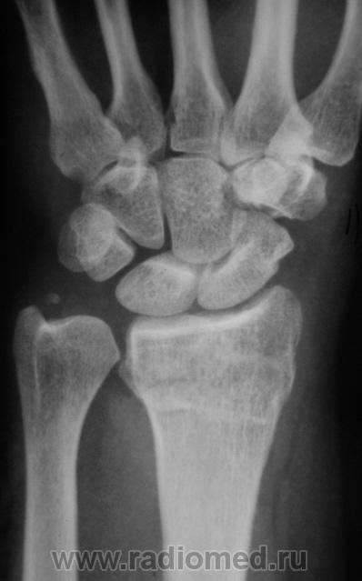
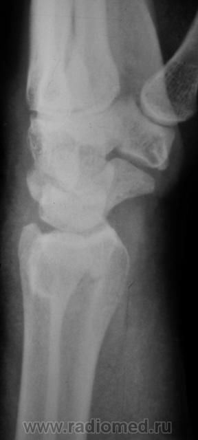
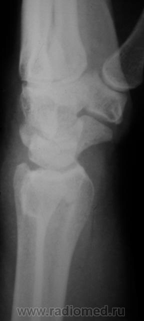
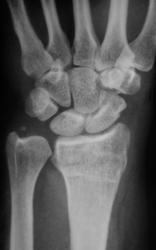
Пол пациента: Мужской пол Тип патологии: Травма Область исследования: Скелетно-мышечная система Методы исследования: Rg Травма. Пациент направлен врачом хирургом на рентгенографию лучезапястного сустава. Произведено исследование. Ваше мнение коллеги? Thu, 15/10/2009 - 21:47 #1 Наталия Offline Last seen: 8 years 8 months ago Joined: 30.07.2008 - 13:24 Posts: 538 Откол части шиловидного отростка локтевой кости, перелом лучевой кости в питичном месте, перелом ладьевидной кости. Может отрыв крючка. Thu, 15/10/2009 - 22:25 #2 v1tal Offline Last seen: 4 years 10 months ago Joined: 07.06.2008 - 19:41 Posts: 1779 Можно добавить краевой перелом кости-трапеции. "Знаешь, у некоторых врачей есть комплекс мессии — им необходимо спасать мир. А у тебя комплекс Рубика — тебе необходимо решать головоломки." Sun, 18/10/2009 - 23:33 #3 Катенёв Валенти... Offline Last seen: 7 years 1 month ago Joined: 22.03.2008 - 22:15 Posts: 54876 Так выходит - 3 перелома!? Mon, 19/10/2009 - 20:15 #4 Анатолий Владим... Offline Last seen: 7 years 11 months ago Joined: 16.10.2009 - 21:16 Posts: 1941 В ладьевидной кости в норме часто можно наблюдать ступеньку по наружному контуру, которая симулирует перелом. Для окончательного решения вопроса необходима рентгенограмма костей запястья в косой проекции.
Откол части шиловидного отростка локтевой кости, перелом лучевой кости в питичном месте, перелом ладьевидной кости. Может отрыв крючка.
Можно добавить краевой перелом кости-трапеции.
"Знаешь, у некоторых врачей есть комплекс мессии — им необходимо спасать мир. А у тебя комплекс Рубика — тебе необходимо решать головоломки."
Так выходит - 3 перелома!?
В ладьевидной кости в норме часто можно наблюдать ступеньку по наружному контуру, которая симулирует перелом. Для окончательного решения вопроса необходима рентгенограмма костей запястья в косой проекции.