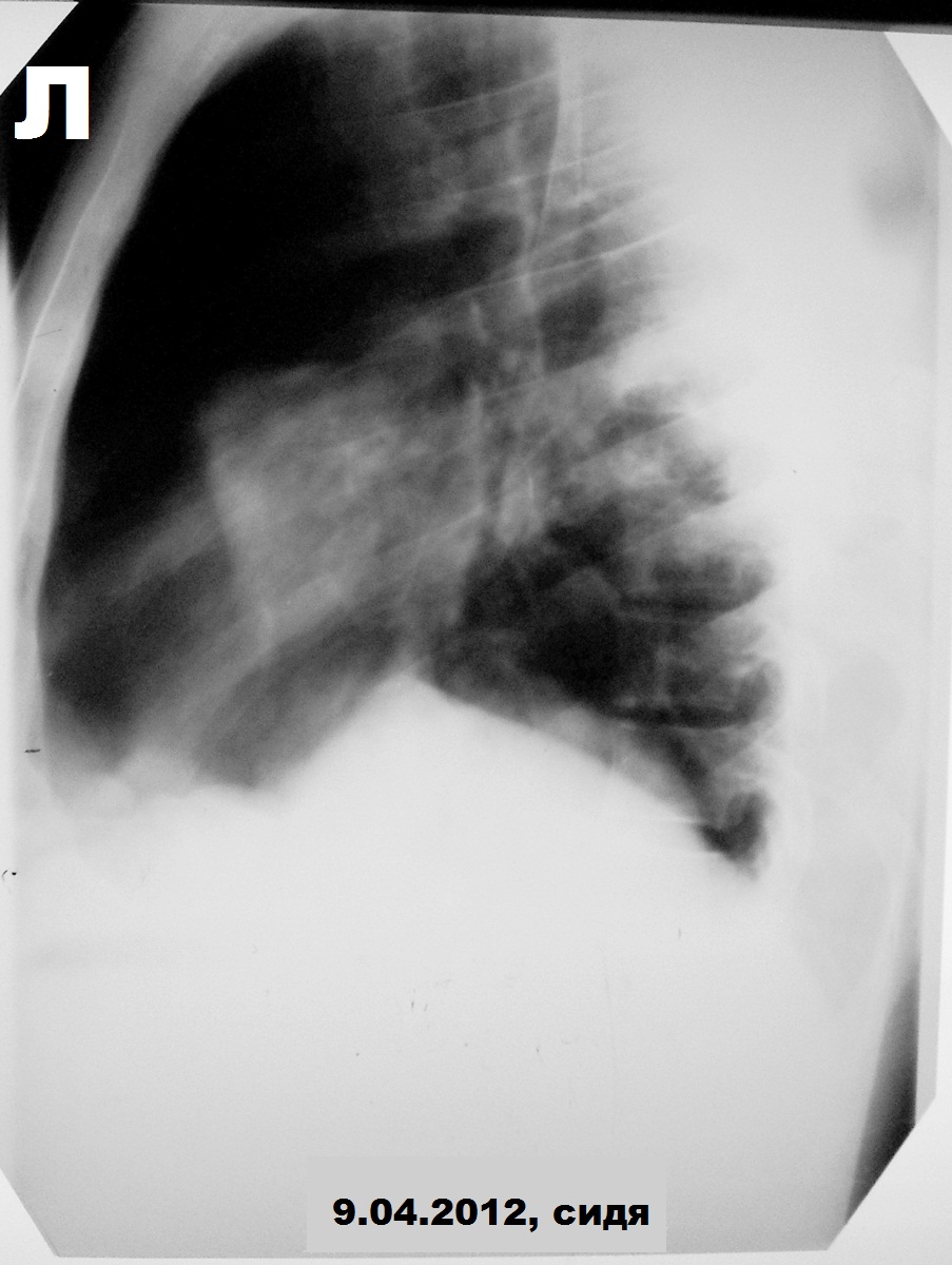
Мужчина, 31 год. ВИЧ+, на учёте 1,5 года, прекратил употреблять наркотические средства около года назад, получает специфическое противовирусное лечение. Носитель гепатита С (обострение в марте, хотели после лечения выписать, но вдруг затемпературил). Динамика с 23 марта по 18 апреля. Состояние с 8 апреля оценивается как тяжелое, боковые снимки с динамической нерезкостью.
Получал антибиотики широкого спектра, на 19-е апреля хотели назначить контроль, но 17-го резкое ухудшение:
Пытаюсь овладеть процессом фотосъёмки легких, не судите строго).
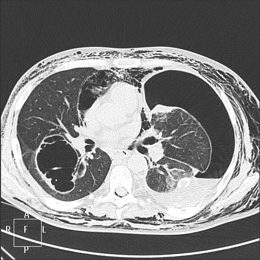
КТ от 18.04:
И динамика от 24.04:
- https://radiomed.ru/sites/default/files/styles/case_slider_image/public/user/2841/8-apr-12.jpg?itok=csHdWV6_
- https://radiomed.ru/sites/default/files/styles/case_slider_image/public/user/2841/9-apr-lev.jpg?itok=p-farpub
- https://radiomed.ru/sites/default/files/styles/case_slider_image/public/user/2841/9-apr-prav.jpg?itok=5iUa1QtV
- https://radiomed.ru/sites/default/files/styles/case_slider_image/public/user/2841/17-apr-12.jpg?itok=XtHAI829
- https://radiomed.ru/sites/default/files/styles/case_slider_image/public/user/2841/17-apr-niz.jpg?itok=4U9ydxM3
- https://radiomed.ru/sites/default/files/styles/case_slider_image/public/user/2841/17-apr-kontr-12.jpg?itok=KwQY8GWf
- https://radiomed.ru/sites/default/files/styles/case_slider_image/public/user/2841/18-apr-12.jpg?itok=yKfJ56Bf
- https://radiomed.ru/sites/default/files/styles/case_slider_image/public/user/2841/lyu_18.040001.jpg?itok=1adhsF8l
- https://radiomed.ru/sites/default/files/styles/case_slider_image/public/user/2841/lyu_18.040005.jpg?itok=DvgPKIUU
- https://radiomed.ru/sites/default/files/styles/case_slider_image/public/user/2841/lyu_18.040004.jpg?itok=WN8nKS-f
- https://radiomed.ru/sites/default/files/styles/case_slider_image/public/user/2841/lyu_18.040003.jpg?itok=oYayyFlo
- https://radiomed.ru/sites/default/files/styles/case_slider_image/public/user/2841/lyu_18.040002.jpg?itok=eTyu4NPM
- https://radiomed.ru/sites/default/files/styles/case_slider_image/public/user/2841/lyu_31_25.040005.jpg?itok=JFlnfElR
- https://radiomed.ru/sites/default/files/styles/case_slider_image/public/user/2841/lyu_31_25.040004.jpg?itok=ziRqjUK9
- https://radiomed.ru/sites/default/files/styles/case_slider_image/public/user/2841/lyu_31_25.040003.jpg?itok=kLoUfInU
- https://radiomed.ru/sites/default/files/styles/case_slider_image/public/user/2841/lyu_31_25.040002.jpg?itok=rVaJHxG7
- https://radiomed.ru/sites/default/files/styles/case_slider_image/public/user/2841/lyu_31_25.040007.jpg?itok=_ozCQtBV
- https://radiomed.ru/sites/default/files/styles/case_slider_image/public/user/2841/lyu_31_25.040008.jpg?itok=dUQ2ZzPd
- https://radiomed.ru/sites/default/files/styles/case_slider_image/public/user/2841/lyu_31_25.040009.jpg?itok=Lqbm6A7v
- https://radiomed.ru/sites/default/files/styles/case_slider_image/public/user/2841/lyu_31_25.040013.jpg?itok=IZ2Kl1mH
- https://radiomed.ru/sites/default/files/styles/case_slider_image/public/user/2841/lyu_31_25.040012.jpg?itok=awtbfD6Z
- https://radiomed.ru/sites/default/files/styles/case_slider_image/public/user/2841/lyu_31_25.040011.jpg?itok=cjYQZQcy
- https://radiomed.ru/sites/default/files/styles/case_slider_image/public/user/2841/lyu_31_25.040017.jpg?itok=A57hOQ67
- https://radiomed.ru/sites/default/files/styles/case_slider_image/public/user/2841/lyu_31_25.040001.jpg?itok=zC_6Y4GX
ID:50121
≈ нормальные грудные клетки получаются неплохо. Жаль только что снимают их у Вас «мягкими» лучами: кости и мягкие ткани скрывают много лёгочной ткани. В случае пневмоторакса эти лучи особенно вредны для диагностики. Надо решительно повышать напряжение генерирования, а контраст фотоснимков снижать (при пневмотораксе, эмфиземе).
Как, однако, всё у него прогнило и разваливается…
Неоднозначно всё
Как, однако, всё у него прогнило и разваливается…
+1. Бросил он или нет баловаться этим делом, но уже поздно, к сожалению...
Вы не представляете (а может, как раз, вполне представляете) Петрович, каких трудов это стоит. Если не трудно, подскажите ориентировочные режимы для снимков грудной клетки.
Андрей Юрьевич
Проблемы вижу лишь технические, прямо вытекающие из уровня техники которой располагаем. Ключевой узел здесь – растр отсеивающей решётки. На советских аппаратах типа РУМ-20 выше 91-100 kV снимать даже лёгкие не рационально: растры 1:6 и паршивого качества (хотя в комплекте должен быть один растр 1:12 (обычно при монтаже аппарата его не устанавливали, пылился где-то в чулане)) и как следствие – рентгенограммы при более высоком напряжении недопустимо серые из-за неустранимого рассеянного излучения. У современных (не советских) аппаратов обычно растры очень приличные. У нашего Сименса в столе 1:15, а в стойке 1:18.
Лёгкие снимаем любые на 125 kV, а средостение (диафрагмировать!) на 132 kV. Выдержку экспозиции определяет (и раньше и сейчас) экспонометр, для которого есть несколько уставок соответствующих типам применяемых у нас кассет (от 100 до 800). В содружестве с проявочной машиной (которую надо регулярно промывать), это даёт очень стабильные результаты.
На цифровом флюорографе лёгочные снимки пациентов любых габаритов снимаются при 125 kV (больше просто нет). То же ставилось и на плёночном с ГДР-овским растром. Выдержку экспозиции и здесь определяет экспонометр и она минимальна.
Неоднозначно всё
Ах, вот оно что.. Т.е. конкретных циферок экспозиции Вы подсказать не можете. А жаль.
Андрей Юрьевич
Подсказать-то могу, но очень приблизительно, так как у нас ВСЕ снимки лёгких выполняются только с экспонометром. Кроме того, я не знаю много конкретных параметров, которые характеризуют ваше рабочее место, от коих экспозиция непосредственно зависит. Напишу о своём.
У нас фиксированы фокусное расстояние – 1,5 м, и напряжение генерирования – 125 kV. Плёнка меняется (по воле поставщика «выигравшего» тендер у коррупционеров распорядителей денег) не чаще 1 раза в год. Для рентгенографии лёгких используются, как правило, кассеты класса 200 (международная классификация). То, что выпускал лет 8-10 назад Ренекс соответствовало ≈ 150 и 300 классам при несуразной зернистости. С тех пор я с ним расстался НАВСЕГДА. При среднем по качеству проявителе в машине, при стандартном у нас режиме обработки 180 минут 28°С на худеньких получается ≈ 1,2 – 1,5 mAs, на средних ≈ 2,5 – 3 mAs в прямой проекции; в боковой будет в 3 – 4 раза больше (в зависимости от соотношения размеров грудной клетки).
ВОПРОС: неужели у вас, Андрей Юрьевич, рентгенограммы и флюорограммы грудной клетки делаются без экспонометра??
Неоднозначно всё
Да. В тех местах, где я периодически совмещаю. Основное место у меня на КТ. За режимы спасибо. Надо с чего-то начинать. В одном месте стоит РДК 50/6 - тут что-то менять бесполезно, а в другом японец "Шимадзу" - можно попробовать.
Андрей Юрьевич
Если вернуться к пациенту, то тут пневмония, с гнойным расплавлением ткани. А как все это описать?
Норма в марте (с усилением рисунка в базальных отделах справа без предыдущих снимков можно поспорить). Затем абсцедирующая пневмония в S6 справа и S8-9-10 слева. Затем напряженный пневмоторакс слева с малым|средним гидротораксом. На контроле левое легкое частично расправлено, уровень жидкости до 6 ребра по задней подмышечной линии. Последний - больших размеров пневмоторакс слева, выраженная эмфизема мягких тканей и пневмомедиастинум.
https://www.youtube.com/channel/UCBGxoBUOqUT_bFhSeUgtWEw
После контроля 18 апреля взяла на КТ. Изображения в начале темы. Есть вопрос: подскажите, пожалуйста, каким анатомическим путём воздух попал в эпидуральное пространство?
https://www.youtube.com/channel/UCBGxoBUOqUT_bFhSeUgtWEw
какие красивые изображения получаются, не сравнить с рентгеном...
А что если он неосторожно высморкался или чихнул? Стенка какой-то ячейки решетчатой пазухи или лобной хрупнула…, вон какой он хрупкий.
А где Вы увидели этот воздух?
Очень показательно! Спасибо за материал.
может по периневральным пространствам.... по ходу межреберных нервов , через межпозвонковые отверстия....
С мягкими тканями более-менее понятно, замена дренажной трубки на более толстую, в результате ятрогенная подкожная и межмышечная эмфизема.
Мне сложно сказать, почему за 6 дней после КТ от 18 апреля эмфизема не уменьшилась. Вероятно, технические недостатки установки дренажа. Кроме того, дренируемая 3-сегментарная полость нижней доли слева наверняка сообщается с плевральной полостью.
А в эпидуральное пространство - тут вы, Светлана, скорее правы, - по корешкам.
https://www.youtube.com/channel/UCBGxoBUOqUT_bFhSeUgtWEw
не уменьшается ,значит легкое не заживает , поэтому и не уменьшается . а вообще такая обширная эмфизема сама по себе долго рассасывается, тем более у отягощенного иммунодефицитом больного