You are here

Болезненые пятки

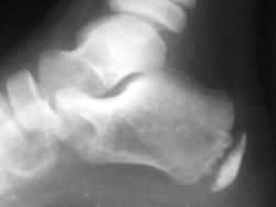
Ребенок М.11лет жалуется на боли в пятках, в конце дня, травмы не было

 

  • https://radiomed.ru/sites/default/files/styles/case_slider_image/public/user/15746/foto1119.jpg?itok=tzrPyWFw
ID:50889
ЛГ's picture
Offline
Last seen: 8 years 11 months ago
Joined: 06.01.2010 - 12:31
Posts: 3523
Андрей Юрьевич's picture
Offline
Last seen: 2 weeks 6 hours ago
Joined: 16.11.2008 - 22:16
Posts: 18098

Надо доснять аксиальный снимок и снимки другой пят. кости.

Андрей Юрьевич

Демчев Валентин Анатольевич's picture
Offline
Last seen: 7 years 7 months ago
Joined: 08.02.2011 - 15:40
Posts: 445

Все-таки остеохондропатия апофиза пяточной кости, явление достаточное редкое. Чаще имеет место банальная перегрузка, при сопутствующей ортопедической патологии. Согласен надо доснять другую стопу.

kozhuharchik's picture
Offline
Last seen: 4 years 3 months ago
Joined: 10.02.2012 - 19:19
Posts: 58

єто две стопы !

Vikkur's picture
Offline
Last seen: 4 years 8 months ago
Joined: 24.09.2009 - 14:34
Posts: 1749

Похоже на Хаглунда

Виктор.

Андрей Юрьевич's picture
Offline
Last seen: 2 weeks 6 hours ago
Joined: 16.11.2008 - 22:16
Posts: 18098

kozhuharchik wrote:

єто две стопы !

Тогда надо снять аксиалы.

Андрей Юрьевич

stovbav's picture
Offline
Last seen: 2 years 2 months ago
Joined: 20.12.2009 - 17:28
Posts: 7066

Рентгенография обязательна, но не для подтверждения диагноза, а скорее для исключения других причин боли в пятке. Часто обнаруживаемая неровность пяточного росткового хряща не обязательно свидетельствует об остеохондропатии бугра пяточной кости. Еще не помешало бы увидеть, кроме «шероховатости» бугра пяточной кости, уплотнение и фрагментацию апофиза.