Женщина 55-ти лет, плановое исследование легких перед протезированием тазобедренного сустава (ложный сустав шейки бедра). ФЛГ проходила "не помню, когда, давненько". Жалоб со стороны ОГК нет. После обзорного снимка стоя (1), я заказала жесткий снимок обзорный лёжа (2) и правый боковой сидя. Снимки не ахти, но какие есть. Боковой с динамической нерезкостью, от повторного снимка пациентка отказалась.
КТ. Исследование не моё, любезно предоставлено автором.
- https://radiomed.ru/sites/default/files/styles/case_slider_image/public/user/2841/1-----.jpg?itok=vmPgPmnu
- https://radiomed.ru/sites/default/files/styles/case_slider_image/public/user/2841/3-----.jpg?itok=xYPFYS9B
- https://radiomed.ru/sites/default/files/styles/case_slider_image/public/user/2841/4-----.jpg?itok=wQo7X2xr
- https://radiomed.ru/sites/default/files/styles/case_slider_image/public/user/2841/6-----.jpg?itok=C8FaE9Rd
- https://radiomed.ru/sites/default/files/styles/case_slider_image/public/user/2841/5-----.jpg?itok=NGfgdRaV
- https://radiomed.ru/sites/default/files/styles/case_slider_image/public/user/2841/7-----.jpg?itok=HrFR6NU_
- https://radiomed.ru/sites/default/files/styles/case_slider_image/public/user/2841/8-----.jpg?itok=y9EZaCjD
- https://radiomed.ru/sites/default/files/styles/case_slider_image/public/user/2841/9-----.jpg?itok=CeGmiBfc
- https://radiomed.ru/sites/default/files/styles/case_slider_image/public/user/2841/9a---.jpg?itok=dotrwyau
- https://radiomed.ru/sites/default/files/styles/case_slider_image/public/user/2841/9b----.jpg?itok=ICBgpx6g
- https://radiomed.ru/sites/default/files/styles/case_slider_image/public/user/2841/9v----.jpg?itok=5n1Z1xTR
- https://radiomed.ru/sites/default/files/styles/case_slider_image/public/user/2841/aksialy_1.jpg?itok=ddQ00Aci
- https://radiomed.ru/sites/default/files/styles/case_slider_image/public/user/2841/aksialy_2.jpg?itok=EklXaxQk
- https://radiomed.ru/sites/default/files/styles/case_slider_image/public/user/2841/aksialy_3.jpg?itok=P2He-Kdm
- https://radiomed.ru/sites/default/files/styles/case_slider_image/public/user/2841/koronaly.jpg?itok=pbkergwp
- https://radiomed.ru/sites/default/files/styles/case_slider_image/public/user/2841/koronaly1_1.jpg?itok=4Jel7eva
- https://radiomed.ru/sites/default/files/styles/case_slider_image/public/user/2841/koronaly1_2.jpg?itok=QbziBIav
- https://radiomed.ru/sites/default/files/styles/case_slider_image/public/user/2841/koronaly1_3.jpg?itok=9nQls5E-
- https://radiomed.ru/sites/default/files/styles/case_slider_image/public/user/2841/koronaly1_6.jpg?itok=m1VQCfsp
- https://radiomed.ru/sites/default/files/styles/case_slider_image/public/user/2841/sagittaly_2.jpg?itok=ntz9BMZC
- https://radiomed.ru/sites/default/files/styles/case_slider_image/public/user/2841/sagittaly_3.jpg?itok=ls97qim1
- https://radiomed.ru/sites/default/files/styles/case_slider_image/public/user/2841/sagittaly_4.jpg?itok=dVmzIkJd
ID:50206
Так это ж киста!
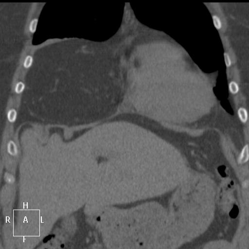
Образование в S4-5 правого легкого, контуры чёткие. По заднему контуру ещё видится увеличение, ка бы ещё одно образование. Больше похоже на кисту, а липомой не может быть?
Добавлена КТ.
https://www.youtube.com/channel/UCBGxoBUOqUT_bFhSeUgtWEw
Опять что-то тератомное и на ночь).
Неоднозначно всё
https://www.youtube.com/channel/UCBGxoBUOqUT_bFhSeUgtWEw
Зачем торопиться?
Сколько ещё интересных гипотез не высказано…
Неоднозначно всё
Спереди от сердца тоже ЭТОТ жир есть?
Неоднозначно всё
Да. Но спереди от сердца внутригрудной.
https://www.youtube.com/channel/UCBGxoBUOqUT_bFhSeUgtWEw
Скажите пожалуйста, Людмила Григорьевна, спереди от сердца не может быть тоже предбрюшинный жир?
Если да, то он проник через тот же треугольник Морганьи (справа), или отдельно через треугольник Ларрея?
Если жир внутригрудной, то должна быть разделяющая их брюшина (грыжевой мешок), покажете?
1. Думаю, что нет.
2. Вы правы, здесь грыжа Морганьи, справа
3. Предбрюшинная клетчатка расположена между париетальной брюшиной и поперечной фасцией, и поэтому брюшина отношения к подобной грыже не имеет. Стенками грыжевого мешка в данном случае, вероятно, является париетальная плевра (предбрюшинная жировая клеткатка, как мне кажется, располагается в плевральной полости):
1 - сердце; 2 - легочная ткань; 3 - диафрагма; 4 - абдоминомедиастинальная грыжа; 5 плевральная складка; 6 - грудина; 7 - печень; 8 - белая линия живота; 9 - брюшина (Таgliacozzo S., 1964).
http://www.radiomed.ru/publications/osnovy-ogk-sindrom-zatemneniya-v-oblasti-serdechno-diafragmalnykh-sinusov#comment-65655
https://www.youtube.com/channel/UCBGxoBUOqUT_bFhSeUgtWEw
Спасибо, Людмила Григорьевна, наверное Вы правы).
"предбрюшинная жировая клеткатка, как мне кажется, располагается в плевральной полости):"
++++++++++++++++++++++++++++++++++++++++++++++++++++++++++++++++++++++++++++++++++++++++++++++++++++++++++++++++++++++++++++++++++++++++++++++++
Нет. На вашей схеме видно, что предбрюшинная клетчатка расположена вне плевральной полости.
С уважением, Александр Морозов.
Александр, а где, по-Вашему, она расположена? На схеме "5" - это плевральная складка?... Схема из книги Л.С.Розенштрауха, как я понимаю.
https://www.youtube.com/channel/UCBGxoBUOqUT_bFhSeUgtWEw
А вопрос-то на стыке философии и топологии! Интересно, каков будет ответ))
Неоднозначно всё
Как я представляю, предбрюшинный жир (из которго исходит абдоминомедиастинальная липома) расположен кпереди от париетальной плевры, а плевральная полость-простраство между листками париетальной и висцеральной плевры и жировая грыжа там может находиться только в случае, если будет нарушена целостность листка париетальной плевры.
А находится ли лёгкое в плевральной полости? Если нет, то где оно находится?
Неоднозначно всё
Получается, что не находится; т.е. поверхность лёгкого прилежит к плевральной полости, но находится безусловно вне её.
<< Легкое полностью покрывает тончайшая оболочка — плевра, плотно облегающая внутреннюю поверхность. Легкое — это парный орган. Правое и левое лёгкие заключены в плевральные мешки, а между ними остается щелевидная плевральная полость. Она играет роль смазки, так как дыхательные движения легких совершаются непрерывно.
… легкие располагаются в плевральной полости, выстланной серозной оболочкой – плеврой. Плевра образует своеобразные мешки, внутри которых находятся легкие и сама плевральная полость. >>
http://www.e-anatomy.ru/100/http://www.e-anatomy.ru/102/
Очевидно, и вышеупомянутая грыжа также находится в плевральном мешке и окружена плевральной полостью. Только грыжевой мешок образован не висцеральной, а париетальной плеврой.
Неоднозначно всё
Можно мне? 5 - это париетальная плевра (Вы же сами об этом писали ///Стенками грыжевого мешка в данном случае, вероятно, является париетальная плевра ///), визави - висцеральная, между ними - плевральная полость. Так что жир, безусловно, расположен вне плевральной полости.
PS. Блин. Влез, а оказывается уже все отписались. Ну, не стирать же
...
Андрей Юрьевич
*
https://www.youtube.com/channel/UCBGxoBUOqUT_bFhSeUgtWEw
Новые картинки — новые проблемы
На некоторых реконструкциях не вижу я грудо-брюшной преграды. Может быть зря не вижу? А то получается, что клетчатка в впереди сердца и предбрюшинная составляют одно. Вы, Людмила Григорьевна, видите? Что-нибудь скажете?
Неоднозначно всё
Широкая щель (треугольник) Морганьи. Относительно тонкая и не везде видимая грудинная часть диафрагмы. В комменте 21 на аксиалах диафрагма не показана, все картинки выше неё. И еще: для только предбрюшинной клетчатки - её слишком много, скорее тут сальник в грудную полость пролабирует.
Мне видится так:
https://www.youtube.com/channel/UCBGxoBUOqUT_bFhSeUgtWEw
Любезность ваша, Людмила Григорьевна, порою переходит границы рацональности… и рождает чувство такой нечеловеческой благодарности, что даже способно развеять дрёму, навеянную Анализом психологии толпы.
Остаётся спросить: всегда ли можно увидеть на КТ-граммах клетчатку переднего средостения в тех случаях, когда грыж Ларрея и Морганьи точно нет? Да и можно ли по ним однозначно определить, что этих грыж даже малого размера нет?
Неоднозначно всё
Любезность позволяет самой повторить материал, так что эгоизм чистой воды).
Клетчатка переднего средостения может быть различной степени выраженности. http://translate.google.ru/translate?hl=ru&langpair=en%7Cru&u=http://www.ncbi.nlm.nih.gov/pmc/articles/PMC2667598/
http://radiographics.rsna.org/content/22/suppl_1/S61.full
Бывает выраженный липоматоз:
Картинки нормальной клетчатки из Хофера ( 2 - жировая клетчатка, первые два скана в средостенном окне, жир практически не виден, сливается с легкими):
P.S. Быть всегда рациональной скучно)).
Несколько своих и присланных случаев без грыж грудино-реберных треугольников:
https://www.youtube.com/channel/UCBGxoBUOqUT_bFhSeUgtWEw
Даже корейский журнал читать успеваете?!
Значит, очень вариабельна эта структура в организме.
А с определением грыж малого размера, видимо, сложности…, но они практического значения не имеют.
Ещё раз Большое спасибо за ваш труд, Людмила Григорьевна, берегите себя, Бесподобная наша Учительница).
PS. Что-то не видно известного мецената и коллекционера произведений народного творчества). Столько картинок втуне… понимаишь...
Неоднозначно всё
https://www.youtube.com/channel/UCBGxoBUOqUT_bFhSeUgtWEw
Одно не понял- ну а по плотности образование соответствует жиру?
Грыжа Морганьи с пролабированием сальникового жира в плевральную полость.
Да.
https://www.youtube.com/channel/UCBGxoBUOqUT_bFhSeUgtWEw
Спасибо Людмила Григорьевна!
Хороший материал, хорошие дополнения.
Спасибо!
Спасибо, за демонстрацию! Случай расширил мой кругозор и знакомых коллег!(было обсуждение)
Спасибо за отличный материал, всем спасибо за то, что что-то появляется в голове.