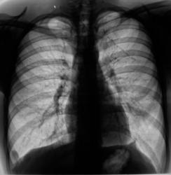
Пациент был прооперирован в областном противотуберкулёзном диспанчере 3 года тому, направлен фтизиатром на "плановую рентгенографию".
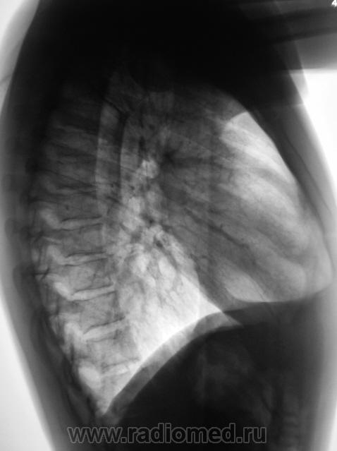
Произведена рентгенография в прямой и боковой проекциях.




Обнаружен "житель" в правом косто-диафрагмальном синусе.
Ваше мнение коллеги?
посмотреть за экраном, подышать, может добавит ясности.
Поставил за экран, и покрутил - следует за диафрагмой, в оптимальной проекции "на контур" выходит как "полусфера".
Ну ни могло же туды добраться ТБС, может немного понаблюдать.
"Знаешь, у некоторых врачей есть комплекс мессии — им необходимо спасать мир. А у тебя комплекс Рубика — тебе необходимо решать головоломки."
Понаблюдать, конечно можно. А вдруг, эпителиома?
Если есть сомнения можно их развеять гистологией, место вполне доступно под контролем скопии.
"Знаешь, у некоторых врачей есть комплекс мессии — им необходимо спасать мир. А у тебя комплекс Рубика — тебе необходимо решать головоломки."
а какой смысл наблюдать?
"самоуверенность дилетантов - предмет зависти профессионалов"
может ли это походить на липому перикарда?
Прийди к Себе
по локализации - далековато от перикарда
"самоуверенность дилетантов - предмет зависти профессионалов"