Очередные "The x-files" в моей практике...
Два человечка-загадки.
Случай 1.
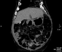
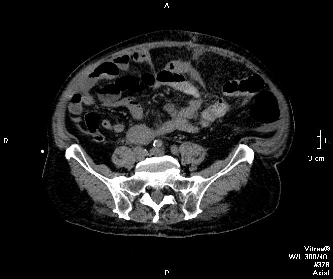
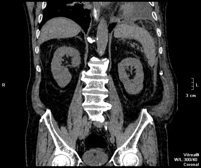
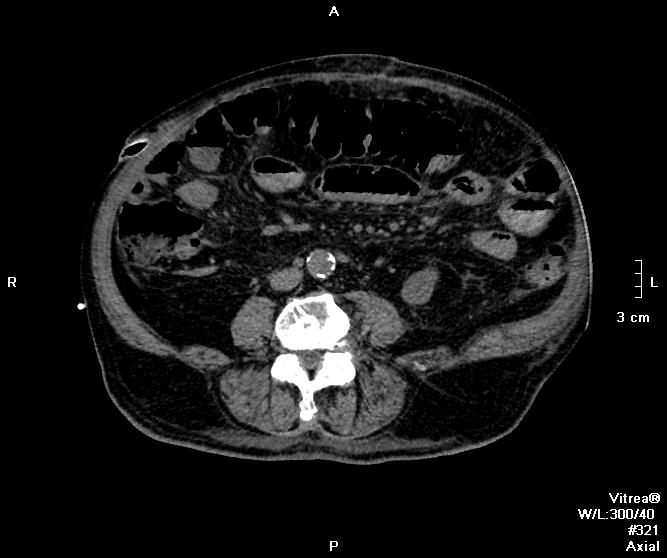
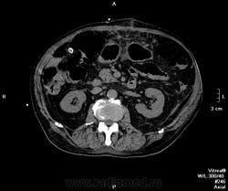
Пациент поступил ко мне через 6 дней после ушивания перфоративной язвы ДПК. УЗИ-сты увидели инфильтративно-жидкостные изменения в зоне оперативного вмешательства, пузырьки газа. Но смутило найденное образование в пространстве между правой долей печени и паранефрием. цель исследования - дифференцировать найденное между инфильтрацией и жидкостным скоплением.
Пациента готовили в течение 2 часов, перорально разведенный урографинчик дробно, и пол станканчика перед исследованием (это важно). Болюс в артериальную и венозную фазы.
- https://radiomed.ru/sites/default/files/styles/case_slider_image/public/user/16195/1337909917.343.jpg?itok=EFbkG68V
- https://radiomed.ru/sites/default/files/styles/case_slider_image/public/user/16195/1337909930.140.jpg?itok=xCEmahP9
- https://radiomed.ru/sites/default/files/styles/case_slider_image/public/user/16195/1337909937.343.jpg?itok=0yPkNhRV
- https://radiomed.ru/sites/default/files/styles/case_slider_image/public/user/16195/1337909944.078.jpg?itok=DVwBd8fy
- https://radiomed.ru/sites/default/files/styles/case_slider_image/public/user/16195/1337909951.375.jpg?itok=u0IpZSAj
- https://radiomed.ru/sites/default/files/styles/case_slider_image/public/user/16195/1337909956.687.jpg?itok=ZnHBbKuW
- https://radiomed.ru/sites/default/files/styles/case_slider_image/public/user/16195/1337909962.859.jpg?itok=Q9XdRnig
- https://radiomed.ru/sites/default/files/styles/case_slider_image/public/user/16195/1337909969.890.jpg?itok=qFhBdIb6
- https://radiomed.ru/sites/default/files/styles/case_slider_image/public/user/16195/1337909974.828.jpg?itok=P7XYdrVu
- https://radiomed.ru/sites/default/files/styles/case_slider_image/public/user/16195/1337909980.718.jpg?itok=4okGOBKc
- https://radiomed.ru/sites/default/files/styles/case_slider_image/public/user/16195/1337909985.718.jpg?itok=9eCSiFXW
- https://radiomed.ru/sites/default/files/styles/case_slider_image/public/user/16195/1337909990.921.jpg?itok=rm5m2W33
- https://radiomed.ru/sites/default/files/styles/case_slider_image/public/user/16195/1337909996.484.jpg?itok=DofDCXzN
- https://radiomed.ru/sites/default/files/styles/case_slider_image/public/user/16195/1337910001.500.jpg?itok=wqj5n5cQ
- https://radiomed.ru/sites/default/files/styles/case_slider_image/public/user/16195/1337910007.578.jpg?itok=W1NMH9Ws
- https://radiomed.ru/sites/default/files/styles/case_slider_image/public/user/16195/1337910013.203.jpg?itok=WrB8z5yg
- https://radiomed.ru/sites/default/files/styles/case_slider_image/public/user/16195/1337910018.171.jpg?itok=a4nd94BI
- https://radiomed.ru/sites/default/files/styles/case_slider_image/public/user/16195/1337910022.187.jpg?itok=pvq9dojv
- https://radiomed.ru/sites/default/files/styles/case_slider_image/public/user/16195/1337910026.968.jpg?itok=zF7ePqQc
- https://radiomed.ru/sites/default/files/styles/case_slider_image/public/user/16195/1337910031.171.jpg?itok=D74c-Lrv
- https://radiomed.ru/sites/default/files/styles/case_slider_image/public/user/16195/1337910038.750.jpg?itok=vD9281b2
- https://radiomed.ru/sites/default/files/styles/case_slider_image/public/user/16195/1337910041.875.jpg?itok=mbJZ3nIs
- https://radiomed.ru/sites/default/files/styles/case_slider_image/public/user/16195/1337910049.171.jpg?itok=cAZvQCBn
- https://radiomed.ru/sites/default/files/styles/case_slider_image/public/user/16195/1337910054.765.jpg?itok=EmF6_rjc
- https://radiomed.ru/sites/default/files/styles/case_slider_image/public/user/16195/1337910059.796.jpg?itok=xPPp7QDf
- https://radiomed.ru/sites/default/files/styles/case_slider_image/public/user/16195/1337910078.562.jpg?itok=eyuMuoCJ
- https://radiomed.ru/sites/default/files/styles/case_slider_image/public/user/16195/1337910086.296.jpg?itok=D7k6lfeX
- https://radiomed.ru/sites/default/files/styles/case_slider_image/public/user/16195/1337910096.281.jpg?itok=41nyETKk
- https://radiomed.ru/sites/default/files/styles/case_slider_image/public/user/16195/1337910098.656.jpg?itok=soSs9xZN
- https://radiomed.ru/sites/default/files/styles/case_slider_image/public/user/16195/1337910106.046.jpg?itok=Sjsx5Mjn
ID:50320
мои мысли чуть ниже
(c) У насекомых, размазанных по стеклам фар,
Нет выбора, а у тебя есть этот дар
Или проклятие, как хочешь назови
То, что кипит и дышит у тебя в груди
мда, вспоминаю и страшно
(c) У насекомых, размазанных по стеклам фар,
Нет выбора, а у тебя есть этот дар
Или проклятие, как хочешь назови
То, что кипит и дышит у тебя в груди
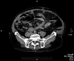
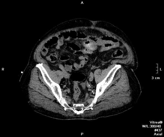
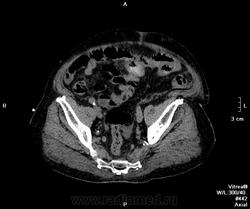
мы имеем - задренированное околопеченочное пространство, жидкость в подпеченочном, левом поддиафрагмальном пространстве и по контурам селезенки (серозная), к передне-наружному контуру левой доли печени прилежит ограниченное жидкостное скопление
-ничего криминального между висцеральной поверхностью печени и правой почкой (паранефрий как им угодно) не вижу
-!!! в нативе желудок и петли кишечника не контрастированы - следы контраста в отдельных петлях тонкого к-ка (перед исследованиям он пил, по зонду ничего никуда - ни ни!!!), петли толстого и тонкого кишечника содержат умеренно повышенное количество воздуха и жидкого содержимого, с горизонтальными уровнями
- просвет верхне-горизонтальной ветви дпк в области оперативного вмешательства и зоны сегментарной пластики убудительно не прослеживаеся, представлен зоной инфильтрации, утолщенными стенками кишки, по наружному контуру воспаленных тканей лентовидно расположенные пузырьки воздуха - более вероятно воздух на фоне складок; затеков КВ нет
- воспалительные изменения в проекции лапаротомного доступа, в пжк передней брюшной стенки, в абдоминальной жировой клетчатке и межпетельно
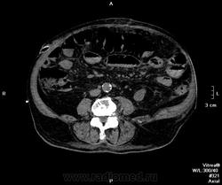
- диверткулище мочевого пузыря
- инфильтрат в левой седалищно-прямокишечной ямке
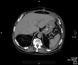
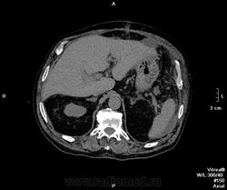
- меня смущает не типичный вид артериальной фазы, и уж тем более венозной
Усиление коркового вещества слабое, задержка начала нефрографической фазы. диаметр почечным артерий около 5 мм, почечных вен -- 10мм. на 60 секунде отсутствует должное конрастирование вен, без признаков патологического сброса
и куда контраст делся из кишечника? (предположим - не развели в кувшинчике, но выпить-то перед исследованием мы ему дали)
ну не глюк ведь??? ни одна вена не усиливается! почему так???
у пациента гипопротеинемия, 6 дней после операции, каких только теорий я уже не думала... хотя конечно из того что захватилось от легких - попахиват рачком ...
уже как у Хауса - аутоиммунное? паранеопластичский синдром?
есть ли какие - нибудь мнения???
(конечно не сделанные отсроченные мой косяк, не додумалась тогда)
выложу чуть позже еще аналогичный случай - уже с двумя отсроченными.
(c) У насекомых, размазанных по стеклам фар,
Нет выбора, а у тебя есть этот дар
Или проклятие, как хочешь назови
То, что кипит и дышит у тебя в груди
На сколько я понимаю дренирование подпеченочного пространства на уровне ворот печени в данном случае, а инфильтрат находится на уровне левой доли печени так ????? Кстати там инфильтрат и на уровне поддиафрагмального пространства селезенки.
"Знаешь, у некоторых врачей есть комплекс мессии — им необходимо спасать мир. А у тебя комплекс Рубика — тебе необходимо решать головоломки."
ага, однако же не суть ... как Вы считаете, почему так выглядят артериальная и венозная фазы??? о чем это может свидетельствовать???
(c) У насекомых, размазанных по стеклам фар,
Нет выбора, а у тебя есть этот дар
Или проклятие, как хочешь назови
То, что кипит и дышит у тебя в груди
Пациент оперирован по поводу аденоКа толстого кишечника, гемиколэктомия. Онкопоиск, поиск вторичного поражения.
В воротах печени беда, но не об этом сейчас. Прицельно смотрим контраст.
(c) У насекомых, размазанных по стеклам фар,
Нет выбора, а у тебя есть этот дар
Или проклятие, как хочешь назови
То, что кипит и дышит у тебя в груди
Пациент оперирован по поводу аденоКа толстого кишечника, гемиколэктомия. Онкопоиск, поиск вторичного поражения.
В воротах печени беда, но не об этом сейчас. Прицельно смотрим контраст.
(c) У насекомых, размазанных по стеклам фар,
Нет выбора, а у тебя есть этот дар
Или проклятие, как хочешь назови
То, что кипит и дышит у тебя в груди
Артериальная.
(c) У насекомых, размазанных по стеклам фар,
Нет выбора, а у тебя есть этот дар
Или проклятие, как хочешь назови
То, что кипит и дышит у тебя в груди
Венозная.
(c) У насекомых, размазанных по стеклам фар,
Нет выбора, а у тебя есть этот дар
Или проклятие, как хочешь назови
То, что кипит и дышит у тебя в груди
отсроченные
(c) У насекомых, размазанных по стеклам фар,
Нет выбора, а у тебя есть этот дар
Или проклятие, как хочешь назови
То, что кипит и дышит у тебя в груди
Не являясь КТ-графистом, не претендуя на вклад в диагностику патологии в данном нелёгком случае, я выскажу свои предположения о методике.
Версия №1. Контраст для перорального приема в водичке не разводили, а дали её страдальцу чистой. Контраст же для внутривенного введения наоборот развели в неизвестной пропорции. Всё в целях экономии)).
Версия №2. Контраст для перорального приема (урографин) в воде не развели, но применили его внутривенно. Перорально же применили водопроводную без примесей. В этом случае сэкономлен, по-видимому, омнипак в количестве 100 мл.
Выдача контрастов у Вас где-то фиксируется? Кто-то конкретно за них расписывается? Ампулы из под препаратов сих, у Вас в кабинете до конца исследования остаются? Как это предписано в незапамятные времена.
Неоднозначно всё
Добрый день, Петрович!
об этом я думала: и скажу сейчас о ужас что: когда у нас "просят" исследование - планово, подавая историю заведующему, и нам на цитовочку - звонят, мы рассказываем о подготовке, как разводить урографин, как его пить. За ампулой всегда приходит санитарка или м/с или доктор из того отделения где лежит пациент, ампулу выдает мой лаборант, контраст списывается медсестрами (но только тот, котовый она вводит или от руки или инжектором), урографин налево-направо раздаем, честно говоря /не моя это проблема/.
согласна что случай 1 могли его не развести, а подготовить пациента чистой аш-два-о... что есть печалька...
да только где же он, родимый-то в венах??? артерии полные, хоть почечные и дохленькие (№1), во 2 случае - "алалагичная" ситуация, да только в пиелографиеческой все зер гуд...
помню еще в институте - артерии - артериолы - мцр - венулы - вены... ???????
(c) У насекомых, размазанных по стеклам фар,
Нет выбора, а у тебя есть этот дар
Или проклятие, как хочешь назови
То, что кипит и дышит у тебя в груди
Петрович, ну взгляните, на 1 случае - в одной из петель же есть нечто напоминающее контраст! значит пил его... ну не долетели же те пол стаканчика так быстро аж тудой...??? загадка... что ж он весь, всосался что ли? или извините выкакался реактивно??? парез же жь все таки...
(c) У насекомых, размазанных по стеклам фар,
Нет выбора, а у тебя есть этот дар
Или проклятие, как хочешь назови
То, что кипит и дышит у тебя в груди
Екатерина, чтобы контрастировать ЧЛС (где контраст концентрируется) его много не надо, а для вен уменьшенного количества могло и не хватить…, я так думаю. В кишечнике не вижу.
В первом случае, нет ли смещения свода желудка в грудную полость?
Неоднозначно всё
скопление жидкости там атипичное вследствии вероятнее всего спаечного процесса ,нет характерного усиления по периферии ,свойственного инфильтрации. аскопления воздуха лучше оценить в легочном окне (так не видно),да и за счет дренажей такое возможно
В первом случае дополнительно, как мне кажется, в обеих плевральных полостях есть жидкость, средостение смещено влево, наличие осумкованной жидкости в слева паракостально. По нижнему полюсу левой почки киста.
Во втором случае наблюдается гиподенсный участок в печени.
да, вы правы! там по мне так бедой-бедой попахивает
в задних синусах выпот, выпот по наружному контуру левого легкого с распространением до контура средостения. По топограмме - левое легкое от уровня бифуркации трахеи (выше - срезано) гомогенно затемнено, на фоне затемнения не прослеживается легочно рисунок, средостением смещено влево, левая ЛА подтянута кзади и влево, передне-медиальные отделы правого легкого распространяются в левую половину грудно полости (передняя медиастинальная грыжа). Думаю о том что там рачина. Мнение сказала, в протоколе расписала. Даже не ёкнуло ни у кого. Сама расширять область исследования не стала приинципиально.
ВСЕМ СПАСИБО ЗА МНЕНИЯ!!!!!!!!!!!!!!!!!!!!!!!!!!!!!!
(c) У насекомых, размазанных по стеклам фар,
Нет выбора, а у тебя есть этот дар
Или проклятие, как хочешь назови
То, что кипит и дышит у тебя в груди
на вскидку не помню, вроде не было, завтра гляну - щелкну коронары
(c) У насекомых, размазанных по стеклам фар,
Нет выбора, а у тебя есть этот дар
Или проклятие, как хочешь назови
То, что кипит и дышит у тебя в груди
дифференцируем между метастазом и холангиокарциномой
(c) У насекомых, размазанных по стеклам фар,
Нет выбора, а у тебя есть этот дар
Или проклятие, как хочешь назови
То, что кипит и дышит у тебя в груди
в целом если 100 мл мало оказалось - надо было вдвое больше???
(c) У насекомых, размазанных по стеклам фар,
Нет выбора, а у тебя есть этот дар
Или проклятие, как хочешь назови
То, что кипит и дышит у тебя в груди
Да нет же. Я всё же держусь мнения, что контраста введено было гораздо меньше, допустим 40 мл… хотя не настаиваю.
В первом случае предполагаю смещение свода желудка в грудную полость, исходя из того что нижняя доля левого лёгкого спалась и средостение съехало влево, но рядом с аортой и позади сердца какой-то газовый пузырь виден, может быть, конечно, это не спавшийся S10, и с чего же он не спался? Нужно лёгочное окно.
Неоднозначно всё
сделаем! отснэпаю в лучшем виде!
(c) У насекомых, размазанных по стеклам фар,
Нет выбора, а у тебя есть этот дар
Или проклятие, как хочешь назови
То, что кипит и дышит у тебя в груди
Случай 1. Атеросклероз сосудов, запаздывание фаз секунд на 20-25. Получили раннюю артериальную фазу (посмотрите контрастирование камер сердца). И вместо портальной - нечто между поздней артериальной и портальной. Стоило, как мне кажется, сделать 85-90 сек, тогда бы попали в порталку.
По поводу жидкостей в брюшной полости (инфильтраты? где? Виталий показывает скопление жидкости у левой венечной связки) - нормальное послеоперационное их распределение, результат самой операции - т.е. лизированная кровь, ничего криминального, в соответствии с анатомией связок (в том числе и левой венечной, селезеночно-ободочной, желудочно-диафрагмальной)), обычная п/о реакция клетчатки. Абсцессов нет.
Смысл вводить разведенный контраст перорально - смотреть затёки? Тогда разводить и давать его следует в КТ-кабинете, 20 мл тразографа/урографина на 1200 мл воды. Да и зонд в желудке позволяет в отсроченную фазу раздуть воздухом и посмотреть на предмет состоятельности швов, если в том есть сомнения.
Полстаканчика перед сканированием - зачем? Наполнение водой или разведенным контрастом перорально лучше проводить в объёме литра за полчаса до исследования и литр на столе перед сканированием. Плюс спазмолитики. Не настаиваю).
Какой рачок в легких? Можно стрелочкой? Видно только двусторонний выпот (слева частично осумкованный) и компрессионный ателектаз. Если Вы увидели в легких нечто, насторожившее Вас, не проще ли было отсканировать следом и легкие?
Инфильтрата в малом тазу (седалищно-прямокишечная ямка слева) тоже не увидела... немного жидкости стекло в таз после операции.
P.S. Только мнение, не претендуя на истину).
P.P.S. Иной раз попадается такой гадкий тразограф - невидимый практически... используем остатки омнипака (к примеру, после контрастирования головного мозга - у нас флаконы по 100 мл, а на контрастирование опухоли хватает 70-ти)), либо нагло просим 2 флакона на брюшную, используем один, а второй - для перорального контрастирования. Кстати, брюшные болюсы с разведенным пероральным контрастом используем крайне редко - незачем, хватает воды.
Случай 2. Опять не попали в фазы, рано. Исследование малоинформативно по сути(. Какова скорость введения автошприцем? Катетер кубитальный или в запястье?
Правильность проведения фаз для скорости 4 мл/сек можно посмотреть здесь: http://www.radiographia.ru/node/3266
P.P.P.S))) Опыт путём ненаучного тыка, когда сама несколько раз получила сходное, а то и хуже, взяла за правило присутствовать на болюсах и смотреть фазы во время сканирования, следить за непременным наполнением желудка перед исследованием, и сразу выполнять дополнительные фазы или расширять область исследования.
"Предоставляя весь смысл и совершенство в распоряжение одного только Бога, вы избавляете себя от бездны хлопот." Джон Уитборн.
Спасибо, Эксперт!
Неоднозначно всё
Любовь С. , спасибо за ссылку , скачала себе-довольна
Тогда и эту тоже скачайте: http://www.radiographia.ru/node/7253
Один слайд отметает все вопросы о нейтральном, а не позитивном пероральном контрастировании:
"Предоставляя весь смысл и совершенство в распоряжение одного только Бога, вы избавляете себя от бездны хлопот." Джон Уитборн.
Сделано , скачано , прочтено :-) огромное спасибо !
Любовь С., СПАСИБО!!!!!!!!!!!!!!!!!
(c) У насекомых, размазанных по стеклам фар,
Нет выбора, а у тебя есть этот дар
Или проклятие, как хочешь назови
То, что кипит и дышит у тебя в груди
О то ж! Сколько ей сегодня Спасиб сказали. Я первый начал...., но призадумался: не перехвалить бы).
Неоднозначно всё