You are here

Кавернома

Пол пациента: 
Область исследования: 
Методы исследования: 

ИзображениеИзображение

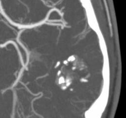
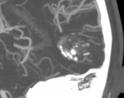
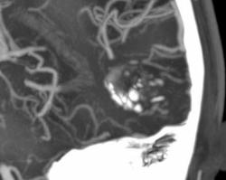
Еще одна сосудистая мальформация - кавернозная ангиома или кавернома. Раньше относили к опухолям.

Видна группа сосудистых лакун неправильной формы, кальцинаты. Перифокальных изменений нет.

Больному также проводили МРТ (снимков у меня нет), которая очень хорошо выявляет каверномы.

 


7M1.jpg
7M1.jpg
7M2.jpg
7M2.jpg

 

 

 

 

 

 

 

 

 

 

 

 

 


8M1.jpg
8M1.jpg
8M2.jpg
8M2.jpg
AttachmentSize
Image icon 7M1.jpg54.63 KB
Image icon 7M2.jpg61.09 KB
Image icon 8M1.jpg63.74 KB
Image icon 8M2.jpg71.61 KB
v1tal's picture
Offline
Last seen: 5 years 5 days ago
Joined: 07.06.2008 - 19:41
Posts: 1779

А клиники ни какой не было?

"Знаешь, у некоторых врачей есть комплекс мессии — им необходимо спасать мир. А у тебя комплекс Рубика — тебе необходимо решать головоломки."

Nela's picture
Offline
Last seen: 6 years 3 months ago
Joined: 12.05.2009 - 20:43
Posts: 1847

У больного эписиндром. Хотя часто кавернома - это случайная находка.

Катенёв Валентин Львович's picture
Offline
Last seen: 7 years 3 months ago
Joined: 22.03.2008 - 22:15
Posts: 54876

Nela: "Раньше относили к опухолям".

А сейчас, к какой рубрике относят?

Nela's picture
Offline
Last seen: 6 years 3 months ago
Joined: 12.05.2009 - 20:43
Posts: 1847

Сейчас относят к сосудистым мальформациям.

Катенёв Валентин Львович's picture
Offline
Last seen: 7 years 3 months ago
Joined: 22.03.2008 - 22:15
Posts: 54876

Следоваттельно "мальформацию" можно относить с одинаковым успехолм в "вариантам раззвития (нормы)" или к "аномалиям развития"?.

Nela's picture
Offline
Last seen: 6 years 3 months ago
Joined: 12.05.2009 - 20:43
Posts: 1847

Все-таки это не норма. Это аномалия развития.

Катенёв Валентин Львович's picture
Offline
Last seen: 7 years 3 months ago
Joined: 22.03.2008 - 22:15
Posts: 54876

Я так понимаю, из классической анатомии и нормальной и патологической физиологии - "аномалией", мы называем нарушение структуры, которое сопровождается наружением определенной функции? При варианте развития - нарушение счтруктуры, без нарушения функции. Следовательно, "вариант нормы, вариант развития" - "случайная находка" , а "аномалия" - клинически значимое состояние.

Катенёв Валентин Львович's picture
Offline
Last seen: 7 years 3 months ago
Joined: 22.03.2008 - 22:15
Posts: 54876

Я без Вашего ведома добавил фрагменты изображения с увеличением.

Наталия's picture
Offline
Last seen: 8 years 10 months ago
Joined: 30.07.2008 - 13:24
Posts: 538

Очень интересное наблюдение

OPEXOB's picture
Offline
Last seen: 10 years 2 months ago
Joined: 26.07.2008 - 10:02
Posts: 280

Спасибо автору за интересное наблюдение.