You are here

Не торчат ли за пневмонией уши чего пострашней?

Пол пациента: 
Тип патологии: 
Методы исследования: 

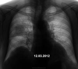
Пациент 77 лет обратился в п-ку с т.с. простудой, без яркой клиники. На флгр. поставили пневмонию(1-й снимок) и отправили на стацлеч.

  • https://radiomed.ru/sites/default/files/styles/case_slider_image/public/user/3055/260320121996.jpg?itok=7rcbUn2k
  • https://radiomed.ru/sites/default/files/styles/case_slider_image/public/user/3055/260320122014.jpg?itok=Qc_MQDe_
ID:20146
Игорь Иванович's picture
Offline
Last seen: 3 years 11 months ago
Joined: 23.01.2010 - 14:56
Posts: 3695

Добавлю кое-что еще. 26.03 пациент прошел весь курс лечения, виписался на долечивание в п-ку, уверял меня, что чувствует себя хорошо (да и при поступлении не особо плохо). Ведет здоровый образ жизни (баня, веники, бассейн...)

Приложения: 
260320121997.jpg260320121998.jpg260320122015.jpg
Игорь Иванович's picture
Offline
Last seen: 3 years 11 months ago
Joined: 23.01.2010 - 14:56
Posts: 3695

Сделали и КТ, которая тоже подтвердила пневмонию (по заключению). Но меня терзают сомнения, а не торчат ли тут уши чего страшнее? Порекомендовал ч-з 1мес. контроль.

Приложения: 
260320121999.jpg260320122000.jpg260320122001.jpg260320122002.jpg260320122003.jpg260320122004.jpg260320122011.jpg
svet's picture
Offline
Last seen: 1 year 12 months ago
Joined: 07.05.2010 - 19:10
Posts: 201

Игорь Иванович wrote:

Пациент 77 лет обратился в п-ку с т.с. простудой, без яркой клиники. На флгр. поставили пневмонию(1-й снимок) и отправили на стацлеч.

svet's picture
Offline
Last seen: 1 year 12 months ago
Joined: 07.05.2010 - 19:10
Posts: 201

а не параканкрозного характера это? виден узел в правом легком.объём правого легкого уменьшен. нужна тг.

Катенёв Валентин Львович's picture
Offline
Last seen: 7 years 2 months ago
Joined: 22.03.2008 - 22:15
Posts: 54876

Не прохая динамика, но без томографии..., рисковано и очень...

И.Бондаренко's picture
Offline
Last seen: 1 day 13 hours ago
Joined: 13.09.2011 - 22:55
Posts: 9208

В какой период проведена КТ, число.