You are here

ОГК. Туберкулёма? Рак?

Пол пациента: 
Методы исследования: 

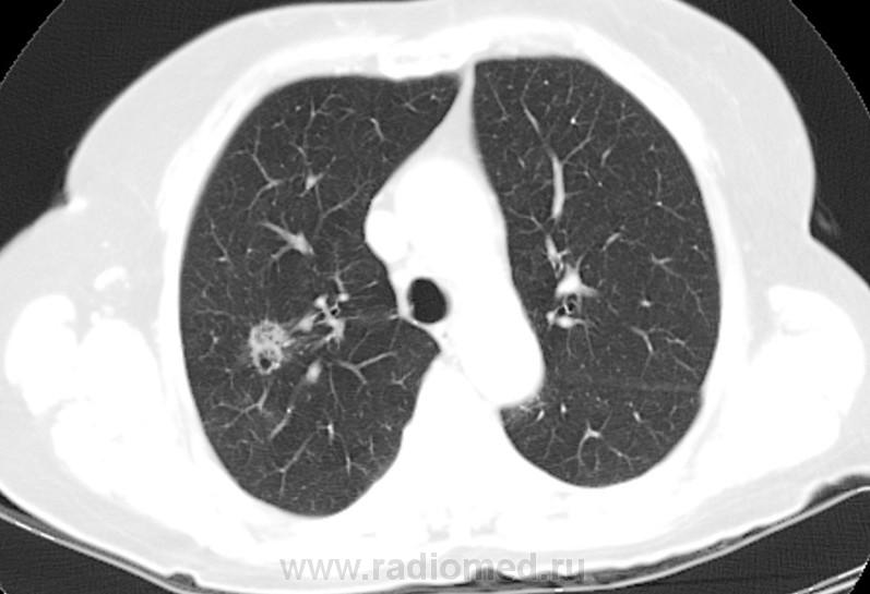
80 лет. Приехала к дочери из другого города. Последняя флюорография в 2010 г., на контроль не вызывали. Появился кашель. После флюорографии ( имеется плохой бумажный носитель) выполнили КТ ОГК. Со слов больной, в 1948 г. находилась в туберкулезном санатории. Подробностей не помнит. Специалисты по КТ заподозрили туберкулёму, каверну. Уж, больно тень нехорошая. Решил с Вами обсудить. Есть ли данные за рак? И каверна ли это? Рисунки представляю. Жизнь неумолимо диктует освоение КТ! Жду. С уважением Nik.

 

  • https://radiomed.ru/sites/default/files/styles/case_slider_image/public/user/7898/2_1.jpg?itok=2xxpSD3P
  • https://radiomed.ru/sites/default/files/styles/case_slider_image/public/user/7898/3_1.jpg?itok=3MYCwNjB
  • https://radiomed.ru/sites/default/files/styles/case_slider_image/public/user/7898/4_1.jpg?itok=qWuHoWMh
  • https://radiomed.ru/sites/default/files/styles/case_slider_image/public/user/7898/5.jpg?itok=km7RAw1h
  • https://radiomed.ru/sites/default/files/styles/case_slider_image/public/user/7898/6.jpg?itok=YzhMu8rT
  • https://radiomed.ru/sites/default/files/styles/case_slider_image/public/user/7898/7_1.jpg?itok=FA33HWUh
  • https://radiomed.ru/sites/default/files/styles/case_slider_image/public/user/7898/8.jpg?itok=G3xN3pv0
  • https://radiomed.ru/sites/default/files/styles/case_slider_image/public/user/7898/9.jpg?itok=kJOjJMqA
  • https://radiomed.ru/sites/default/files/styles/case_slider_image/public/user/7898/10_0.jpg?itok=Ku6j_SPF
  • https://radiomed.ru/sites/default/files/styles/case_slider_image/public/user/7898/11.jpg?itok=H7-Z8Kul
ID:19815
Катенёв Валентин Львович's picture
Offline
Last seen: 7 years 5 months ago
Joined: 22.03.2008 - 22:15
Posts: 54876

Здравствуйте Nikolas!

Я так понимаю, что это рубрика - "мозговой штурм", подразумевающий чистую скиалогию?

ЛГ's picture
Offline
Last seen: 9 years 3 months ago
Joined: 06.01.2010 - 12:31
Posts: 3523

Впечатление туберкуломы с раком. Лимфангит (-оит, -иит), матовость нежная перифокально, очень может быть, что и очаговость.

Приложения: 
ochagi.jpg
Катенёв Валентин Львович's picture
Offline
Last seen: 7 years 5 months ago
Joined: 22.03.2008 - 22:15
Posts: 54876

Аналогично. На мой взгляд очаги, а следовательно, туберкулёз.

Есть и другие "прибамбасы", свидетельствующие о туберкулёзе.

Приложения: 
1._mozgovoy_shturm..jpg
Nikolas's picture
Offline
Last seen: 2 months 5 hours ago
Joined: 21.12.2010 - 20:37
Posts: 4560

кашель сухой, кровь в пределах нормы, в легких сухие рассеянные хрипы. МБТ в 1 анализе методом бактериоскопии пока не обнаружены. КТ от 20.03.2012 г.  в поликлинике. От бронхоскопии родственники отказываются. Я в неопределенности. Все честно. Хочу услышать мнения коллег. С уважением Nik

Катенёв Валентин Львович's picture
Offline
Last seen: 7 years 5 months ago
Joined: 22.03.2008 - 22:15
Posts: 54876

А, что верхушки интактны?

Андрей Юрьевич's picture
Offline
Last seen: 2 weeks 5 days ago
Joined: 16.11.2008 - 22:16
Posts: 18106

Согласен с ЛГ, карцинома (как буржуи пишут)

Андрей Юрьевич

И.Бондаренко's picture
Offline
Last seen: 1 day 6 hours ago
Joined: 13.09.2011 - 22:55
Posts: 9213

Во-первых, такое впечатление, что образование состоит из нескольких узелков. От него идут в стороны линейные тени, скорее всего лимфангит, вокруг признак матового стекла. Распад есть, но существует ещё и полостная форма рака. Плюс возраст. Я за рак.

Катенёв Валентин Львович's picture
Offline
Last seen: 7 years 5 months ago
Joined: 22.03.2008 - 22:15
Posts: 54876

И.Бондаренко wrote:

Во-первых, такое впечатление, что образование состоит из нескольких узелков. От него идут в стороны линейные тени, скорее всего лимфангит, вокруг признак матового стекла. Распад есть, но существует ещё и полостная форма рака. Плюс возраст. Я за рак.

Несколько "узелков", и если "это" рак, то мультифокальный?

-----------------

И, что то за "узелки" помеченные стрелками.

 

Приложения: 
1._chto_eto_uzelki..jpg
федя's picture
Offline
Last seen: 12 years 1 week ago
Joined: 25.06.2011 - 20:28
Posts: 260

 В S3 справа определяется участок уплотнения с четкими ровными контурами и уплотнением в центре (вероятнее всего туберкулема ).на границе S3 и S2определяется участок с разной денситометрческой плотностью,вероятнее всего сформированный из нескольких узлов(мультицентричный рост) имеющие вытянутую  ,округлую форму с бугристыми контурами ,с содержанием в структуре мелких бронхов,которое в  периферических отделах окруженно уплотнением по типу матового стекла(лимфостаз или перифокальное воспаление ),распорстраняющийся до костальной плевры,в ниже лежащем узле определяется участок распада с довольно плотной  капсулой ,в одном из сканов прослеживается бронх проникающий в образование ,выше и ниже участка определяются выраженные интерстициальные изменения. в средостенном окне, 2 скан-определяется участок деструкции ребра по ее  задней поверхности ,смешанного типа ,в участке прилежащем к мышцам определяется размытость контура с местами нарушением целостности замыкательной пластинки(исключить метастаз!!)у меня 3 диагноза :1)бар(локальная форма),2)карцинома и 3)множественные туберкулемы.в первую очередь исключить первые два,выяснить природу изменений в ребре

ЛГ's picture
Offline
Last seen: 9 years 3 months ago
Joined: 06.01.2010 - 12:31
Posts: 3523

Катенёв Валентин Львович wrote:

И, что то за "узелки" помеченные стрелками.

Субплевральных там несколько. Возможно, что и "ничего", а возможно и мтс плевры. А в переднем сегменте - скорее не "узелок", а часть обызвествления 1-го ребра в виде эффекта частичного объёма.

Приложения: 
ef.chastichnogo_obyoma.jpg
ЛГ's picture
Offline
Last seen: 9 years 3 months ago
Joined: 06.01.2010 - 12:31
Posts: 3523

федя wrote:
 

.........в средостенном окне, 2 скан-определяется участок деструкции ребра по ее задней поверхности ,смешанного типа ,в участке прилежащем к мышцам определяется размытость контура с местами нарушением целостности замыкательной пластинки(исключить метастаз!!)............

федя, а Вам не кажется, что в ребре (если Вы об "изменениях" по паравертебральной линии слева) всё тот же эффект частичного объёма... Ведь на 3-ем средостенном скане то же ребро и без деструкции, корка целая, четкая.

koriatus's picture
Offline
Last seen: 3 years 5 months ago
Joined: 14.06.2010 - 01:49
Posts: 452

Больше в пользу рака. Неровные  лобулярные контуры, разная плотность (есть участки употнения по типу матового стекла. ззлокачественный характер кальцификации - эксцентрично, неравномерно, точечно). В образовании есть нарушение легочной архитектонники в виде расширениея мелких бронхов.  Вообщим, мне кажется (на 95% уверен) - это  периферический рак (ну или БАР)

Что в S3 - мало сканов. Мне кажется это ребро срезалось

Air Bronchogram sign Recent studies have showed that an air bronchogram is more commonly seen in malignant pulmonary nodules. It is most commonly seen in BAC (bronchoalveolar cell carcinoma) and adenocarcinoma. The case on the left shows an airbronchogram seen as a linear lucency (broad arrow) and as a more cystic lucency (small arrow) due to the fact that the bronchus is seen en face.

Solid and Ground-glass components Another result from screening studies is that nodules containing a ground-glass component are more likely to be malignant (5). Partly solid lesions with ground-glass components had a malignancy rate of 63%. Nonsolid - only ground-glass lesions had a malignancy rate of 18%. Only solid lesions had a malignancy rate of only 7%.

http://www.radiologyassistant.nl/en/460f9fcd50637

 

http://www.chestx-ray.com/SPN/SPNProb.html  - вот тут, даже без данных о курении, вероятность опухолевого характера узла в данном случае - 96%

Лукаш's picture
Offline
Last seen: 10 years 8 months ago
Joined: 05.03.2010 - 13:28
Posts: 47

Может быть и "а под камнями рак".

Наши торакальные хирурги рассказывают, что довольно часто они соседствуют в одном инфильтрате.

Желательна пункция.

Ой, больной, что-то мне ваш снимок не нравится. Но ничего - щас мы в Фотошопе все подправим.

Петрович's picture
Offline
Last seen: 7 years 7 months ago
Joined: 22.03.2009 - 01:13
Posts: 3908

Коллега koriatus тему исчерпал. Спасибо ему. Моя в КТ невежественная интуиция с ним согласна).

Как здорово, что к нам заходят иногда настоящие КТ-Профи..., но всё реже.

Неоднозначно всё

Катенёв Валентин Львович's picture
Offline
Last seen: 7 years 5 months ago
Joined: 22.03.2008 - 22:15
Posts: 54876

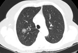
После разъяснения коллеги koriatus, становится понятно, что на картике № 11 рак во всей "раковой красе".

Только вот не понятно, ведь на картинке № 12 довольно похожее "животное"?

Приложения: 
11._konechno_s_bolshoy_stepenyu_verostnosti_na_kartinke..jpg12._a._na_etoy_kartike..jpg
koriatus's picture
Offline
Last seen: 3 years 5 months ago
Joined: 14.06.2010 - 01:49
Posts: 452

Не совсем похожее.

На 12 представленной картинке признаки диффузного интерстициального процесса в легких -  утолщение  легочного интерстиция с нарушеним легочной архитектоники (фиброз), с наличием нерезко тракционно расширенных бронхов с обеих сторон. Диффузное неоднородные участки снижения по типу "матового стекла" - КТ-картина больше в пользу неспецифической интерстициальнйо пневмонии (NSIP). Во всяком случае так смотрится на первый взгляд - конечно тут решает анамнез , клиника и динамика изменений. (а иногда и биопсия). А при изменениях по типу NSIP - диф. ряд большой.

По поводу субплевральной зоны консолиадции - это может быть все что угодно. Опухоль тоже исключить нельзя конено, но те явные признаки о-левого поражения как в вышеуказанном случае - тут отсутствуют. Мне кажется это окажется веротянее всего зоаня фиброза. Или воспаления. Нужна клиника и динамика изменений. Без этого в легочной патологии "никак".

koriatus's picture
Offline
Last seen: 3 years 5 months ago
Joined: 14.06.2010 - 01:49
Posts: 452

Кстати на картинке озаглавленной "1. мозговой штурм" выше - есть очеь очень некрасиввый очаг в 6-ке слева (по типу матового стекла), расположенный периваскулярно. Очень подозрительный на мтс.

Катенёв Валентин Львович's picture
Offline
Last seen: 7 years 5 months ago
Joined: 22.03.2008 - 22:15
Posts: 54876

koriatus wrote:

Не совсем похожее.

На 12 представленной картинке признаки диффузного интерстициального процесса в легких -  утолщение  легочного интерстиция с нарушеним легочной архитектоники (фиброз), с наличием нерезко тракционно расширенных бронхов с обеих сторон. Диффузное неоднородные участки снижения по типу "матового стекла" - КТ-картина больше в пользу неспецифической интерстициальнйо пневмонии (NSIP).

Да, надо признать в "десятку" Вы попали, именно в "десятку".

Петрович's picture
Offline
Last seen: 7 years 7 months ago
Joined: 22.03.2009 - 01:13
Posts: 3908

Валентин Львович, добрый вечер, где находятся эти картинки №11 и  №12 ?? В этой теме я вижу только 8 штук в лёгочном и 3 в средостенном окне. В трёх браузерах проверил.

Неоднозначно всё

Катенёв Валентин Львович's picture
Offline
Last seen: 7 years 5 months ago
Joined: 22.03.2008 - 22:15
Posts: 54876

Здравствуйте Петрович!

Коллега koriatus привел картинку из "ассистента", а я, эти две из другого источника. Эти картинки в этой ветке в первичном материале не фигурируют.

Петрович's picture
Offline
Last seen: 7 years 7 months ago
Joined: 22.03.2009 - 01:13
Posts: 3908

А-а-а... пятый Туз из рукава)).

Неоднозначно всё

Nikolas's picture
Offline
Last seen: 2 months 5 hours ago
Joined: 21.12.2010 - 20:37
Posts: 4560

Что нам без немцев нет спасенья!". Благодарю доктор  koriatus за комментарий и ссылки. В Вашей практике были ли  верифицированные случаи, подтверждающие положения источников, которые Вы привели? С большим интересом прочитаю клинический пример Вашего наблюдения, если такой имеется. Надеюсь на положительный ответ. С уважением Nikolas


  
Андрей Юрьевич's picture
Offline
Last seen: 2 weeks 5 days ago
Joined: 16.11.2008 - 22:16
Posts: 18106

Зря "немцам" не верите, коллега Nokolas. У них к публикациям отношение строгое...

Андрей Юрьевич