You are here

Диагностика.

Уважаемые коллеги!Помогите с диагностикой молодому специалисту.

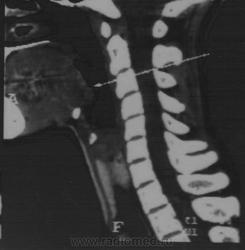
Пациентка 33 года,обратилась с жалобами на чувство инородного тела в гортани,наличие  "кома в горле"в течение 2 х лет.Причину не указывает.Ранее не лесилась.Беременность 5-6 нед. Обследована:эндоскопия ЖКТ без потологии,Лор патологии не выявлено,ФОГ в норме,УЗИ щитовидной железы без патологии. КТ для обсуждения.

 

  • https://radiomed.ru/sites/default/files/styles/case_slider_image/public/user/15892/izobrazhenie0001.jpg?itok=4hT7nnEA
  • https://radiomed.ru/sites/default/files/styles/case_slider_image/public/user/15892/izobrazhenie0002.jpg?itok=2y2x-jFT
  • https://radiomed.ru/sites/default/files/styles/case_slider_image/public/user/2841/izobrazhenie_1-.jpg?itok=LPxEoC48
  • https://radiomed.ru/sites/default/files/styles/case_slider_image/public/user/2841/izobrazhenie001--.jpg?itok=BaFxB9jx
  • https://radiomed.ru/sites/default/files/styles/case_slider_image/public/user/2841/izobrazhenie0001-.jpg?itok=avGD7Ie2
  • https://radiomed.ru/sites/default/files/styles/case_slider_image/public/user/2841/izobrazhenie0002-.jpg?itok=mWn_wLQu
ID:50708
ЛГ's picture
Offline
Last seen: 9 years 3 months ago
Joined: 06.01.2010 - 12:31
Posts: 3523

2 года "ком в горле", а КТ во время беременности. Даже не забавно... Стрелками указано накопление контраста в язычной миндалине. Скорее гипертрофия+обострение воспаления.

Nela's picture
Offline
Last seen: 6 years 5 months ago
Joined: 12.05.2009 - 20:43
Posts: 1847

Вот именно. Тоже самое хотела написать. Можно было еще 9 месяцев подождать. Какая вообще необходимость была КТ делать.

Dr.Zhovtan's picture
Offline
Last seen: 14 years 1 month ago
Joined: 28.02.2012 - 21:34
Posts: 4

А что по Вашему мнению делать при настойчивом желании пациентки исключть онкопатологию ?

ЛГ's picture
Offline
Last seen: 9 years 3 months ago
Joined: 06.01.2010 - 12:31
Posts: 3523

Самостоятельное обращение без направления ЛОР-врача или иного другого клинициста?)  Отказать. Или предложить МРТ, которое хоть и без лучевой нагрузки, но является относительным противопоказанием в первом триместре. Надеюсь, дама подписала информированное согласие... Оставив в стороне проблему беременности, могу сказать, что при отсутствии данных за ЛОР-заболевание при осмотре, за изменение пищевода при ФЭГДС, при таких жалобах показана консультация невролога и психолога. Что сделано, то сделано. Как Вы трактовали накопление контраста?

Андрей Юрьевич's picture
Offline
Last seen: 1 day 6 hours ago
Joined: 16.11.2008 - 22:16
Posts: 18106

ЛГ wrote:
..Надеюсь, дама подписала информированное согласие... .

Вряд ли ей его предложили. У меня беременная в ДТП отказалась от исследования, когда узнала планируемую дозу.

Андрей Юрьевич

ЛГ's picture
Offline
Last seen: 9 years 3 months ago
Joined: 06.01.2010 - 12:31
Posts: 3523

Тогда молодой специалист неслабо подставился((. Особенно, если не было направления на КТ гортаноглотки с подозрением на онкопатологию...

unre_ALL's picture
Offline
Last seen: 8 years 4 months ago
Joined: 15.09.2010 - 14:52
Posts: 187

Логика понятна. Ну есть ком и есть. Не обращалась, по принципу "само пройдет".  Таких милионы.  Сплошь и рядом с запущеными раками 4ой степени  с распадом и выходом на кожу приходят мед.сестры, учителя... причем живут в Мск, Спб... казалось бы.  А 5-6 недель беременности это нижняя граница достоверной диагностики беременности. Подтвердили, пошла сразу обсследоваться. Что вы доктора молодого пугаете, еще соскочит :). Не он же ее на улице нашел и за руку привел.  К тому же за оставшиеся 8 месяцев, может произойти огромное количество всего. Не говоря уж об анамнезе, ведь судя по всему беременность незапланированая, так что предшествующих факторов могло быть сотни. К тому же не брюшная полость/таз. Доказать что либо будет нереально.

Вопрос, конечно, дискутабельный. Мне видится,  в данном случае что есть письменное согласие, что нет - разница не большая.    Если есть строгие противопоказания, риск для жизни, медицинская логика  и законодательство нам подсказывают, что  нужно отказать. К примеру, есть клипированная аневризма г.м. без выписок в дремучем году   - разве Вы возьмете на исследование головного мозга да еще и на высокопольном? Ведь не дай бог что, ответственность  будет на докторе, вне зависимости от бумажек. То же самое с аллергией, на йод например. Ну кто возьмет, хоть и с распиской?.  Ибо доктор он на то и доктор. Должен быть внимательней :))

 

-------------------------------------------------------------------------------------------------

Я получил счет от хирургов. Теперь мне понятно, почему эти парни работают в масках. 

Dr.Zhovtan's picture
Offline
Last seen: 14 years 1 month ago
Joined: 28.02.2012 - 21:34
Posts: 4

Как гипертрофию язычной миндалины ).Причем ЛОР не видит этой патологии.(В заключении норма).Дама ,к сожалению,согласие не подписывала,и беременность сохранять не будет.Диагноз не установлен.

ЛГ's picture
Offline
Last seen: 9 years 3 months ago
Joined: 06.01.2010 - 12:31
Posts: 3523

Ясно, спасибо.