xf1nHH_
  • https://radiomed.ru/sites/default/files/styles/case_slider_image/public/user/939/dsc04158z-507.jpg?itok=nX8RAYHf
  • https://radiomed.ru/sites/default/files/styles/case_slider_image/public/user/939/dsc04164b-507.jpg?itok=KqcZ-HVH
  • https://radiomed.ru/sites/default/files/styles/case_slider_image/public/user/939/20420_47-349-7.jpg?itok=TSnmDGih
  • https://radiomed.ru/sites/default/files/styles/case_slider_image/public/user/939/20420_2164-2978-7.jpg?itok=f5HrRXQe
  • https://radiomed.ru/sites/default/files/styles/case_slider_image/public/user/939/0421_0-1049-7.jpg?itok=KiNis2gh
  • https://radiomed.ru/sites/default/files/styles/case_slider_image/public/user/939/20421_1561-3399mfe-7.jpg?itok=ssEgJIS-
  • https://radiomed.ru/sites/default/files/styles/case_slider_image/public/user/939/20423_0-1154u-8.jpg?itok=6H06ojRV
  • https://radiomed.ru/sites/default/files/styles/case_slider_image/public/user/939/20423_0-1154uu-8.jpg?itok=3ogKvPyU
ID:51495
И.Бондаренко's picture
Offline
Last seen: 12 hours 18 min ago
Joined: 13.09.2011 - 22:55
Posts: 9213

Если память не изменяет, очень похоже на рак Панкоста. Не вижу чётко деструкции рёбер. Но в практике был случай доброкачественного образования. Парня даже в армию призвали, пришлось его обратно на "гражданку" отправлять. 

И.Бондаренко's picture
Offline
Last seen: 12 hours 18 min ago
Joined: 13.09.2011 - 22:55
Posts: 9213

В самих лёгких определяются округлые участки, возможно, мтс.

Катенёв Валентин Львович's picture
Offline
Last seen: 7 years 5 months ago
Joined: 22.03.2008 - 22:15
Posts: 54876

На мой взгляд тень 1 ребра, особенно в проксимальных отделах - "йок тарды". А. вот фокусная тень в язычковом сегменте может быть и мета..., да, и поменее "очаговые тени" визуализируются.

Петрович's picture
Offline
Last seen: 7 years 7 months ago
Joined: 22.03.2009 - 01:13
Posts: 3908

В передней проекции (в отличие от задней) первые ребра с обеих сторон тусклые. Добавляю флюорограммы обработанные программными фильтрами. Обратите внимание: в задней проекции первые ребра видны неплохо.

Неоднозначно всё

Bob's picture
Bob
Offline
Last seen: 12 years 3 months ago
Joined: 20.08.2011 - 20:06
Posts: 218

Верхушечку бы порезать.

Туберкулез? бронхогенная дессиминация

Катенёв Валентин Львович's picture
Offline
Last seen: 7 years 5 months ago
Joined: 22.03.2008 - 22:15
Posts: 54876

Томограммы, конечно, нужны. Но, правый корень кверху не подтянут, а, следовательно, "тубером" не пахнет, ибо, если бы "это" был "тубер", то по "наворотам" - ФКТ, или локальный цирротический,и по всей видимости, корень в виде "плакучей ивы", был бы налицо.

И.Бондаренко's picture
Offline
Last seen: 12 hours 18 min ago
Joined: 13.09.2011 - 22:55
Posts: 9213

Может быть от возраста, но тени толстой кишки под правым куполом диафрагмы что-то значат или нет?

Евгений1313's picture
Offline
Last seen: 13 years 5 months ago
Joined: 15.10.2010 - 19:13
Posts: 808

Петрович что-то хитрит...

Регион05Наира's picture
Offline
Last seen: 14 years 2 months ago
Joined: 26.11.2011 - 14:43
Posts: 59

Панкост сМТС

Петрович's picture
Offline
Last seen: 7 years 7 months ago
Joined: 22.03.2009 - 01:13
Posts: 3908

Добавил наверх флюорограммы 2006 г., к сожалению плёночные. Всё что могу.

Какие ещё будут мнения?

Неоднозначно всё

ЛГ's picture
Offline
Last seen: 9 years 3 months ago
Joined: 06.01.2010 - 12:31
Posts: 3523

1-е ребро как первопричина, как мне кажется.

anuta's picture
Offline
Last seen: 14 years 1 month ago
Joined: 11.10.2011 - 18:45
Posts: 46

А в 2006 году за 1 ребром образование пропустили? Явно в наличие.

Катенёв Валентин Львович's picture
Offline
Last seen: 7 years 5 months ago
Joined: 22.03.2008 - 22:15
Posts: 54876

anuta wrote:

А в 2006 году за 1 ребром образование пропустили? Явно в наличие.

Намекаете, что рутинный периферический, подрос и надел маску Панкоста?

И.Бондаренко's picture
Offline
Last seen: 12 hours 18 min ago
Joined: 13.09.2011 - 22:55
Posts: 9213

Думаю, что первые следы в 2006 году пропустили. Наблюдали больного 80 лет в течение 4 лет. Так картина у него была стабильная. Причем было верхушечное расположение и хороший мтс в головку корня. А может центральный с мтс в верхушку. Картина не менялась годами. Да и больной потом переехал в среднюю полосу и пропал из вида.

Гриша Хата's picture
Offline
Last seen: 10 years 5 months ago
Joined: 09.02.2011 - 20:40
Posts: 665

Весна 2006 - инфильтративный туб. верхней доли справа.

Лето 2011 - цирротический туб. верхней доли справа + туберкулома верхней доли слева. Возможно даже метатуберкулёзный цирроз верхней доли справа, всё зависит от наличия признаков активности процесса, выделения МБТ, например. Да, правый корень мало подтянут кверху, возможно процесс протекал с апикальным плевритом. Зато трахея смещена вправо. Во всяком случае, уменьшение обЪёма верхней доли правого лёгкого бесспорно. Ателектаз таких размеров при периферическом раке маловероятен, остаётся цирроз на фоне туберкулёза. Длительность наблюдения тоже в пользу туберкулёза. Тем более, что я не сторонник фатальных диагнозов.

Петрович's picture
Offline
Last seen: 7 years 7 months ago
Joined: 22.03.2009 - 01:13
Posts: 3908

И.Бондаренко wrote:
Думаю, что первые следы в 2006 году пропустили. Наблюдали больного 80 лет в течение 4 лет. Так картина у него была стабильная. Причем было верхушечное расположение и хороший мтс в головку корня. А может центральный с мтс в верхушку. Картина не менялась годами. Да и больной потом переехал в среднюю полосу и пропал из вида.

Я потрясён! Вы похоже про него знаете больше меня!)) Откуда? Может и фамилию знаете?

Личной информацией просьба делиться на личной странице.

Ещё прошу показать мтс в головку корня.

Неоднозначно всё

Регион05Наира's picture
Offline
Last seen: 14 years 2 months ago
Joined: 26.11.2011 - 14:43
Posts: 59

Очень хочеться добавить:а нет ли у б-го сочетанной патологии? и это затемнение вправой верхушке тоже мтс из др.орг? из ребра??? то ,что не ТБС-однозначно-как уменьшился обьем...

Катенёв Валентин Львович's picture
Offline
Last seen: 7 years 5 months ago
Joined: 22.03.2008 - 22:15
Posts: 54876

Да, "флюшечка" интересная... и два проблемный участочка.

Приложения: 
1.da_.dsc04163p-507.jpg11.da_.dsc04163p-507a.jpg3.da_.dsc04163p-507ab.jpg11.da_.dsc04158z-507.jpg12.da_.dsc04158z-507a.jpg13.da_.dsc04158z-507ab.jpg
Катенёв Валентин Львович's picture
Offline
Last seen: 7 years 5 months ago
Joined: 22.03.2008 - 22:15
Posts: 54876

Боковая "флюшка".

Приложения: 
11.dsc04164b-507.jpg12.dsc04164b-507a.jpg13.dsc04164b-507ab.jpg
Катенёв Валентин Львович's picture
Offline
Last seen: 7 years 5 months ago
Joined: 22.03.2008 - 22:15
Posts: 54876

Петрович wrote:

 Обратите внимание: в задней проекции первые ребра видны неплохо.

Не знаю. Пожевали 1 ребро...

Приложения: 
11.11593_mfe_2378-2892-7l.jpg12.11593_mfe_2378-2892-7ln.jpg13.11593_mfe_2378-2892-7lh.jpg14.11594_1-393-8u.jpg15.11594_1-393-8ua.jpg16.11594_1-393-8uan.jpg
Катенёв Валентин Львович's picture
Offline
Last seen: 7 years 5 months ago
Joined: 22.03.2008 - 22:15
Posts: 54876

Похоже, что и метастазы во всю...

Приложения: 
11.11597_0-1779-8.jpg12.11597_0-1779-8a.jpg13.11597_0-1779-8ao.jpg14.11597_0-1779-8aod.jpg15.11597_0-1779p-8.jpg16.11597_0-1779p-8a.jpg17.11597_0-1779p-8ab.jpg
Петрович's picture
Offline
Last seen: 7 years 7 months ago
Joined: 22.03.2009 - 01:13
Posts: 3908

Тут нашёлся небольшой "рояль в кустах"…, надеюсь, поможет реабилитировать I ребро. Снято тогда же, летом 2011 г.

Про остальное немного позже.

Приложения: 
11595_0-300u-7.jpg11595_2066-3300mfe-u-7.jpg11595_1781-3048mfe-u-7.jpg

Неоднозначно всё

Бородулин М.А.'s picture
Offline
Last seen: 1 year 2 months ago
Joined: 17.02.2011 - 01:10
Posts: 1409

+5

+14

Петрович, не томите.

Петрович's picture
Offline
Last seen: 7 years 7 months ago
Joined: 22.03.2009 - 01:13
Posts: 3908

Петрович wrote:
И.Бондаренко wrote:
Думаю, что первые следы в 2006 году пропустили. Наблюдали больного 80 лет в течение 4 лет. Так картина у него была стабильная. Причем было верхушечное расположение и хороший мтс в головку корня. А может центральный с мтс в верхушку. Картина не менялась годами. Да и больной потом переехал в среднюю полосу и пропал из вида.

Я потрясён! Вы, похоже про него знаете больше меня!)) Откуда? Может и фамилию знаете?
Личной информацией просьба делиться на личной странице.
Ещё прошу показать мтс в головку корня.

Что-то молчит Экстрасенс). Тогда я прокомментирую.
В 2006 году правильный диагноз не поставлен, но патологию НЕ пропустили. Вызывали на дообследование (даты на флюорограммах разные), посылали в ПТД… пошёл иль нет, бог весть… пропал на 5 лет (может быть и правда в среднюю полосу), пропала и амбулаторная карта. Летом 2011 г. уже с новой амбулаторной картой пришёл к неврологу с болью в правом плече, а от невролога на флюорографию грудной клетки и ШОП. Периферический рак лёгкого с синдромом Панкоста уже был почти очевиден и информация об этом отдана терапевту для передачи онкологу с рекомендацией дообследовать на КТ. Но терапевты менялись… пациент продолжал лечиться у невролога и хирурга, однократно сдал мокроту на ВК и трижды кал на я/глист… к онкологу попал только через 6 мес. От него направлен на рентгенограмму грудной клетки. Она есть у меня, но доделал цифровые флюорограммы. Они информативнее их и представлю.

Неоднозначно всё

Петрович's picture
Offline
Last seen: 7 years 7 months ago
Joined: 22.03.2009 - 01:13
Posts: 3908

Добавляю наверх последние снимки, декабрьские.
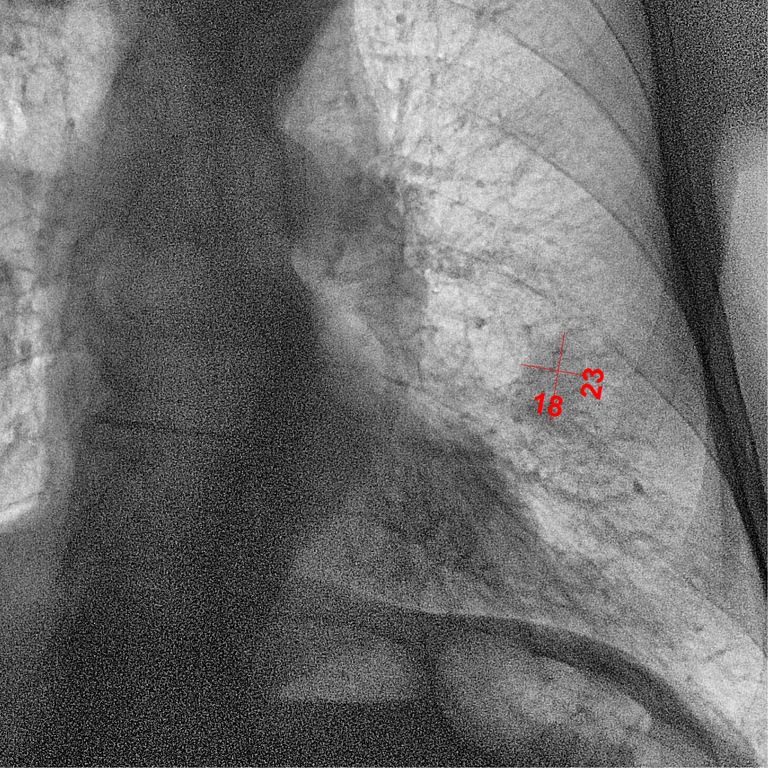
Тут уже всё ясно. Синдром Панкоста во полном объеме. Картина патогномонична. Случай почти студенческий.

Несколько странно выглядят метастазы. А ребра I  и II  целёхоньки. Вот задние отд. III  и IV  разрушены.

Неоднозначно всё

Бородулин М.А.'s picture
Offline
Last seen: 1 year 2 months ago
Joined: 17.02.2011 - 01:10
Posts: 1409

 

"Опухоль Панкоста или опухоль верхней борозды лёгкого

 — рак первого (верхушечного) сегмента лёгкого с синдромом Панкоста.

Растущая опухоль может сдавливать или прорастать плечеголовную вену (лат. v. brachiocephalica),подключичную артерию (лат. a. subclavicularis), диафрагмальный нерв (лат. n. phrenicus),возвратный гортанный нерв (лат. n. laryngeus recurrens), блуждающий нерв (лат. n. vagus); типично сдавление или прорастание звездчатого ганглия (лат. ganglium cervicotoracicum s. stellatum), что обуславливает симптоматику синдрома Горнера.

Опухоль названа в честь Генри К. Панкоста (англ. H. K. Pancoast, американский рентгенолог, 1875—1939), описавшего её в 1924 году (вначале под названием «апикальная опухоль грудной стенки»), а затем в 1932 году (изменив название на «опухоль верхней борозды лёгкого»).

Синдром (триаду) Панкоста, составляют:

  • верхушечная локализация рака легкого.
  • синдром Горнера.
  • боли в надключичной области, обычно интенсивные, внача­ле приступообразные, а затем постоянные, длительные. Они ло­кализуются в надключичной ямке (проекция плечевого сплете­ния) на стороне поражения. Боли усиливаются при надавлива­нии, иногда распространяются по ходу нервных стволов, исходя­щих из плечевого сплетения, сопровождаются онемением паль­цев и атрофией мышц. При этом движения рук могут нарушаться вплоть до паралича.

Рентгенологически при синдроме Панкоста выявляется: деструкция 1-3 ребер, а нередко и поперечных отростков ниж­них шейных и верхних грудных позвонков, деформация костного скелета. В далеко зашедших стадиях болезни осмотр выявляет односто­роннее расширение подкожных вен. Другим симптомом является сухой кашель.

Синдромы Горнера и Панкоста часто сочетаются у одного боль­ного. Однако оба синдрома нозологически неспецифичны. Кроме пер­вичного периферического и метастатического рака легкого синдром (триада) Панкоста может встречаться и при целом ряде других забо­леваний:- эхинококковая киста в легком, опухоль средостения, мезотелиома плевры, лимфогранулематоз, туберкулез".

 исходя из изложеного хотелось бы уточнить верификацию

Dr.Akulla's picture
Offline
Last seen: 12 years 3 months ago
Joined: 28.05.2011 - 20:06
Posts: 218

Присоединяюсь. К просьбе о верификации, как и чем было верифицировано? Интересный случай, спасибо за демонстрацию.

Петрович's picture
Offline
Last seen: 7 years 7 months ago
Joined: 22.03.2009 - 01:13
Posts: 3908

Господа, к черту бисер клинических симптомов!

Вскрытие ещё не скоро. Но при какой ещё патологии этой области с такими рентгенологическими проявлениями бывает деструкция ребер?
PS. И.Бондаренко ответил мне в личку. Он вспоминал другого пациента.

Неоднозначно всё

Dr.Akulla's picture
Offline
Last seen: 12 years 3 months ago
Joined: 28.05.2011 - 20:06
Posts: 218

 Есть много, друг Горацио... © Значит, верификации нет. А на нет и суда нет.

Петрович's picture
Offline
Last seen: 7 years 7 months ago
Joined: 22.03.2009 - 01:13
Posts: 3908

Для Вас, Dr.Akulla, верификация, по-видимому, авторитетное мнение стороннего специалиста? Не верите Вы в рентгенологию.
В медицине существуе понятие патогномоничный симптом, синдром. В рентгенологии они редки, но есть! Если выявляется деструкция ребер, при патологии, занимающей всю верхушку лёгкого, да ещё есть неврологические симптомы. Это - рак Панкоста. Ничего другого быть НЕ может.

Неоднозначно всё

Петрович's picture
Offline
Last seen: 7 years 7 months ago
Joined: 22.03.2009 - 01:13
Posts: 3908

Вот посмотрите "верифицированный диагноз".
http://www.radiomed.ru/cases/verifitsirovannyi-sluchai
Вы там участвовали и сомнений не высказали, хотя в том случае в рентгеновской картине нет ничего характерного. Видимо, убедило устное сообщение: цитология мокроты - рак Панкоста. А если это ошибка или обман? Я думаю: у нас разные специальности.

Неоднозначно всё

Bob's picture
Bob
Offline
Last seen: 12 years 3 months ago
Joined: 20.08.2011 - 20:06
Posts: 218

 

При обычной рентгенографии снимок является отражением исследуемого органа или его части. При этом мелкие патологические образования могут быть плохо видны или вовсе не визуализироваться вследствие суперпозиции тканей (наложения одного слоя на другой).

Это положение в комментариях по первому ребру неоднократно доказывалось автором публикации.

По 3-му, 4-му ребрам - вопрос к автору: Где томограммы?

Dr.Akulla's picture
Offline
Last seen: 12 years 3 months ago
Joined: 28.05.2011 - 20:06
Posts: 218

 

Закончу обмен цитатами. «Это - рак Панкоста. Ничего другого быть НЕ может.» © - «Этого не может быть, потому что не может быть никогда.» © И несмотря на отсутствие сомнений у меня: "Ничто не вызывает в постулатах столько сомнений, как полная их незыблемость"© smiley

В наблюдении Kat я задал вопрос и поблагодарил за ответ, не более, не менее. В Вашем наблюдении я задал вопрос, поблагодарил за случай и принял то, что верификации пока нет. Я удовлетворен ответами на свои вопросы. Чем же неудовлетворенны Вы, Петрович? surprise Ваши досада и раздражение мне непонятны, а Ваше многоточие после «…На нет и суда нет» в дальнейших моих комментариях не нуждается.

Петрович's picture
Offline
Last seen: 7 years 7 months ago
Joined: 22.03.2009 - 01:13
Posts: 3908

Это положение в комментариях по первому ребру неоднократно доказывалось автором публикации.[/quote] Не надо мне приписывать того, чего я не делал. Я просто добавлял более информативные для I  ребра снимки, а они уж сами и доказывали.

Bob wrote:
По 3-му, 4-му ребрам - вопрос к автору: Где томограммы?
Томограмм нет, потому что нет вопросов по III, IV  ребрам. Цифровые флюорограммы декабря уже содержат исчерпывающую информацию относительно их деструкции и уточнения не требуется. Томограммы не дадут большего. Если мне не верите спросите других рентгенологов, их немало на сайте.

Неоднозначно всё

Петрович's picture
Offline
Last seen: 7 years 7 months ago
Joined: 22.03.2009 - 01:13
Posts: 3908

Bob wrote:
При обычной рентгенографии снимок является отражением исследуемого органа или его части. При этом мелкие патологические образования могут быть плохо видны или вовсе не визуализироваться вследствие суперпозиции тканей (наложения одного слоя на другой).
Это положение в комментариях по первому ребру неоднократно доказывалось автором публикации.
Не надо мне приписывать того, чего я не делал. Я просто добавлял более информативные для I  ребра снимки, а они уж сами и доказывали.
Bob wrote:
По 3-му, 4-му ребрам - вопрос к автору: Где томограммы?
Томограмм нет, потому что нет вопросов по III, IV  ребрам. Цифровые флюорограммы декабря уже содержат исчерпывающую информацию относительно их деструкции и уточнения не требуется. Томограммы не дадут большего. Всё тут видно. Если мне не верите, спросите других рентгенологов, их немало на сайте.

Неоднозначно всё

Петрович's picture
Offline
Last seen: 7 years 7 months ago
Joined: 22.03.2009 - 01:13
Posts: 3908

Dr.Akulla wrote:
Закончу обмен цитатами. «Это - рак Панкоста. Ничего другого быть НЕ может.» © - «Этого не может быть, потому что не может быть никогда.» © И несмотря на отсутствие сомнений у меня: "Ничто не вызывает в постулатах столько сомнений, как полная их незыблемость"© 
Это, сударь, недобросовестный приём: вырвать утверждение из цельной мысли (при этом предложение обосновывающее это утверждение отбрасываете), прибавляете к сему пару афоризмов, вполне бессмысленных (похоже, они наготове в вашем арсенале). Намёк понятен. Но Петрович любит ясность и приводит всю ключевую мысль целиком (на случай, если Вы не поняли) << Если выявляется деструкция ребер, при патологии, занимающей всю верхушку лёгкого, да ещё есть неврологические симптомы. Это – рак Панкоста. Ничего другого быть НЕ может >> .
Между прочим, абсолютные утверждения вроде вышеприведённого легко опровергаются: достаточно привести 1 (один) пример противоречащий такому утверждению. Он у Вас есть?
Dr.Akulla wrote:
В наблюдении Kat я задал вопрос и поблагодарил за ответ, не более, не менее.
  Конкретно Вы поблагодарили за сообщение: "цитология мокроты – рак Панкоста". Очень странное сообщение, т.к. вряд ли где найдётся информация о достоверных цитологических признаках рака Панкоста (поскольку данный термин не имеет никакого отношения к патоморфологии) удостоено вашей благодарности.
Dr.Akulla wrote:
В Вашем наблюдении я задал вопрос, поблагодарил за случай и принял то, что верификации пока нет.
Да, почему же нет? А что Вы называете верификацией? Как Вам такое определение: Верификация (позднелат. verificatio — доказательство, подтверждение, от лат. verus — истинный и facio — делаю) эмпирическое подтверждение теоретических положений науки путём "возвращения" к наглядному уровню познания, когда идеальный характер абстракций игнорируется и они "отождествляются" с наблюдаемыми объектами. По-моему выявлены очень наглядные рентгенологические + клинические признаки, которые характеризуют рак Панкоста (будь он неладен!). Вот Вы приведите 1 (один) пример противоречащий вышеприведённому абсолютному утверждению и будем считать, что верификации нет.
Dr.Akulla wrote:
Я удовлетворен ответами на свои вопросы. Чем же неудовлетворенны Вы, Петрович?   Ваши досада и раздражение мне непонятны,
Теперь надеюсь, понятны?
Dr.Akulla wrote:
а Ваше многоточие после «…На нет и суда нет» в дальнейших моих комментариях не нуждается.
Не понял: ГДЕ находится моё многоточие?

Неоднозначно всё

Bob's picture
Bob
Offline
Last seen: 12 years 3 months ago
Joined: 20.08.2011 - 20:06
Posts: 218

Петрович wrote:

Bob wrote:
При обычной рентгенографии снимок является отражением исследуемого органа или его части. При этом мелкие патологические образования могут быть плохо видны или вовсе не визуализироваться вследствие суперпозиции тканей (наложения одного слоя на другой).
Это положение в комментариях по первому ребру неоднократно доказывалось автором публикации.
Не надо мне приписывать того, чего я не делал. Я просто добавлял более информативные для I  ребра снимки, а они уж сами и доказывали.
Bob wrote:
По 3-му, 4-му ребрам - вопрос к автору: Где томограммы?
Томограмм нет, потому что нет вопросов по III, IV  ребрам. Цифровые флюорограммы декабря уже содержат исчерпывающую информацию относительно их деструкции и уточнения не требуется. Томограммы не дадут большего. Всё тут видно. Если мне не верите, спросите других рентгенологов, их немало на сайте.

Цифровое исследование не заменяет томографию. Я даже охотно бы Вам поверил, если бы Вы аппелировали к проведенной Вами рентгеноскопии.

 

 

Суперпозиция — методологический прием заключающийся в упертом отстаивании своей позиции, несмотря на все имеющиеся факты. Применяется при доказывании лженаучной теории. Один из самых распространенных приемов во многих разделах лженауки и особенно в гуманитарных дисциплинах.

В самой простой формулировке принцип суперпозиции гласит:

  • результат внешнего воздействия на оппонента с помощью аргументов есть просто произведение суммы этих воздействий на ноль.

Принцип суперпозиции может принимать и иные формулировки, которые, подчеркнём, полностью эквивалентны приведённой выше:

  • Воздействие на оппонента с помощью двух аргументов не изменяется при добавлении третьего, также взаимодействующего с первыми двумя.
  • Степень воздействия всех аргументов в сложной системе доказывания есть просто сумма парных взаимодействий между всеми возможными парами помноженная на ноль.

P.S. диагноз рака должен быть верифицирован ГИСТОЛОГИЧЕСКИ.

Bob's picture
Bob
Offline
Last seen: 12 years 3 months ago
Joined: 20.08.2011 - 20:06
Posts: 218

Из Ваших последних весьма эмоциональных высказываний я понял, что Вы  в понятие суперпозиция вкладывайте гораздо, больщее, чем особенности формирования рентгенологического изображения. Для Вас оно гесет более высокий философский аспект. Как то:

http://www.freakopedia.ru/wiki/Суперпозиция.

Спасибо за демонстрацию незаконченого случая.

С уважением к Вашей точке зрения Bob.

Петрович's picture
Offline
Last seen: 7 years 7 months ago
Joined: 22.03.2009 - 01:13
Posts: 3908

И вот опять попытка, довольно неуклюжая, перевести содержательный разговор в русло привычной для себя демагогии. Я понятие «суперпозиция» нигде не употребил, не вкручивайте – лишнее оно здесь. И теперь понятно, зачем ОНО понадобилось вам, г. Bob: очень хотелось заёмную «мудрую» мысль в разговор ввернуть и хоть малость уязвить Петровича. Не получилось: Вы слишком мелко плаваете и путаете Форму с Содержанием.

Эмоциональность моих высказываний проявилась только в споре с Dr.Akullой, поскольку я считаю его профессионалом серьёзного уровня и его мнение для меня важно. К Вам это не относится. Но если хотите изменить моё представление о Вас, дайте ссылки на собственные публикации. Посмотрю с интересом. Они есть у Вас?
И напоследок.

Bob wrote:
Спасибо за демонстрацию незаконченого случая.
Если нетрудно, поясните, чего здесь не хватает для «законченности»?

Неоднозначно всё

Bob's picture
Bob
Offline
Last seen: 12 years 3 months ago
Joined: 20.08.2011 - 20:06
Posts: 218

Петрович wrote:

И вот опять попытка, довольно неуклюжая, перевести содержательный разговор в русло привычной для себя демагогии. Я понятие «суперпозиция» нигде не употребил, не вкручивайте – лишнее оно здесь. И теперь понятно, зачем ОНО понадобилось вам, г. Bob: очень хотелось заёмную «мудрую» мысль в разговор ввернуть и хоть малость уязвить Петровича. Не получилось: Вы слишком мелко плаваете и путаете Форму с Содержанием.

Эмоциональность моих высказываний проявилась только в споре с Dr.Akullой, поскольку я считаю его профессионалом серьёзного уровня и его мнение для меня важно. К Вам это не относится. Но если хотите изменить моё представление о Вас, дайте ссылки на собственные публикации. Посмотрю с интересом. Они есть у Вас?
И напоследок.

Bob wrote:
Спасибо за демонстрацию незаконченого случая.
Если нетрудно, поясните, чего здесь не хватает для «законченности»?

 

Еще раз перечитал комментарии и получил необыкновенный заряд  праздничного веселого настроения

Весь мир театр и люди в нем актеры.

Хотелось бы еще  раз отметить блестящую игру  актера исполнителя роли Паниковского в лице автора публикации Петровича, реалистично создавшего своими перлами -  запоминающийся, всеми любимый  и легко узнаваемый образ. Великолепное исполнение заслуживает только одного эпитета ТАЛАНТИЩЕ.

Для законченности случая не хватает бурных продолжительных аплодисментов, переходящих в овацию.  

КАГ's picture
Offline
Last seen: 10 months 2 weeks ago
Joined: 24.10.2010 - 16:30
Posts: 199

Занавес!!!

Петрович's picture
Offline
Last seen: 7 years 7 months ago
Joined: 22.03.2009 - 01:13
Posts: 3908

Ланна, Бобик, на первый раз прощу. Условно. В честь дня рождения Агнца нашего.
А ссылок на собственные публикации, как я понимаю, не будет: тролли публикациями не заморочиваются)).

Но отчего это Белый и Пушистый неразговорчив так?))

Неоднозначно всё

Гриша Хата's picture
Offline
Last seen: 10 years 5 months ago
Joined: 09.02.2011 - 20:40
Posts: 665

А ведь бывает, что на месте туберкулёза через 5 лет периферический рак? У пожилого мужчины - вполне возможно. Совсем другое дело, как до такого допустили в крупном городе с хорошо развитой сетью мед. учреждений?

 Если больного долго не удаётся привлечь к обследованию или лечению, в его мед. карте нужно писать: "Выбыл в Херсон". И пусть на меня не обижаются жители этого прекрасного города, но первая часть слова точно отражает место, где находится больной, а вторая - состояние нашей диспансеризации. А у Вас, Петрович, вместо Херсона средняя полоса?

Петрович's picture
Offline
Last seen: 7 years 7 months ago
Joined: 22.03.2009 - 01:13
Posts: 3908

Средняя полоса – это в России устойчивое словосочетание и ёмкое понятие, как например Чёрная дыра. Впервые употребил его здесь не я, а коллега И.Бондаренко. Ему сверху глобуса, из Мурманска, где сейчас полярная ночь и северное сияние над тундрой, наверное, всё – Средняя полоса: и леса, и поля, и прекрасный город. А за диспансеризацию я не отвечаю, так что ваша бочка мимо.
Я рад, что наиболее здравомыслящий Кот на сайте с окончательным диагнозом согласен и не требует экзотической верификации.

Неоднозначно всё

Dr.Akulla's picture
Offline
Last seen: 12 years 3 months ago
Joined: 28.05.2011 - 20:06
Posts: 218

Уважаемый Петрович! Теперь мне всё предельно понятно, благодарю за разъяснения. Простите ли мне слабость мою узнать результаты цитологический, гистологической верификации, поскольку рентгенологическая и клиническая освещена Вами в полной мере? smiley Остальное позволил себе отправить Вам в личном сообщении. 

Петрович's picture
Offline
Last seen: 7 years 7 months ago
Joined: 22.03.2009 - 01:13
Posts: 3908

Прошу и меня простить за резкость местами.

            .  Laie_54.gif

Неоднозначно всё

И.Бондаренко's picture
Offline
Last seen: 12 hours 18 min ago
Joined: 13.09.2011 - 22:55
Posts: 9213

Спасибо, что договорились. У нас действительно Полярная ночь, но северного сияния ещё не видел. 

Andy061's picture
Offline
Last seen: 10 years 5 months ago
Joined: 29.05.2011 - 08:18
Posts: 92
Синдром Панкоста - поражение VIII шейного, I и II грудных спинномозговых нервов. Он проявляется болью в плече, иррадиирующей по ходу локтевого нерва , нарушение чувствительности руки , слабость мышц руки и атрофия мышц руки , сочетающиеся с синдромом Горнера (птоз, миоз и энофтальм)- нарушение симпатической иннрервации глаза, неврные пучки выходят из средних рогов спинного мозга на уровне шейного утолщения, обвивабт сонную артерию и входят в череп, а потом к глазу.

Если есть афония, то поражение нерва, который иннервирует голосовые связки (скорее это уже метастазы или очень высококе разрастание опухоли). Точно не помню какие нервы иннервируют голосовые связки. IX, XII, Х нервы иннервируют артикуляционный аппарат. Эти нервы выходят из ствола спинного мозга. Если прорастание опухоли высокое, то вполне возможно периферическое поражение. Там надо смотреть девиацию языка, возможно фебриллярные подёргивания в языке, нарушение глотания.
Это коммент невролога-часто такие больные попадают именно к ним-
я обратился за консультацией,больную осматривал на дому-обратил внимантие на афонию...
Диагноз сообща ставили неврологически
и по какому-то мутному описанию флюшки
Познавательный случай-спасибо.
Петрович's picture
Offline
Last seen: 7 years 7 months ago
Joined: 22.03.2009 - 01:13
Posts: 3908

Пациента видел я мельком. Синдрома Горнера не заметил, афонии точно нет, слуховой аппарат есть. Контакт с окружающей действительностью не вполне адекватен: не смог объяснить, почему за полгода к онкологу не собрался, домашний адрес свой спутал. Однако, вряд ли из-за метастазов, скорей всего сосудистые нарушения – 83 года.   
И я доволен, троллей на сайте поубавилось. d_sunny.gif

Неоднозначно всё

Андрей Юрьевич's picture
Offline
Last seen: 1 week 1 day ago
Joined: 16.11.2008 - 22:16
Posts: 18106

Andy061 wrote:
...Если есть афония, то поражение нерва, который иннервирует голосовые связки (скорее это уже метастазы или очень высококе разрастание опухоли). Точно не помню какие нервы иннервируют голосовые связки. IX, XII, Х нервы иннервируют артикуляционный аппарат. Эти нервы выходят из ствола спинного мозга.

Все не так сложно, если знать анатомию ...

Гортань иннервируется верхним и возвратным гортанными нервами (ветви блуждающих нервов), а также ветвями от симпатического ствола. Поля иннервации гортанных нервов перекрывают друг друга в среднем отделе гортани....Правый возвратный гортанный нерв, n. laryngeus recurrens dexter, отходящий от блуждающего нерва на уровне правой подключичной артерии, по трахеопищеводной борозде поднимается до уровня перстнещитовидного сустава, после чего проникает через заднюю стенку в полость гортани. Левый возвратный гортанный нерв, n. laryngeus recurrens sinister отходит от блуждающего нерва на уровне нижнего края дуги аорты, затем идет позади трахеи по передней стенке пищевода. Конечная ветвь левого возвратного гортанного нерва проникает в полость гортани так же, как и ветвь правого.

Андрей Юрьевич