You are here

Регресс очагов геморрагических ушибов?

Пол пациента: 
Тип патологии: 
Область исследования: 
Методы исследования: 

Ув. коллеги! Выскажите, пожалуйста, свое мнение по этому случаю.

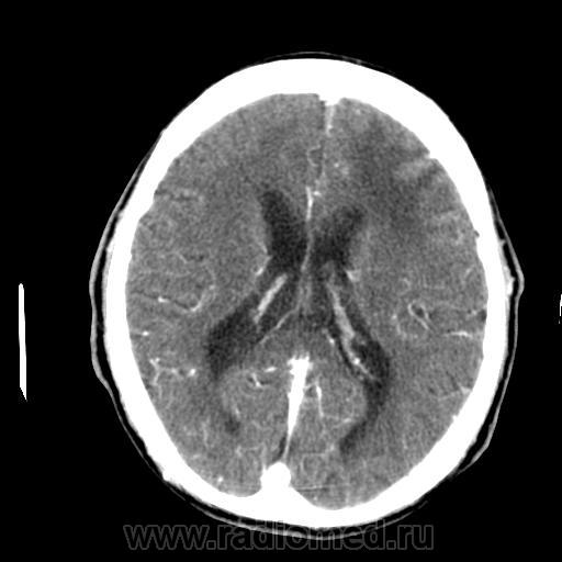
Мужчина 48 лет. Со слов родственников, почувствовал себя плохо и упал.

1-я серия -исследование сразу после травмы.

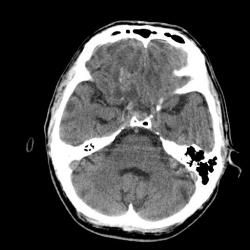
2-я - через 26 дней контрольное иследование.

Меня насторожила картина и я порекомедновала с контр. усилением.

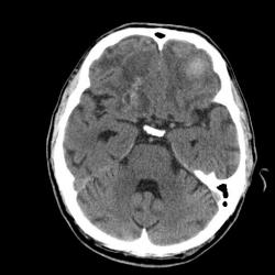
3-я - в этот же день с контрастным усилением (артер. фаза).

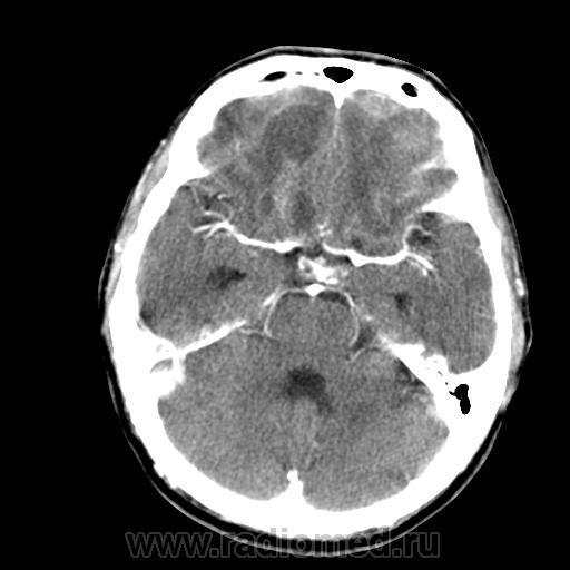
4-я - отсроченн. (5мин).

ИзображениеИзображениеИзображениеИзображениеИзображениеИзображениеИзображениеИзображениеИзображениеИзображениеИзображениеИзображениеИзображениеИзображениеИзображениеИзображениеИзображениеИзображениеИзображениеИзображениеИзображениеИзображениеИзображениеИзображениеИзображениеИзображение

Катенёв Валентин Львович's picture
Offline
Last seen: 7 years 3 months ago
Joined: 22.03.2008 - 22:15
Posts: 54876

КЛАСС.

Но комментировать не решусь - профан.