Спасибо большое за представленные изображения. А можно точнить возраст пациенток, т.к. мне как раз для презентации нужны маммограммы пациенток в возрасте 35-50 лет.
Спасибо большое за представленные изображения. А можно точнить возраст пациенток, т.к. мне как раз для презентации нужны маммограммы пациенток в возрасте 35-50 лет.
Во время скрининга маммографии используются два вида:
Медиолатеральный косой вид
Краниокаудальный взгляд.
Лучший способ правильно читать маммограммы - позиционировать маммограммы в окне просмотра в зеркальном изображении с просмотрами MLO и CC, установленными сзади
Анализ маммограммы требует качественной визуализации и систематического диагностического подхода, включающего два этапа:
На первом этапе целью является выявление локализованного различного структурного аспекта по сравнению с соседними регионами и контралатеральной грудью.
Второй шаг заключается в анализе этого аспекта, чтобы распознать более или менее физиологические вариации или, наоборот, классифицировать изображение как подозрительное. Изучение нормальной груди может быть затруднено, особенно для молодых женщин, у которых часто бывает плотная и нерегулярная грудь.
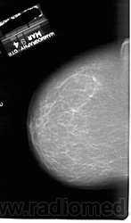
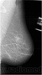
Могут наблюдаться три основных типа аномалий:
асимметричные плотности ,
масс (с анализом их форм, размеров и пограничных характеристик) и искажений архитектуры
кальцификации, для которых размер, количество, распределение, морфология и неоднородность должны быть детализированы.
Увеличительное стекло является очень полезным инструментом во время этого исследования. Женскую грудь можно схематически описать (см. Предыдущую страницу) как от 10 до 20 гландулярных конических лопастей, основание которых расположено на грудной мышце, а вершина - это сопло. Каждая лепесток сопровождается конъюнктивными структурами, среди которых жировая ткань.
Жировая ткань является радиопрозрачной: плотность обусловлена лобулярными и протоковыми элементами, а также волокнистыми опорными структурами. Маленькие протоки сходятся к ниппели.
Со старением железистая ткань постепенно исчезает: прозрачность жировой ткани становится преобладающей с несколькими каркасами, связанными с опорными волокнистыми структурами.
Нажмите на миниатюрные картинки, чтобы получить увеличенный размер.
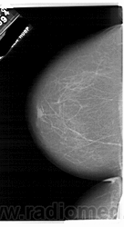
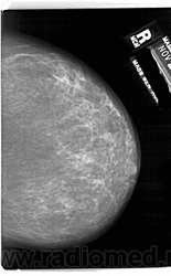
Жирная (не плотная) грудь
Умеренно плотная грудь
Плотная грудь
Маммограммы представляют собой изображения структур, проецируемых на плоскость: плотная грудная маммограмма, следовательно, состоит из многих других структур, которые необходимо проанализировать, чем более жирная, пустая грудь. По этой причине диагностировать рак молочной железы труднее для моложе, чем для пожилых женщин.
The results of each mammogram bear a code that depending on what is written is interpreted as: BI-RADS 0: Assessment is incomplete. Further imaging examinations are needed. BI-RADS 1: Negative mammogram. BI-RADS 2: Benign findings. BI-RADS 3: Probably benign findings, a deviation of 2% may concern lesions representing malignancy. BI-RADS 4: Findings with a probability of malignancy (3-94%). Further investigation with a biopsy is necessary. Category 4 is divided into 4a, 4b and 4c. Category 4a includes lesions that have morphological characteristics that are suggestive of benign causes (degenerating fibroadenomas, complicated cysts). Category 4b includes lesions that have a higher suspicion of malignancy. A histological examination is necessary. Category 4c includes lesions that have morphological characters even more suspicious of malignancy. The lesion is further investigated with a biopsy. BI-RADS 5: Findings with typical malignant characters. Further management is necessary. BI-RADS 6: Malignant lesions confirmed by histological examination.
Представленные в наборе изображения заимствованы с обучающего сайта Университета Южной Флориды.
ВОЗРАСТНЫЕ ОСОБЕННОСТИ.
Спасибо большое за представленные изображения. А можно точнить возраст пациенток, т.к. мне как раз для презентации нужны маммограммы пациенток в возрасте 35-50 лет.
Значит пройдут. Возраст подходящий.
Продолжение.
Валентин Львович. Спасибо.
Прийди к Себе
Четко, здорово.Спасибо!
Интерпретация маммограмм
http://www.oncoprof.net/Generale2000/g04_Diagnostic/Mammographie/gb04_mm04.html
Интерпретация маммограмм
Во время скрининга маммографии используются два вида:
Лучший способ правильно читать маммограммы - позиционировать маммограммы в окне просмотра в зеркальном изображении с просмотрами MLO и CC, установленными сзади
Анализ маммограммы требует качественной визуализации и систематического диагностического подхода, включающего два этапа:
На первом этапе целью является выявление локализованного различного структурного аспекта по сравнению с соседними регионами и контралатеральной грудью.
Второй шаг заключается в анализе этого аспекта, чтобы распознать более или менее физиологические вариации или, наоборот, классифицировать изображение как подозрительное. Изучение нормальной груди может быть затруднено, особенно для молодых женщин, у которых часто бывает плотная и нерегулярная грудь.
Могут наблюдаться три основных типа аномалий:
асимметричные плотности ,
масс (с анализом их форм, размеров и пограничных характеристик) и искажений архитектуры
Увеличительное стекло является очень полезным инструментом во время этого исследования. Женскую грудь можно схематически описать (см. Предыдущую страницу) как от 10 до 20 гландулярных конических лопастей, основание которых расположено на грудной мышце, а вершина - это сопло. Каждая лепесток сопровождается конъюнктивными структурами, среди которых жировая ткань.
Жировая ткань является радиопрозрачной: плотность обусловлена лобулярными и протоковыми элементами, а также волокнистыми опорными структурами. Маленькие протоки сходятся к ниппели.
Со старением железистая ткань постепенно исчезает: прозрачность жировой ткани становится преобладающей с несколькими каркасами, связанными с опорными волокнистыми структурами.
Нажмите на миниатюрные картинки, чтобы получить увеличенный размер.
Маммограммы представляют собой изображения структур, проецируемых на плоскость: плотная грудная маммограмма, следовательно, состоит из многих других структур, которые необходимо проанализировать, чем более жирная, пустая грудь. По этой причине диагностировать рак молочной железы труднее для моложе, чем для пожилых женщин.
Pr JF HERON

Последнее обновление
14 июня 2009 г.
Цифровая маммография
The results of each mammogram bear a code that depending on what is written is interpreted as:
BI-RADS 0: Assessment is incomplete. Further imaging examinations are needed.
BI-RADS 1: Negative mammogram.
BI-RADS 2: Benign findings.
BI-RADS 3: Probably benign findings, a deviation of 2% may concern lesions representing malignancy.
BI-RADS 4: Findings with a probability of malignancy (3-94%). Further investigation with a biopsy is necessary. Category 4 is divided into 4a, 4b and 4c.
Category 4a includes lesions that have morphological characteristics that are suggestive of benign causes (degenerating fibroadenomas, complicated cysts).
Category 4b includes lesions that have a higher suspicion of malignancy. A histological examination is necessary.
Category 4c includes lesions that have morphological characters even more suspicious of malignancy. The lesion is further investigated with a biopsy.
BI-RADS 5: Findings with typical malignant characters. Further management is necessary.
BI-RADS 6: Malignant lesions confirmed by histological examination.
Маммография
https://www.ceessentials.net/article40.html
Большое спасибо за представленный материал!
Non progrĕdi est regrĕdi.
Продолжение.
Продолжение.
Продолжение.
Продолжение.
Продолжение.
Продолжение.