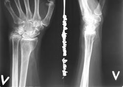
Случай №1 Пожилая женщина около года назад упала на руку. Пришла по поводу боли в ЛЗС.

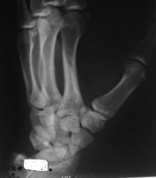
Случай №2 Молодой спортсмен, около 6 месяцев назад упал на руку. Лечился. Ставили перелом ладьи.Вопрос только в том: "А сросся ли он?". Нет ли тут асептического некроза?

Консолидация четко прослеживается. Пациента что-то беспокоит?
перемены - это единственное постоянство, которое нам дано
А по первому случаю: у пациентки был перелом шиловидного отростка локтевой кости и лучевой кости в типичном месте. Теперь головка лучевой кости "просела" и лучезапястный сустав деформировался, отсюда и вторичные изменения в головке локтевой кости. Т.е. мы имеем посттравматический артроз л/з сустава.
Думаю, вопрос о корригирующей остеотомии здесь не стоит, так что - консервативное лечение.
перемены - это единственное постоянство, которое нам дано
Беспокоят боли в 1 и 2 случаях.
Прийди к Себе
Ну в первом-то случае понятен характер болей... Он связан с потерей конгруэнтности суставных поверхностей, то бишь посттравматическим деформирующим остеоартрозом. Тут тактика зависит от возможностей врача и пациента... Как думаете лечить?
А во втором... Консолидация есть однозначно. Об этом говорит хотя бы одно то, что за полгода при занятиях спортом не произошло вторичного смещения отломков (или полгода была иммобилизация?). Асептического некроза не нахожу.
Боль беспокоит в проекции ладьи или более разлиты по площади? Может, стоит думать о сопутствующий повреждениях суставных образований (менисков, связок, сухожилий)?
перемены - это единственное постоянство, которое нам дано
В 1 случае - сказка про репку: локтевая давит на трехгранную, трехгранная - на крючковидную. Лучевая девиация кисти за счет проседания луча. Оссификация мягких тканей у шила локтевой. Ступенька между 1 и 2 рядами костей запястья по типу перилунарного...
Во 2 случае - оба снимка надо бы выполнять, когда предплечье параллельно кассете в т.ч. А так фасетка луча становится эллипсом и позиционируется на ладью, особенно в косой проекции. Кистовидная перестройка в зоне консолидации перелома тела ладьи без ее деформации. Боль при отсутствии явной костной патологии может исходить из окружающих мягкотканных структур, разнообразием которых наградил Бог человеческую кисть, дабы тот мог в поте лица зарабатывать себе на хлеб насущный не только тяжелым ратным трудом, но и творческими профессиями, требующими тонкой моторики рук.
Verum plus uno esse non potest.
Фееричное описание ;) Мне бы так рентгенологи описывали снимки, я б не читал совсем Перумова :)
Чем больше работаю, тем больше убеждаюсь, что вся трагедия перелома (особенно внутри- и околосуставного) не столько в костной патологии, сколько в повреждении параартикулярных и внутрисуставных структур: хрящевых, связочных, сухожильно-мышечных образований. Они уже далеко по заживлении кости "выходят на сцену" в виде энтезопатий, миозитов, хондропатий и т.д. И канифолят , и канифолят...
перемены - это единственное постоянство, которое нам дано