You are here

Пациентка направлена с диагнозом "Правосторонняя пневмония"..

Пол пациента: 
Тип патологии: 
Методы исследования: 

Пациентка (подросток) направлена врачом педиатром в рентгеновский кабинет с диагнозом "Правостороняя пневмония". Клиника пневмонии наличествует. Произведено стандартное исследование - прямая и правая боковая рентгенограммы.

ИзображениеИзображениеИзображение

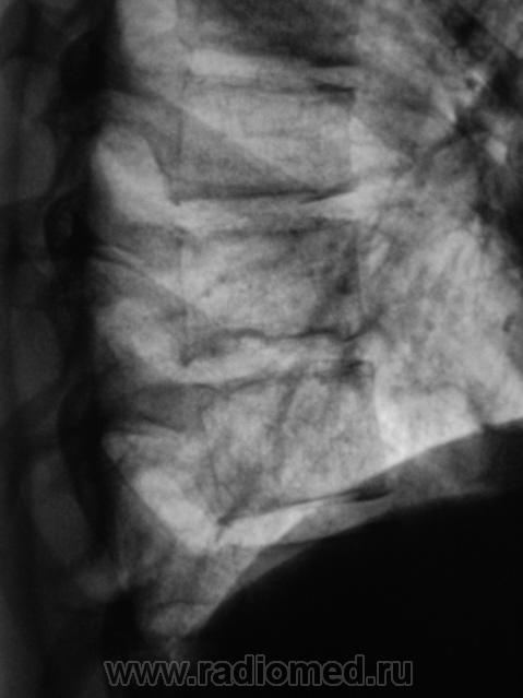
В заключительной части протокола рентгенологического исследования высказано мнение о наличии правосторонней среднедолевой (крупозной) пневмонии. Описаны изменения в грудном позвонке (фрагмент боковой рентгенограммы).

Пациентке назначено противовоспалительное лечение в условиях стационара - детское отделение.

После проведенного курса лечения пациентка направлена на "рентген-контроль".

4_detskoe.JPG
4_detskoe.JPG
5_detskoe.JPG
5_detskoe.JPG
6_detskoe..JPG
6_detskoe..JPG

 

 

 

 

 

 

 

 

 

 

 

Сделали линейную томографию в прямой проекции.


7_detskoe.JPG
7_detskoe.JPG
8_detskoe.JPG
8_detskoe.JPG

 

 

 

 

 

 

 

 

 

 

 

Ваше мнение уважаемые коллеги?

 

AttachmentSize
Image icon 4_detskoe.JPG73.25 KB
Image icon 5_detskoe.JPG66.1 KB
Image icon 6_detskoe..JPG83.12 KB
Image icon 7_detskoe.JPG57.53 KB
Image icon 8_detskoe.JPG76.05 KB
Ермолаев's picture
Offline
Last seen: 9 years 3 months ago
Joined: 07.02.2009 - 16:33
Posts: 670

Валентин Львович! Красивое наблюдение правосторонней среднедолевой пневмонии, осложненной правосторонним плевритом. Коллегам терапевтам необходимо выполнять пункцию. Сожалею, что у Вас отсутствует возможность выполнить УЗИ плевральной полости. Если жидкость существует больше 3 дней, имеется наверняка организация и соты. Сложно выбрать место наиболее эффективной пункции.

dok

Катенёв Валентин Львович's picture
Offline
Last seen: 7 years 5 months ago
Joined: 22.03.2008 - 22:15
Posts: 54876

А какие мнения будут с учетом томограмм?

Almo's picture
Offline
Last seen: 2 weeks 18 hours ago
Joined: 28.09.2008 - 18:50
Posts: 8302

Какую цель Вы перед собой ставили назначая томограммы?

Катенёв Валентин Львович's picture
Offline
Last seen: 7 years 5 months ago
Joined: 22.03.2008 - 22:15
Posts: 54876

Это было произведено по просьбе фтизиатра, после того, как был обнаружен "выпот", с учетом "отрицательной динамики".

Ермолаев's picture
Offline
Last seen: 9 years 3 months ago
Joined: 07.02.2009 - 16:33
Posts: 670

Валентин Львович! Считаю, что в данной ситуации проведение ТМГ легких не имело смысла. Увидеть легочную ткань на фоне жидкости при линейной томографии не представляется возможным, что и подтвердило проведенное исследование. Метод выбора - УЗИ плевральной полости. Если имеется УЗ аппарат сами поставьте линейный или конвексный датчик по правым межреберьям от угла лопатки и ниже по заднеподмышечной линии. Все станет ясно. Заодно точка пункции.

dok

Катенёв Валентин Львович's picture
Offline
Last seen: 7 years 5 months ago
Joined: 22.03.2008 - 22:15
Posts: 54876

Я согласен с Вами. Но вот, что интересно. При томографии не произошло "растекание выпота". Значит что? Формируется осумкование?

Рыбакова Людмила Александровна's picture
Offline
Last seen: 3 years 9 months ago
Joined: 31.07.2009 - 19:35
Posts: 162

Ну а что на счет  тела позвонка.Какая-то спондилопатия?

Катенёв Валентин Львович's picture
Offline
Last seen: 7 years 5 months ago
Joined: 22.03.2008 - 22:15
Posts: 54876

По всей видимости, грыжи Шморля, но это - "по всей видимости".

Катенёв Валентин Львович's picture
Offline
Last seen: 7 years 5 months ago
Joined: 22.03.2008 - 22:15
Posts: 54876

Девочка госпитализирована в детскую областную больницу.

zeyneb's picture
Offline
Last seen: 14 years 6 months ago
Joined: 14.10.2011 - 18:25
Posts: 2

Здравствуйте.я совсем новичок.пожалуйста,вы можете показать мне местонахождение грыжи на снимке

Катенёв Валентин Львович's picture
Offline
Last seen: 7 years 5 months ago
Joined: 22.03.2008 - 22:15
Posts: 54876

В протоколе исследования грыжа Шморля, как таковая, не фигурировала. По поводу "позвоночника", мы патологию указываем достоверно только после проведения линейной томографии, именно позвоночника, которая в данном случае не проводилась.