You are here

Травма... контроль...

Пол пациента: 
Тип патологии: 
Область исследования: 
Методы исследования: 

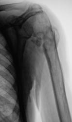
Пациент направлен в рентгеновский кабинет для рентгенографии плечевого сустава. Травма. Произведена рентгенография в прямой проекции.


1.Perelom.1..JPG
1.Perelom.1..JPG
2.Perelom.1..JPG
2.Perelom.1..JPG
3.Perelom.1..jpg
3.Perelom.1..jpg

 

 

 

 

 

 

 

 

 

 

 

 

После наложения гипсовой повязки, хирургами пациент на контроль направлен не был.

После снятия гипсовой повязки, пациент направлен на "рентген-контроль" для анализа процесса консолидации.


4.Perelom.1..JPG
4.Perelom.1..JPG
5.Perelom.1.JPG
5.Perelom.1.JPG
6.Perelom.1..jpg
6.Perelom.1..jpg

 

 

 

 

 

 

 

 

 

 

 

 

Ваше мнение коллеги?

AttachmentSize
Image icon 1.Perelom.1..JPG73.5 KB
Image icon 2.Perelom.1..JPG59.85 KB
Image icon 3.Perelom.1..jpg45.82 KB
Image icon 4.Perelom.1..JPG70.73 KB
Image icon 5.Perelom.1.JPG75.87 KB
Image icon 6.Perelom.1..jpg79.32 KB
Глазков Игорь Артурович's picture
Offline
Last seen: 1 year 38 min ago
Joined: 19.12.2008 - 20:41
Posts: 1597

картина посттравматического остеомиелита.

Прийди к Себе

Almo's picture
Offline
Last seen: 9 hours 54 min ago
Joined: 28.09.2008 - 18:50
Posts: 8290

Я не уверен, что есть признаки остеомиелита, скорее можно предположить резорбцию костной ткани в месте перелома в счетании с формированием костной мозоли.Важна клиника (при остеомиелите следут ожидать гипертермию). Сколько прошло времени между сериями снимков?

Катенёв Валентин Львович's picture
Offline
Last seen: 7 years 3 months ago
Joined: 22.03.2008 - 22:15
Posts: 54876

1,5 месяца.

OPEXOB's picture
Offline
Last seen: 10 years 2 months ago
Joined: 26.07.2008 - 10:02
Posts: 280

Таким травматологам вообще нельзя работать в медицине и близко.

Учитывая наличие хорошо выраженной мозоли может и зарастет, но не очень нравится местоположение отломка медиально, вероятно с ним будут "проблемы".

Наталия's picture
Offline
Last seen: 8 years 10 months ago
Joined: 30.07.2008 - 13:24
Posts: 538

О консолидации говорить нельзя.