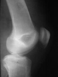
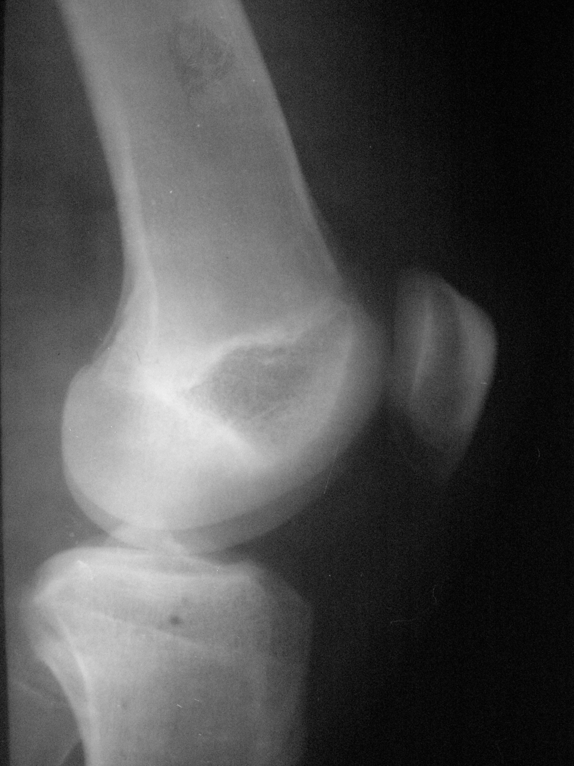
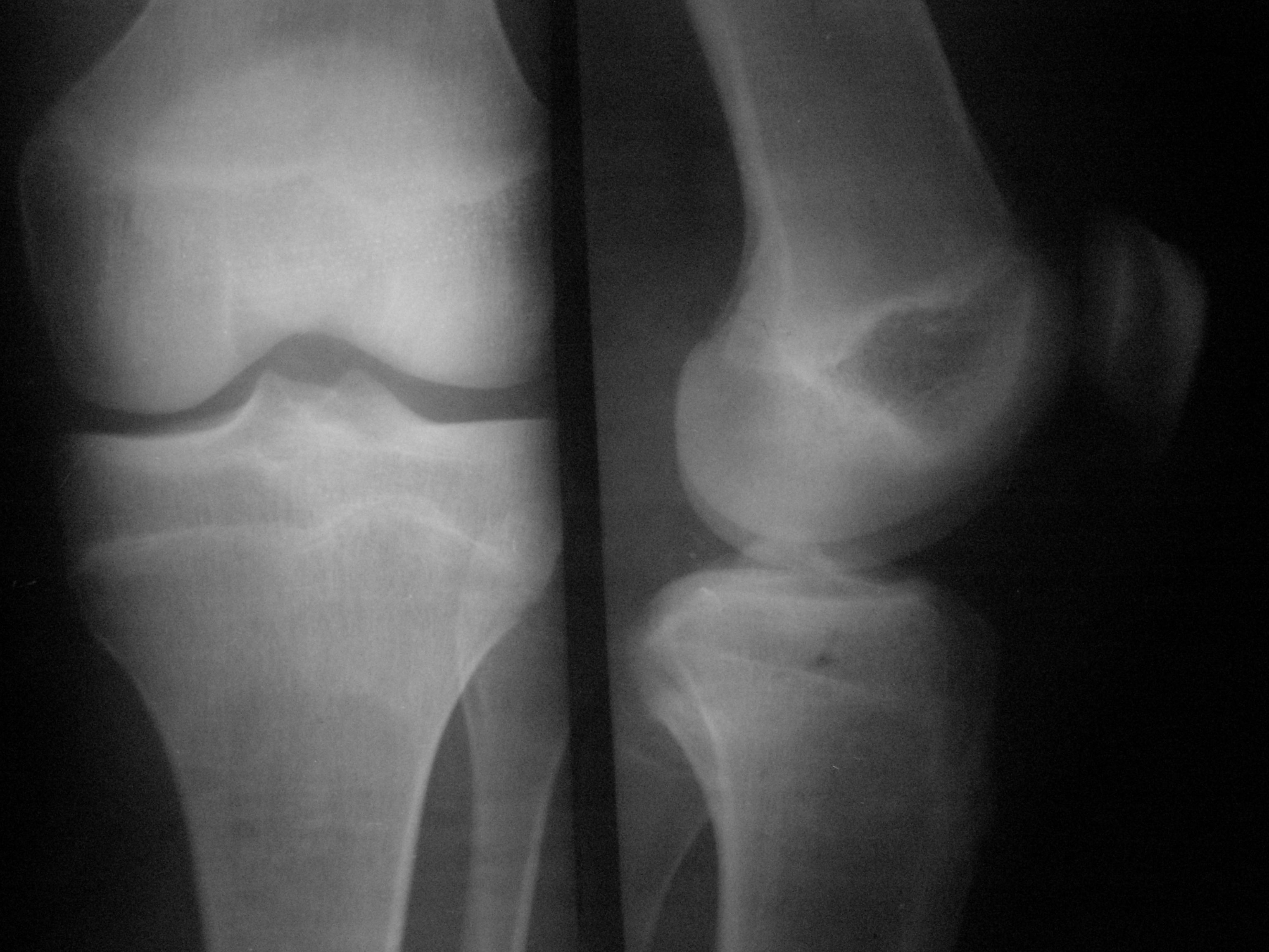
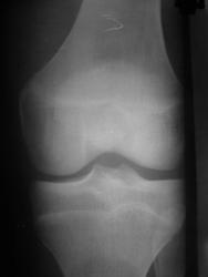
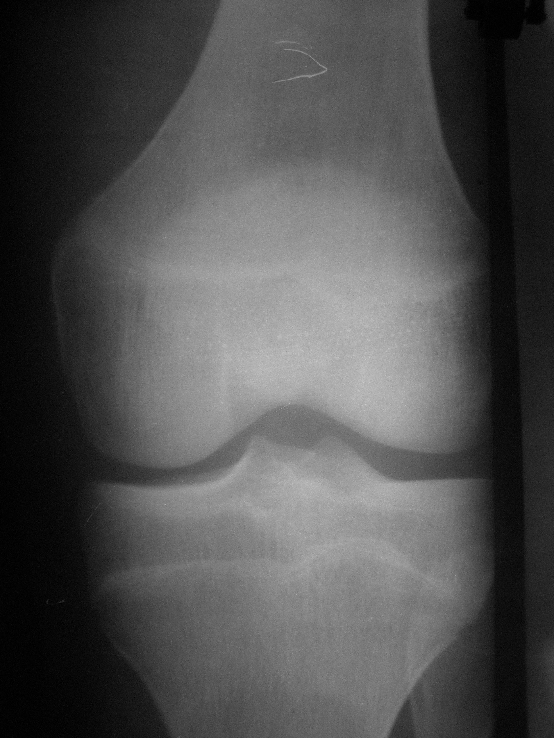
М.15лет. Жалобы на периодическую жгучую боль в L коленном суставе,после умеренной нагрузки, беспокоит 1мес. https://radiomed.ru/sites/default/files/styles/case_slider_image/public/user/15746/p4090030.jpg?itok=kvBtdL0b https://radiomed.ru/sites/default/files/styles/case_slider_image/public/user/15746/p4090031.jpg?itok=wUf85A5t ID:50918 Mon, 09/04/2012 - 17:48 #1 nelly Offline Last seen: 11 years 3 months ago Joined: 11.07.2011 - 19:19 Posts: 328 мне видится какой-то участок разряжения костной ткани в н3 диафиза БК..,не знаю как стрелочки ставить,а то отметила бы,а суставе артроз похоже имеется Mon, 09/04/2012 - 19:51 #2 ДокRg Offline Last seen: 12 years 6 months ago Joined: 30.03.2011 - 20:05 Posts: 105 nelly wrote: мне видится какой-то участок разряжения костной ткани в н3 диафиза БК..,не знаю как стрелочки ставить,а то отметила бы,а суставе артроз похоже имеется Я бы назвал этот участок разряжения - пятном Лудлофа( норма). А вот для исключения болезни Осгуд-Шляттера сделал бы снимки б/берцовых костей обеих ног с большим захватом. Mon, 09/04/2012 - 20:40 #3 maker4ik Offline Last seen: 8 years 9 months ago Joined: 19.10.2011 - 17:49 Posts: 2682 ДокRg wrote: nelly wrote: мне видится какой-то участок разряжения костной ткани в н3 диафиза БК..,не знаю как стрелочки ставить,а то отметила бы,а суставе артроз похоже имеется Я бы назвал этот участок разряжения - пятном Лудлофа( норма). А вот для исключения болезни Осгуд-Шляттера сделал бы снимки б/берцовых костей обеих ног с большим захватом. Пятно Лудлофа в эпифизе находится, а nelly про н/3 диафиза говорит. Mon, 09/04/2012 - 20:56 #4 Любовь С. Offline Last seen: 9 years 8 months ago Joined: 23.12.2010 - 01:58 Posts: 2324 Переснять диафиз в 2 проекциях. "Предоставляя весь смысл и совершенство в распоряжение одного только Бога, вы избавляете себя от бездны хлопот." Джон Уитборн. Mon, 09/04/2012 - 21:00 #5 nelly Offline Last seen: 11 years 3 months ago Joined: 11.07.2011 - 19:19 Posts: 328 да,да,я именно про это пятно,которое maker4ik указал стрелкой. Mon, 09/04/2012 - 21:17 #6 И.Бондаренко Offline Last seen: 17 hours 14 min ago Joined: 13.09.2011 - 22:55 Posts: 9209 Есть незначительное снижение медиальной суставной щели. А так бы написал норму. Tue, 10/04/2012 - 03:23 #7 Демчев Валентин... Offline Last seen: 7 years 10 months ago Joined: 08.02.2011 - 15:40 Posts: 445 Никакой болезни Осгуда-Шлаттера здесь нет. Переснять диафиз в 2-х проекциях, опять какой- нибудь метафизарный корковый дефект.
мне видится какой-то участок разряжения костной ткани в н3 диафиза БК..,не знаю как стрелочки ставить,а то отметила бы,а суставе артроз похоже имеется
А вот для исключения болезни Осгуд-Шляттера сделал бы снимки б/берцовых костей обеих ног с большим захватом.
Пятно Лудлофа в эпифизе находится, а nelly про н/3 диафиза говорит.
Переснять диафиз в 2 проекциях.
"Предоставляя весь смысл и совершенство в распоряжение одного только Бога, вы избавляете себя от бездны хлопот." Джон Уитборн.
да,да,я именно про это пятно,которое maker4ik указал стрелкой.
Есть незначительное снижение медиальной суставной щели. А так бы написал норму.
Никакой болезни Осгуда-Шлаттера здесь нет. Переснять диафиз в 2-х проекциях, опять какой- нибудь метафизарный корковый дефект.