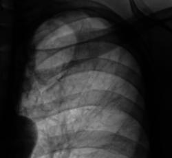
При расшифровке цифровых флюорограмм "пациент взят на контроль". Жалоб пациент не предъявляет. Произведено стандартное дообследование - рентгенография и томография.
Уважаемый Валентин Львович! Не стал бы торопиться с выводами об " отзвучавшем туберкулезном процессе". Во-первых, без наличия и изучения рентгенархива (при его наличии) делать такие выводы не осмелился бы. Во- вторых, зона пневмосклеротических изменений в легких не соответствует зоне очаговых изменений (гораздо больше!). Создается впечатление о наличии очагов отсева. В общем рентгенконтроль в динамике и консультация фтизиатра. Последнее слово за ними.
Я очень далек от мысли, что в данном случае туб. процесс можно "считать законченным". 2 года тому у данного "пациента" по флюорограмме была норма, и не "туфтовая норма", а истинная норма. Наличие булл, по всей видимости, наложит свой оттенок на течение специфического процесса. В последнее время, тесный контакт с коллегой фтизиатром "дал свои плюсы" в выявляемости специфики, но если мы "поимели плюсы", кто-то "поимел минусы"?
В таком случае, Валентин Львович, Вы подтвердили мои сомнения по поводу активности процесса. 2 года назад норма, а теперь такая картина. Это активный процесс. Выраженный пневмосклероз в виде "сетки" в целой доле. Пациента необходимо направить к фтизиатрам.
Фтизиатры уже занялись, хотя сначала упирались "на все четыре лапы" и помогали "хвостом". Дело в том, что мы уже выполнили и перевыполнили план "по выявлению" (оказывается и такое есть).
Безусловно при норме 2 года назад - это активный процесс, и наблюдаться пациент должен в т/д, и курс химиотерапии ему должы провести, и рентген. контроль сделать. Но я читаю снимки так как они были представлены и вижу плотные очаги и кальцинаты, а распостраненность пневмосклероза говорит, что процесс был общирней. Просто у человека иммунитет хороший (завидую ему), сам справился с МБТ. Самоизлечение тоже бывает о чем не редко даже на этом сайте представляют случаи под названиями взят на контроль.
1. Пациентом уже занимаются фтизиатры, он уже находится в туб отделении.
2. Мы заметили, что имеются некоторые ньюансы "цифрового изображения", а при исследовании "легочной ткани", эти ньюансы несколько гиперболизированы. "Цифра" также поставила много повросов, но и сняла много вопросов в процессе маммографии, многое, что раньше считалось "постулатом" при аналоговых исследованиях, оказалось несколько надуманным.
3. А может быть иммунитет, не столь хороший, сколько "мудрый", и не отвечает "палке" мгновенным "иммунным ответом", иначе, возможно, был - бы инфильтрат, а возможно, и "распад". Возможно, иммунитет с палкой, заключили своего рода пакт "Молотова - Риббентроппа" - ШУТКА.
4. О вот по поводу "самоизлечения" - это "вопрос вопросов". Интересно, "самоизлечение" связано с "хорошим" или ослабленным иммунитетом?
Кальцинаты, инуративные очаги в зоне пневмосклероза. Отзвучавший туб. процесс. Больше пока не вижу.
Хорошо сказано - "Отзвучавший туб. процесс".
Уважаемый Валентин Львович! Не стал бы торопиться с выводами об " отзвучавшем туберкулезном процессе". Во-первых, без наличия и изучения рентгенархива (при его наличии) делать такие выводы не осмелился бы. Во- вторых, зона пневмосклеротических изменений в легких не соответствует зоне очаговых изменений (гораздо больше!). Создается впечатление о наличии очагов отсева. В общем рентгенконтроль в динамике и консультация фтизиатра. Последнее слово за ними.
dok
Уважаемый Владимир Васитльевич!
Я очень далек от мысли, что в данном случае туб. процесс можно "считать законченным". 2 года тому у данного "пациента" по флюорограмме была норма, и не "туфтовая норма", а истинная норма. Наличие булл, по всей видимости, наложит свой оттенок на течение специфического процесса. В последнее время, тесный контакт с коллегой фтизиатром "дал свои плюсы" в выявляемости специфики, но если мы "поимели плюсы", кто-то "поимел минусы"?
В таком случае, Валентин Львович, Вы подтвердили мои сомнения по поводу активности процесса. 2 года назад норма, а теперь такая картина. Это активный процесс. Выраженный пневмосклероз в виде "сетки" в целой доле. Пациента необходимо направить к фтизиатрам.
dok
Фтизиатры уже занялись, хотя сначала упирались "на все четыре лапы" и помогали "хвостом". Дело в том, что мы уже выполнили и перевыполнили план "по выявлению" (оказывается и такое есть).
Безусловно при норме 2 года назад - это активный процесс, и наблюдаться пациент должен в т/д, и курс химиотерапии ему должы провести, и рентген. контроль сделать. Но я читаю снимки так как они были представлены и вижу плотные очаги и кальцинаты, а распостраненность пневмосклероза говорит, что процесс был общирней. Просто у человека иммунитет хороший (завидую ему), сам справился с МБТ. Самоизлечение тоже бывает о чем не редко даже на этом сайте представляют случаи под названиями взят на контроль.
Уважаемый коллега!
Вы безусловно ПРАВЫ.
1. Пациентом уже занимаются фтизиатры, он уже находится в туб отделении.
2. Мы заметили, что имеются некоторые ньюансы "цифрового изображения", а при исследовании "легочной ткани", эти ньюансы несколько гиперболизированы. "Цифра" также поставила много повросов, но и сняла много вопросов в процессе маммографии, многое, что раньше считалось "постулатом" при аналоговых исследованиях, оказалось несколько надуманным.
3. А может быть иммунитет, не столь хороший, сколько "мудрый", и не отвечает "палке" мгновенным "иммунным ответом", иначе, возможно, был - бы инфильтрат, а возможно, и "распад". Возможно, иммунитет с палкой, заключили своего рода пакт "Молотова - Риббентроппа" - ШУТКА.
4. О вот по поводу "самоизлечения" - это "вопрос вопросов". Интересно, "самоизлечение" связано с "хорошим" или ослабленным иммунитетом?