You are here

Лимфогенные метастазы?

Пол пациента: 
Методы исследования: 
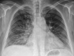
1.jpg
1.jpg
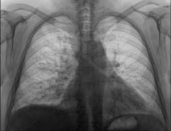
2.jpg
2.jpg
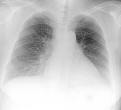
3.jpg
3.jpg
5.jpg
5.jpg

Добрый день коллеги! Сегодня проглядывал снимочки легких, по просьбе своей коллеги, с целью исключения метастазов и увидел  представленную картину. Пациентка 50 лет, лежит  в стационаре с диагнозом: Злокачественное новообразование яичника? Мts в надключичные лимфатические узлы. Мысли сразу про лимфогенные метастазы,  поглядел сразу в архиве ФЛГ от 11.08.09г. два первых снимка, два последних сегоднишним днем. Ваше мнение?

AttachmentSize
Image icon 1.jpg174.3 KB
Image icon 2.jpg145.47 KB
Image icon 3.jpg183 KB
Image icon 5.jpg174.62 KB
Катенёв Валентин Львович's picture
Offline
Last seen: 7 years 5 months ago
Joined: 22.03.2008 - 22:15
Posts: 54876

Уважаемый коллега!

У Вас в наличии только флюорограммы органов грудной полости или еще что-то?

v1tal's picture
Offline
Last seen: 5 years 2 months ago
Joined: 07.06.2008 - 19:41
Posts: 1779

Два последних снимочка это сегоднишние цыфровые рентгенограммы, КТ-у нас пока вышло из строя. По УЗИ находят образование в почке и яичнике.

"Знаешь, у некоторых врачей есть комплекс мессии — им необходимо спасать мир. А у тебя комплекс Рубика — тебе необходимо решать головоломки."

Alex's picture
Offline
Last seen: 3 years 11 months ago
Joined: 19.06.2009 - 16:43
Posts: 174

Я бы не рискнул "увидеть" на представленных Вами снимках лимфогенные метастазы (не смотря на анамнез). На мой взгляд, динамика по снимкам несущественна, да и та связана с застойными изменениями в легких. А на фоне застоя лимфогенные метастазы по рентгенограмме отдифференцировать очень трудно.

v1tal's picture
Offline
Last seen: 5 years 2 months ago
Joined: 07.06.2008 - 19:41
Posts: 1779

В том то и дело уважаемый Alex застойные изменения в МКК, минимальные, а картина похожа на лимфастаз.

"Знаешь, у некоторых врачей есть комплекс мессии — им необходимо спасать мир. А у тебя комплекс Рубика — тебе необходимо решать головоломки."

v1tal's picture
Offline
Last seen: 5 years 2 months ago
Joined: 07.06.2008 - 19:41
Posts: 1779

Другое дело, что если бы я нашел ФЛГ прошлого года, и исключил выраженный пневмосклероз, попробую завтра ещё полазить, может найду.

"Знаешь, у некоторых врачей есть комплекс мессии — им необходимо спасать мир. А у тебя комплекс Рубика — тебе необходимо решать головоломки."

Alex's picture
Offline
Last seen: 3 years 11 months ago
Joined: 19.06.2009 - 16:43
Posts: 174

Ну что-же, Вам на месте виднее. Тогда хотя бы срединную томограмму попробуйте сделать, лучше корни рассмотрите, да и лимфоузлы средостения при лимфогенном метастазировании поражаются чаще, чем не поражаются.

Almo's picture
Offline
Last seen: 2 weeks 11 hours ago
Joined: 28.09.2008 - 18:50
Posts: 8302

Поддерживаю пост Alex, в той части, что симптоматика по флюорограмме за лимфогенные  метастазы неубедительная(возможно на КТ их будет видно). Усиление лёгочного рисунка, вероятно не связано с застойными изменениями( нет признаков гипертензии вен верних долей( симптома "оленьих рогов"), который рассматриваеться, как I стадия левожелудочковой недостаточности).