You are here

Периферический рак верхней доли правого лёгкого.

Пол пациента: 
Методы исследования: 

Пациент – женщина – 65 лет направлена на профилактическую флюорографию регистратурой. Обратилась в ЛПУ к врачу хирургу с жалобами «на боли в ногах».

 


 

1.Флюорограмма.
1.Флюорограмма.
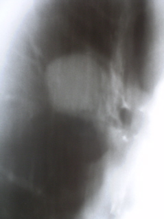
2.Фрагмент флюорограммы с увеличением.
2.Фрагмент флюорограммы с увеличением.

 

 

 

 

 

 

Пациент – женщина – 65 лет направлена на профилактическую флюорографию регистратурой. Обратилась в ЛПУ к врачу хирургу с жалобами «на боли в ногах».

 


 

1.Флюорограмма.
1.Флюорограмма.
2.Фрагмент флюорограммы с увеличением.
2.Фрагмент флюорограммы с увеличением.

 

 

 

 

 

Цифровое стандартное флюорографическое профилактическое исследование (проведено на цифровом флюорографе «Ренекс – Флюоро»). На цифровой флюорограмме, произведенной в прямой стандартной проекции (илл. 1) справа на уровне 2 ребра определяется фокусная тень округлой формы размерами 3,5 х 3,7 см., средней интенсивности, довольно однородной структуры, с довольно ровными, но нечеткими контурами. На иллюстрации 2 – увеличенный фрагмент флюорограммы более четко определяется нечеткость контура фокусной тени.

 

 

Рентгенологическое исследование проведено по стандартной методике (на РДК на 3 рабочих места – «Вироматик»).

 


 

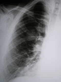
3.Рентгенограмма правого лёгкого.
3.Рентгенограмма правого лёгкого.
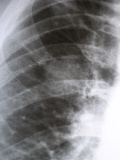
4.Фрагмент рентгенограммы правого лёгкого с увеличением.
4.Фрагмент рентгенограммы правого лёгкого с увеличением.

 

 

 

 

Иллюстрация 3 и 4 – фрагменты рентгенограмм – правая половина грудной полости и фрагмент с увеличением – фокусная тень на уровне 2 ребра неоднородной структуры.

 


 

5.Боковая рентгенограмма.
5.Боковая рентгенограмма.
6.Фрагмент боковой рентгенограммы с увеличением.
6.Фрагмент боковой рентгенограммы с увеличением.

 

 

 

 

Иллюстрации 5 и 6 – рентгенограмма и фрагмент с увеличением – «правая» боковая рентгенограмма.

 


 

Оптимальный срез - 12 см. томограмма.
Оптимальный срез - 12 см. томограмма.
Фрагмент томограммы с увеличением.
Фрагмент томограммы с увеличением.

 

 

 

 

Иллюстрации 7 и 8 – томограмма в оптимальном срезе – 12 см. – фрагменты с увеличением. Фокусная тень округлой формы, размерами 3,2 х 3,5 см. средней интенсивности, неоднородной структуры – с мелкими просветлениями по медиальному и медиально-нижнему контурам. Местами на общем фоне фокусной тени намечаются не четко очерченные очаговые уплотнения. Контур по латеральному и нижнему краям неровный и не чёткий. Данная фокусная тень двумя «дорожками» соединена с корнем правого лёгкого. В корне мелкие обызвествления. От латерального контура объёмного образования «компоненты усиленного рисунка» - к костальной плевре.

 

Заключение: Периферический рак верхней доли правого лёгкого.

 

Пациентка направлена в областной онкологический диспансер.

 

 

Nikolas's picture
Offline
Last seen: 1 month 3 weeks ago
Joined: 21.12.2010 - 20:37
Posts: 4560

Уважаемый Валентин Львович! Просматриваю архив. Очень интересно. С Вашим диагнозом  онкологи согласились? С уважением Nik/

Катенёв Валентин Львович's picture
Offline
Last seen: 7 years 5 months ago
Joined: 22.03.2008 - 22:15
Posts: 54876

Да. Пациентка была прооперирована в БООД.