К рентгенологической семиотике рака молочной железы
(по литературным данным – реферативный обзор, с отдельными фрагментами собственных клинических наблюдений).
В последнее время во многих ЛПУ Российской Федерации, с целью раннего выявления рака и других заболеваний молочной железы, вводится методика маммографии. Однако в практической рентгенологии ощущается недостаток в фундаментальной литературе по рентгенодиагностике заболеваний молочной железы.
Нами предпринята попытка анализа доступной литературы, в том числе журнальных статей и сообщений в Интернете, с целью систематизации «скиалогической симптоматологии», характерной для злокачественных опухолей молочной железы.
При анализе материала, мы учли высказывание выдающегося ученого рентгенолога профессора Леонида Давыдовича Линденбратена – «Любой патологический процесс продуктивного или экссудативного порядка, развивающийся в молочной железе, будь то воспаление, фиброзно-мастопатическая пролиферация, доброкачественная опухоль или киста, рак или саркома, всегда сопровождается уплотнением железы и соответственно этому в рентгенологическом изображении дает симптом затемнения».
В зарубежной литературе, в частности, Iowa Health Book: Diagnostic Radiology, рентгенологическая диагностика заболеваний молочной железы базируется на рентгенологических синдромах, представленных в таблице № 1.
Таблица № 1.
Breast, gland destruction –
изменённые участки структуры железы.
Изменение структуры железы, более четкое, чем в норме изображение, может быть при воспалительных заболеваниях железы.
Если эти изменения наблюдаются на отдельных участках железы, возникает подозрение на доброкачественную или злокачественную опухоль железы.
Breast vascular countur, prominent –
признаки нарушенного хода сосудов в железе.
В норме наблюдается правильный, упорядоченный ход сосудов железы. Нарушение сосудистого рисунка на отдельных участках может быть признаком мастопатии (доброкачественного образования железы) или злокачественной опухоли. Вопрос о природе опухоли решается с помощью биопсии ткани железы.
Breast microcalcifications - обнаружение микрокальцификатов (мелких очагов скопления кальция в ткани железы).
На маммограммах в норме нет вкраплений кальция. Наличие микрокальцификатов диффузное (распространенное) может быть результатом воспалительных изменений.
При обнаружении микрокальцификатов на ограниченных участках, возникает подозрение на опухолевый рост.
Авторы предлагают формат заключений трех типов:
- нарушений структуры железы не выявлено (повторное исследование молочных желез назначается в плановом порядке);
- структура в основном нормальная, но некоторые участки вызывают сомнения (контрольное исследование назначается через 3 – 6 месяцев);
- есть подозрительные участки (назначается биопсия).
По данным отечественных авторов скиалогическая картина рака молочной железы зависит от: локализации процесса, формы, размеров, контуров, состояния окружающих тканей, «поздних» изменений молочной железы, связанных с распространением процесса на значительную часть молочной железы, с вовлечением в процесс кожи, соска, ареолы, регионарных лимфатических узлов.
Следовательно, вся симптоматология рака молочной железы может быть разделена на три основные группы:
1. Первичные - прямые признаки, являющиеся теневым отображением самого опухолевого узла.
2. Вторичные – признаки, отражающие развитие «парапроцесса» вокруг опухолевого узла.
3. Косвенные признаки («признаки запущенности процесса»), свидетельствующие, о распространении процесса на значительную часть молочной железы.
Первичные и вторичные признаки отражаются в виде локальной «патологической перестройки» структуры молочной железы, как в области опухолевого узла, а также вокруг него. Причинами данного скиалогического синдрома являются: «сам опухолевый узел», реактивное воспаление, раковый лимфангит, стромогенный и реактивный склероз, дистрофический процесс (атрофия и дистрофия железистой ткани), в окружающей узел ткани, как следствие компрессии её растущим узлом.
Все авторы, как зарубежные, так и отечественные указывают, что опухолевым процессом, преимущественно, поражается верхний наружный квадрант. Значительно реже опухолевый рост регистрируется в нижнем наружном, верхнем внутреннем, и совсем редко в нижнем внутреннем квадрантах.
Отечественные авторы единодушны, что распознавание «опухолевого роста» возможно при достижении опухоли размеров 1,0 – 1,5 см. в диаметре (Л.Д. Линденбратен). Однако необходимо констатировать тот факт, что с внедрением в практику «цифровых маммографов», выявление опухолей меньших размеров является осуществимой задачей.
В отечественной и зарубежной литературе к первичным (основным) признаками рака молочной железы относят:
- непосредственное отображение опухолевого узла;
- наличие микрокальцинатов.
В таблице № 2 приведены данные, характеризующие теневое отображение опухолевого узла (по литературным данным).
Таблица № 2.
Первичные (основные) признаки
1. Наличие тени опухолевого образования.
2. Наличие дополнительного образования на фоне подкожножировой клетчатки.
3. Наличие микрокальцинатов (менее 1 мм.).
Форма тени
(состоит из центрального более плотного узла)
1. Неправильная.
2. Звездчатая (лучистая) – инфильтративное распространение процесса.
3. Амебовидная.
4. Округлая, овальная (медуллярный, слизистый рак).
Контуры тени
1. Неровные.
2. Нечеткие.
3. С радиарной тяжистостью.
4. Чёткие, но полициклические.
5. Чёткие и ровные.
Отложение солей извести в массиве опухоли
В виде мелких кальцинатов (по Леборню) – «рассыпанные мелкие зернышки соли».
Необходимо отметить, что в настоящее время нет единодушного мнения, по поводу так называемых «микрокальцинатов». Л.Д. Линденбратен указывает, что данным термином обозначаются кальцинаты менее 1 мм. А.Г. Илькевич считает, что микрокальцинатом должен называться кальцинат размерами менее 0,5 мм. Другие авторы, также не единодушны в характеристике микрокальцинатов по величине.
Некоторые авторы пользуются классификацией микрокальцинатов по M. Le Gal, которая предусматривает деление микрокальцинатов на 5 типов:
Тип1. Круглые и дуговидные кальцинаты, иногда горизонтальные или полулунные, соответствуют маленьким микрокистозным эктазиям.
Тип 2. Круглые, правильной формы.
Тип 3. Пылевидные, очень нежные.
Тип 4. Точечные, неправильной формы.
Тип 5. Червеобразные, древовидные. Отражают внутрипротоковый некроз.
Необходимо констатировать, что отнесение микрокальцинатов к первичным (основным) признакам рака молочной железы, неверно по следующим соображениям:
- «скопления микрокальцинатов», «группы микрокальцинатов» регистрируются на снимках при рутинной «мастопатической трансформации», фиброаденомах, посттравматических и поствоспалительных участках склероза ткани молочной железы и др.;
- довольно часто в доказанных «случаях» рака молочной железы, микрокальцинаты (на рентгеновских снимках) не выявляются;
- некоторая некорректность «смешения понятий» - анаплазии (опухолевый рост) и метаплазии (кальцинаты);
- наличие кальцинатов, скорее всего, свидетельствует о нарушении «обменных процессов» в определенном участке молочной железы, с последующим дистрофическим процессом и метаплазией.

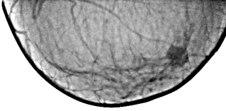
Признаки, представленные в таблице № 2 – иллюстрации 1, 2, 3, 4. (№ 1 – снимок в прямой проекции, № 2 – фрагмент с «патологическим образованием», выделенный навигатором, № 3 – снимок в боковой проекции, № 4 - фрагмент с «патологическим образованием», выделенный навигатором).

В верхнем наружном квадранте правой молочной железы, в передних отделах регистрируется тень узлового (опухолевого) образования неправильно округлой формы, с неровными, нечеткими контурами, с радиарной тяжистостью в «окружающую ткань», неоднородной структуры, с мелкими эксцентрическими просветлениями и очаговыми уплотнениями. При значительном увеличении изображения также на фоне «узла» определяются мелкие уплотнения.
В таблице № 3 приведены вторичные признаки рака молочной железы, характеризующие парапроцесс вокруг опухолевого узла (по литературным данным).
Таблица № 3
Изменение структурного рисунка молочной железы вокруг опухоли.
1. Нарушение архитектоники – нарушается свойственное молочной железе радиальное направление тяжистых элементов рисунка.
Иллюстрации 3, 4, 5, 6, 7, 9, 10.
2. Вокруг опухоли обнаруживается тонкая сеть трабекул и множественные спикулоподобные тени, расходящиеся во все стороны от тени ракового инфильтрата.
Иллюстрации 2, 7, 8.
3. Утолщение соединительнотканных тяжей, идущих от опухоли к коже. Иллюстрация 2.
Окружающая ткань.
1. «Сопровождение» опухолевого узла «дорожкой» к соску или коже.
Иллюстрации 2, 7, 10.
2. Наличие «ракового мостика» между тенью опухоли и изображением соска (за счет роста раковой ткани по ходу крупного млечного протока и ракового лимфангоита на снимке появляется тень в виде полосы различной ширины, связывающей медиальный край опухоли с внутренним контуром околососкового кружка.
Иллюстрации 2, 9.
Сосудистый рисунок.
1. «Патологическая» васкуляризация. Вены расширяются (а также дифференцируются «дополнительные» сосуды), как вокруг опухоли, так и в подкожной жировой клетчатке.
Иллюстрации 5, 6, 9.
2. Расширение вен в пораженном опухолью квадранте молочной железы (при доброкачественных опухолях и фиброаденомах этот симптом не встречается).
3. Увеличивается не только калибр, но и длина сосудов, вследствие чего они штопорообразно извиваются.
Иллюстрация 3.
4. Goblos (1975) описал новый косвенный рентгенологический признак рака — выпрямление вен.
На обычных маммограммах хорошо видны вены. Калибр вен в норме составляет около 1—2 мм.
Фиброзная реакция стромы (по Илькевич А. Г.)
1. Конвергенция соединительнотканных пучков.
2. Дезорганизация архитектоники ткани.
3. Втяжение края железистого треугольника.
Мы считаем необходимым, к вторичным признакам отнести очаги, по всей видимости, пролиферативного характера, появляющиеся вокруг «опухолевого узла», или по «ходу лимфангоита» - фактически «дочерние узлы».

Признаки, представленные в таблице № 3 – иллюстрации 5, 6, 7, 8, 9, 10 (также иллюстрации 1, 2, 3, 4).
В таблице № 4 приведены косвенные признаки («признаки запущенности процесса), характеризующие распространение процесса на значительную часть молочной железы (по литературным данным).
Таблица № 4.
Косвенные признаки.
Симптомы со стороны кожи, соска.
Сосок.
Втяжение.
Ареола
Утолщение кожи ареолы. Втяжение ареолы.
Кожа.
Втяжение, утолщение.
Отек ткани молочной железы (по Илькевич А. Г.)
Соответствует нарушению лимфооттока и вторичному воспалительному процессу, опухолевой инфильтрации.
К «симптомам запущенности», по всей видимости, необходимо относить и такую скиалогическую картину, при которой, в результате массивного парапроцесса и лимфангита «основной опухолевый узел» прекращает дифференцироваться, как «ограниченная структура». Фактически определяется инфильтративная тень, с размытыми, нечеткими, порой не дифференцирующимися контурами, распространяющаяся по площади более, чем на квадрант.
В отдельных литературных источниках встречаются сообщения о косвенных рентгенологических признаках, так называемого «скрытого, не пальпируемого, не визуализируемого» рака молочной железы. Эти признаки приведены в таблице № 5.
Таблица № 5.
Наличии локализованных изменений структуры железы
Сближение трабекул с изменением их обычного направления.
Образование звездчатых фигур (структур).
Усиление сосудистого рисунка.
Наличие участков уплотнения структуры.
Локальное усиление рисунка особенно в субареолярной зоне.
Как показала практика, перечисленные скиалогические симптомы, приведенные в таблице № 5, не имеют практического значения, так как один из них обязательно «присутствует» на любой маммограмме.
Мы надеемся на конструктивные замечания, дополнения и критику коллег лучевых диагностов, по поводу приведенного материала. Мы с благодарностью примем любые предложения.
| Attachment | Size |
|---|---|
| 25.38 KB | |
| 23.8 KB | |
| 33.07 KB | |
| 30.87 KB | |
| 28.38 KB | |
| 27 KB | |
| 27.93 KB | |
| 37.11 KB | |
| 26.04 KB | |
| 26.21 KB |
Иллюстрации.
Продолжение.
Сегодня услышала о новой классификации заболеваний молочных желез BEARTS 0 123456
/извините может неправильно написала/,подскажите где взять информацию по этому материалу.
Заранее благодарю.Гана.
по-видимому Вы имеете в виду BI-RADS
http://www.radiologyassistant.nl/en/420e10773fa28
"самоуверенность дилетантов - предмет зависти профессионалов"
К рентгенпризнакам рака молочной железы относятся прямые и косвенные.
Прямыми признаками рака молочной железы являются:
- наличие опухолевого узла;
- наличие микрокальцинатов.
Косвенные признаки рака молочной железы:
- изменения кожи;
- изменение сосудистого рисунка;
- перестройка окружающих тканей;
- изменения соска;
- фиксация узла к грудной стенке;
- увеличение регионарных лимфатических узлов;
Особенности лучевой диагностики редких заболеваний грудной железы опухолевой природы
http://www.clinicaloncology.com.ua/article/1872/osobennosti-luchevoj-diagnostiki-redkix-zabolevanij-grudnoj-zhelezy-opuxolevoj-prirody
Продолжение.
Хорошая книга. Основы, критерии понятно изложены.
Но, приходя к системе Bi-RADS, уходит рентгенологический диагноз мастопатия. Это прерогатива клиницистов .
Продолжение.
Продолжение.