По-моему, они оба должны идти в одном направлении, у второго более выраженный силикоз, но консультация онколога обязательна. ФГ-будни-крайне коварная вещь, а КТ у Вас есть?
Соорудить линейку это не просто отдельное исследование – маленькое событие в жизни рентген отд., отдельный визит пациента с предварительным приглашением оного. А вот снять правую боковую (для полного счастья ещё и заднюю), любой добросовестный рентгенолаборант может. Если он работает с открытыми глазами. И рентгенологу легче (одно дело делаем). Второй вопрос: где флюорограммы прошлых лет? И в большинстве случаев круг подозреваемых резко сократится.
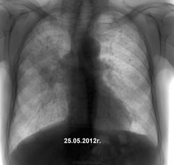
Первый, который с таким "эхинококком" в верхней доле справа, из-за которого исчезли передние отрезки рёбер и возник паралич правого диафрагмального нерва, явно опоздал к онкологу.
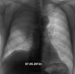
Второй, с фиброзной каверной за правым корнем и диссеминацией в верхних долях, несколько задержался к фтизиатру.
Первый, который с таким "эхинококком" в верхней доле справа, из-за которого исчезли передние отрезки рёбер и возник паралич правого диафрагмального нерва, явно опоздал к онкологу.
Второй, с фиброзной каверной за правым корнем и диссеминацией в верхних долях, несколько задержался к фтизиатру.
Или в интернете опять кто-то не прав?
с первым соглашусь имеет место объемный процесс, средостение смещено в противоположную сторону, атрофия передних отрезков ребер, правый корень явно расширен за счет л/у.
во втором случае мне видится инфильтрация "с распадом". Скорее пневмоническая, но дообследование ПТД показано.
Линеек не будет, аппаратура ни в п...(дугу), ни в Красную армию. Да и ремонтировать не кому. В связи с нищенским финансированием даже разорвали договор с обсл. организацией (да там и толковые ребята разбежались). Да я хоть помню, что нужно искать на линейках. А как учить молодых правильно мыслить?
Повторюсь, архива нет (не спорю, было бы интересней и легче). Первый бомжеватого вида, жалобы на кашель. Написал предположительно центральный рак в/дол. бронха с ателектазом доли, направил на КТ, консультацию онколога. Думаю не только на лечение, но и на КТ бабла не соберет. Второй - то ли дядя, то ли знакомый коллеги, живет в селе, то же без архива. Стажа в шахте не уточнил, но, хоть и видя очаговые изменения в легких, предположил опухоль в В3, направил на КТ. Тут пообещали результаты принести. Выложу.
Об ателектазах.Отклонение трахеи в противоположную сторону, стало быть характерный признак ателектаза, Петрович?
Нет, Григорий, конечно, не характерный. Ну, так его и нет здесь, отклонения трахеи (кроме как от давления дуги аорты), а есть поворот рентгенографируемого тела вокруг собственной оси с типическим смещением теней от рентгеноконтрастных объектов, видимых в передней проекции. Лично я ателектаза не предполагал. Однако, совершенным невероятием считаю вынашивание гражданином (даже и не шахтером) такой опухоли, которая в чистом виде занимает всю верхнюю долю без попыток на более раннем этапе поделиться своими ощущениями с доктором.
По-моему, они оба должны идти в одном направлении, у второго более выраженный силикоз, но консультация онколога обязательна. ФГ-будни-крайне коварная вещь, а КТ у Вас есть?
оба в ПТД
Вылегжанина Юлия
Первый к терапевту и фтизиатру, второй к онкологу
Первый слегка опоздал к онкологу, а второй к фтизиатру.
или второй слева
мне кажется наоборот. Если первый это слева.
Не ограничивайте свою мысль
Живешь пока учишься
Ecrasez l’infame
Второй - тот, который якобы с силикозом.
В первую очередь, и того, и того - к господину рентгенологу, на "линейку".
поставить бы сногсшибательные рентгенограммы, да так ,чтобы все участники набросились.Эдак человек 85, как сейчас на сайте.
где ж их возьмешь))
Не ограничивайте свою мысль
Живешь пока учишься
Ecrasez l’infame
А какой подземный стаж у шахтёра?
Соорудить линейку это не просто отдельное исследование – маленькое событие в жизни рентген отд., отдельный визит пациента с предварительным приглашением оного. А вот снять правую боковую (для полного счастья ещё и заднюю), любой добросовестный рентгенолаборант может. Если он работает с открытыми глазами. И рентгенологу легче (одно дело делаем). Второй вопрос: где флюорограммы прошлых лет? И в большинстве случаев круг подозреваемых резко сократится.
А то вон какой разнобой… и каждый в чем-то прав.
Неоднозначно всё
А слабо без линеек и боковых?
Первый, который с таким "эхинококком" в верхней доле справа, из-за которого исчезли передние отрезки рёбер и возник паралич правого диафрагмального нерва, явно опоздал к онкологу.
Второй, с фиброзной каверной за правым корнем и диссеминацией в верхних долях, несколько задержался к фтизиатру.
Или в интернете опять кто-то не прав?
Вы, стало быть, Гриша, в первом случае ателектаза не предполагаете?
А я во втором каверну не нахожу…
Но жаль верификации не будет, а без неё Лавровые венки не выдаются.
Неоднозначно всё
Отклонение трахеи в противоположную сторону, стало быть характерный признак ателектаза, Петрович?
Действительно жаль!
Возможно, уважаемый Игорь Иванович, поведает продолжение?
с первым соглашусь имеет место объемный процесс, средостение смещено в противоположную сторону, атрофия передних отрезков ребер, правый корень явно расширен за счет л/у.
во втором случае мне видится инфильтрация "с распадом". Скорее пневмоническая, но дообследование ПТД показано.
Не ограничивайте свою мысль
Живешь пока учишься
Ecrasez l’infame
Линеек не будет, аппаратура ни в п...(дугу), ни в Красную армию. Да и ремонтировать не кому. В связи с нищенским финансированием даже разорвали договор с обсл. организацией (да там и толковые ребята разбежались). Да я хоть помню, что нужно искать на линейках. А как учить молодых правильно мыслить?
Повторюсь, архива нет (не спорю, было бы интересней и легче). Первый бомжеватого вида, жалобы на кашель. Написал предположительно центральный рак в/дол. бронха с ателектазом доли, направил на КТ, консультацию онколога. Думаю не только на лечение, но и на КТ бабла не соберет. Второй - то ли дядя, то ли знакомый коллеги, живет в селе, то же без архива. Стажа в шахте не уточнил, но, хоть и видя очаговые изменения в легких, предположил опухоль в В3, направил на КТ. Тут пообещали результаты принести. Выложу.
Да, первый (левый) снимок, по отсутствию передних фрагментов ребер весьма напоминает снимок "нижний"..., стороны только разные.
мне кажется не похоже..
Не ограничивайте свою мысль
Живешь пока учишься
Ecrasez l’infame
Нет, Григорий, конечно, не характерный. Ну, так его и нет здесь, отклонения трахеи (кроме как от давления дуги аорты), а есть поворот рентгенографируемого тела вокруг собственной оси с типическим смещением теней от рентгеноконтрастных объектов, видимых в передней проекции. Лично я ателектаза не предполагал. Однако, совершенным невероятием считаю вынашивание гражданином (даже и не шахтером) такой опухоли, которая в чистом виде занимает всю верхнюю долю без попыток на более раннем этапе поделиться своими ощущениями с доктором.
Неоднозначно всё
Неоднозначно всё
to Петрович: люди "бомжеватого типа" особенный вид пациента.
Не ограничивайте свою мысль
Живешь пока учишься
Ecrasez l’infame
Да, они, как правило, безответственны: не любят участвовать в верификациях и вскрытия игнорируют).
Неоднозначно всё
Это второго, который шахтер с 20 летним стажем.
На первое место - силико-туберкулёз