You are here

К ирригоскопиям.

Пол пациента: 
Тип патологии: 
Область исследования: 
Методы исследования: 

    

8 лет.

  • https://radiomed.ru/sites/default/files/styles/case_slider_image/public/user/9121/vo2.jpg?itok=nZjWuBJ7
  • https://radiomed.ru/sites/default/files/styles/case_slider_image/public/user/9121/vo3.jpg?itok=i2bMxCm5
ID:17952
И.Бондаренко's picture
Offline
Last seen: 4 days 1 hour ago
Joined: 13.09.2011 - 22:55
Posts: 9206

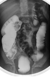
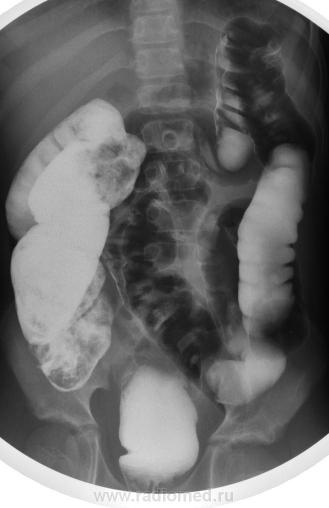
Долихосигма, и плохо очищенная толстая кишка. В детской патологии не силён.

Любовь С.'s picture
Offline
Last seen: 9 years 5 months ago
Joined: 23.12.2010 - 01:58
Posts: 2324

Долихомегасигма, я б сказала, что объясняет клинику запоров. Впрочем, вся кишка расширена. Зоны аганглиоза не видно, на Гиршпрунга не похоже. Селезеночный изгиб не показан адекватно, так что со снимками лежа судить о наличии болезни Пайра проблематично, да и клиники не дано, а жаль.

"Предоставляя весь смысл и совершенство в распоряжение одного только Бога, вы избавляете себя от бездны хлопот." Джон Уитборн.

Любовь С.'s picture
Offline
Last seen: 9 years 5 months ago
Joined: 23.12.2010 - 01:58
Posts: 2324

Молчит автор, ни клинических данных, ни правильного ответа. Печалька.

"Предоставляя весь смысл и совершенство в распоряжение одного только Бога, вы избавляете себя от бездны хлопот." Джон Уитборн.