You are here

Травма локтевого сустава у ребёнка

Пол пациента: 
Тип патологии: 
Область исследования: 
Методы исследования: 

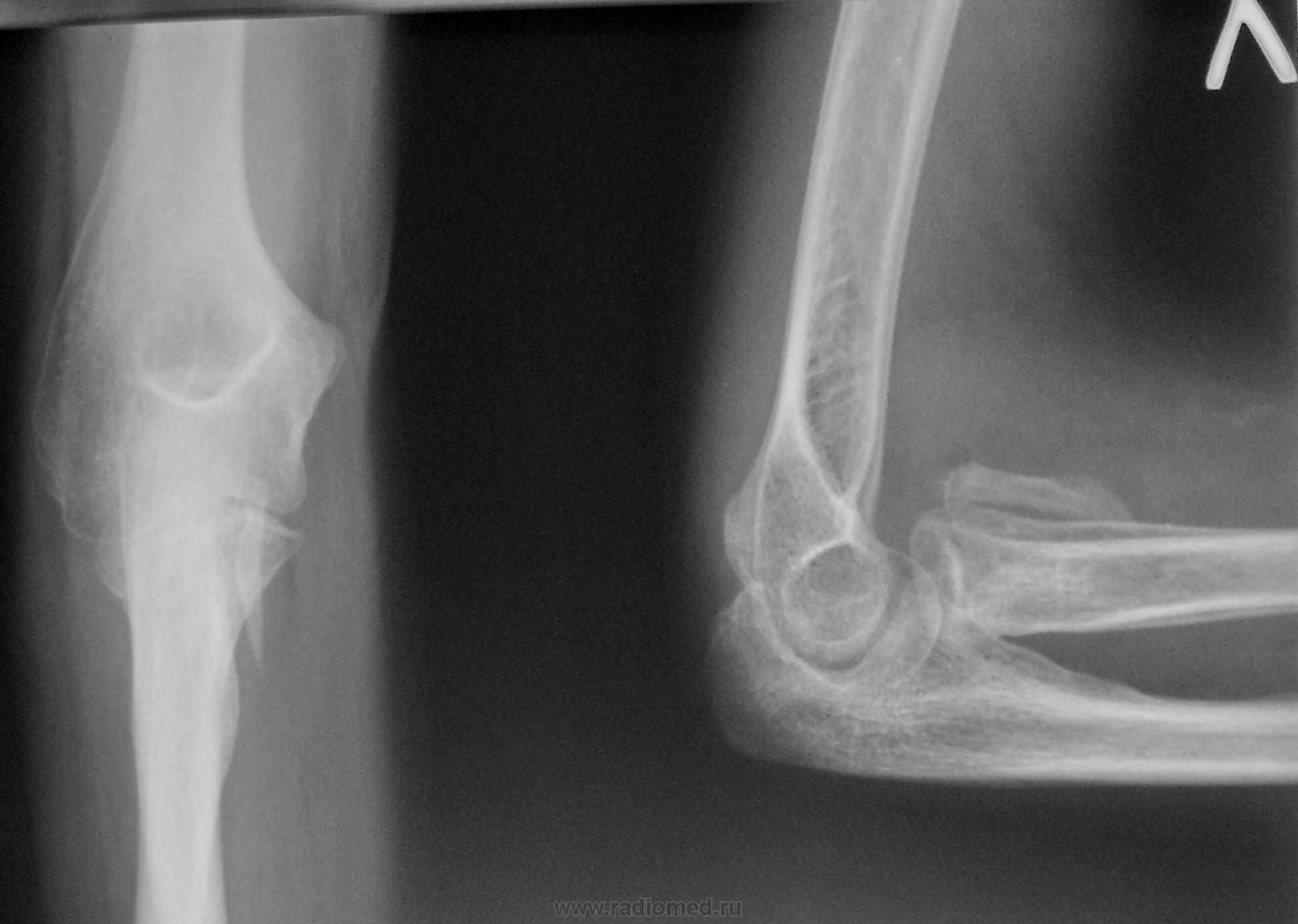
Мальчик, 8 лет, около полугода назад сломал головку луча. Был сделан остеосинтез метал. спицами. Сейчас пришёл на разработку. Но сустав болит и плохо сгибается.

ID:18351
i_vuduborets's picture
Offline
Last seen: 11 years 5 months ago
Joined: 14.04.2010 - 17:59
Posts: 87

похоже на то, что не устранен вывих головки лучевой кости. а можно архив?

Катенёв Валентин Львович's picture
Offline
Last seen: 7 years 2 months ago
Joined: 22.03.2008 - 22:15
Posts: 54876

На мой взгляд, откол - костный фрагмент отдельно лежыщий четко визуализируется.

Student_Andrew's picture
Offline
Last seen: 13 years 10 months ago
Joined: 21.08.2011 - 23:18
Posts: 106

Контрактура видимо. А снимочки после остеосинтеза есть?

Medicus curat, natura sanat

Андрей Юрьевич's picture
Offline
Last seen: 3 days 1 hour ago
Joined: 16.11.2008 - 22:16
Posts: 18101

А прямой снимок - точно в положении супинации? Отдельно лежит, скорее всего, обызвествившаяся гематома. Ну, и рентгенархив (на руках у пациента), да еще и с выпиской из и/б-ни, прояснили бы ситуацию.

Андрей Юрьевич

Катенёв Валентин Львович's picture
Offline
Last seen: 7 years 2 months ago
Joined: 22.03.2008 - 22:15
Posts: 54876

Речь идет о фрагменте в прямой проекции.

Иллюстрация средняя. А, то не опустевшее ложе "фрагмента"?

А, может нижняя иллюстрация?

Приложения: 
1._rech..jpg1._lozhe..jpg2._lozhe..jpg
Катенёв Валентин Львович's picture
Offline
Last seen: 7 years 2 months ago
Joined: 22.03.2008 - 22:15
Posts: 54876

Двойной контур также, почему?

 

Приложения: 
1._dvoynoy_kontur..jpg
Глазков Игорь Артурович's picture
Offline
Last seen: 10 months 3 weeks ago
Joined: 19.12.2008 - 20:41
Posts: 1597

архива на руках не имеется.

Прийди к Себе

Андрей Юрьевич's picture
Offline
Last seen: 3 days 1 hour ago
Joined: 16.11.2008 - 22:16
Posts: 18101

Глазков Игорь Артурович wrote:
...архива на руках не имеется.

Почему? Выписки тоже?

Андрей Юрьевич

Глазков Игорь Артурович's picture
Offline
Last seen: 10 months 3 weeks ago
Joined: 19.12.2008 - 20:41
Posts: 1597

Больные к нам заходят иногда "проездом". "Просто сделайте снимок и я пошёл дальше, к своему врачу, и даже в свой город". Снимки делаем, но потребовать и даже попросить архив практически не удаётся.  Динамику отследить нельзя, так как следующий снимок он может сделать в другом учреждении. Стационара своего у нас нет. Чаще динамику отслеживаем с ЛОР-патологией и переломами луча в т.м., лодыжек.

Прийди к Себе

Ola-la's picture
Offline
Last seen: 11 months 2 weeks ago
Joined: 06.12.2008 - 09:33
Posts: 1786

Типичный гетеротопический оссификат, периодически видим такие в локтевых суставах после переломов.

Андрей Юрьевич's picture
Offline
Last seen: 3 days 1 hour ago
Joined: 16.11.2008 - 22:16
Posts: 18101

В одной стране живем,  Игорь Артурович.

Глазков Игорь Артурович wrote:
Больные к нам заходят иногда "проездом". "Просто сделайте снимок и я пошёл дальше, к своему врачу, и даже в свой город". Снимки делаем, но потребовать и даже попросить архив практически не удаётся...

У нас свои заморочки - территориальная. близость с Москвой.  И все-таки (когда совмещаю в поликлинике), стараюсь не описывать сложные случаи без беседы с пациентом, и чтения (хотя бы) бумаг. Помогает избежать откровенных "ляпов". Подождем, может Ola-la что подскажет.

Андрей Юрьевич

Almo's picture
Offline
Last seen: 20 hours 22 min ago
Joined: 28.09.2008 - 18:50
Posts: 8282

У Рейнберга подобное описывается как оссифицирующий миозит, что наверно является синонимом того, о чём говорит уважаемая Ola-la.