Пол пациента:
Тип патологии:
Область исследования:
Методы исследования:
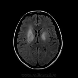
Здравствуйте уважаемые коллеги! Помогите пожалуйста разобраться. Пациентка 38лет, с 1999г. СКВ, гормозависимость, инвалид 3гр. На данный момент клинически атаксия, дизартирия, дисфагия, ригидность мышц туловища. На основании Мр картины моя коллега из частной МР-клиники сделал заключение: болезнь Вильсона-Конвалова. У меня возникли сомнения, т.к. нет подтверждающих лабораторных данных (церрулоплазмин в пределах нормы). Мы повторно выполнили МРТ головного мозга с контрастным усилением, картина анлогичная. В общем похоже на Вильсона-Коновалова (гепатолентикулярная дегенерация), но при БКВ в первую очередь поражаются хвостатое ядро и скорлупа, а в данном случае преимущественно внутрення капсула, а скорлупа практически не затронута.
- https://radiomed.ru/sites/default/files/styles/case_slider_image/public/user/16613/img-0003-00001.jpg?itok=Fcelqois
- https://radiomed.ru/sites/default/files/styles/case_slider_image/public/user/16613/img-0004-00001.jpg?itok=l9dimSek
- https://radiomed.ru/sites/default/files/styles/case_slider_image/public/user/16613/img-0005-00001.jpg?itok=je2dUkBR
- https://radiomed.ru/sites/default/files/styles/case_slider_image/public/user/16613/img-0006-00001.jpg?itok=PMxnf0Fu
- https://radiomed.ru/sites/default/files/styles/case_slider_image/public/user/16613/img-0007-00001.jpg?itok=g68-e0bT
- https://radiomed.ru/sites/default/files/styles/case_slider_image/public/user/16613/img-0008-00001.jpg?itok=U2loiwnO
- https://radiomed.ru/sites/default/files/styles/case_slider_image/public/user/16613/img-0009-00001.jpg?itok=1cS6pNA7
- https://radiomed.ru/sites/default/files/styles/case_slider_image/public/user/16613/img-0010-00001.jpg?itok=YO8UGfgE
- https://radiomed.ru/sites/default/files/styles/case_slider_image/public/user/16613/img-0012-00001.jpg?itok=aZ--bHd0
- https://radiomed.ru/sites/default/files/styles/case_slider_image/public/user/16613/img-0013-00001.jpg?itok=WczMnelR
- https://radiomed.ru/sites/default/files/styles/case_slider_image/public/user/16613/img-0014-00001.jpg?itok=AV-CnO71
- https://radiomed.ru/sites/default/files/styles/case_slider_image/public/user/16613/img-0015-00001.jpg?itok=PRTgql19
- https://radiomed.ru/sites/default/files/styles/case_slider_image/public/user/16613/img-0016-00001.jpg?itok=yMTgFcil
- https://radiomed.ru/sites/default/files/styles/case_slider_image/public/user/16613/img-0020-00001.jpg?itok=9TLEL_I0
- https://radiomed.ru/sites/default/files/styles/case_slider_image/public/user/16613/img-0021-00001.jpg?itok=N8woqRuw
- https://radiomed.ru/sites/default/files/styles/case_slider_image/public/user/16613/img-0022-00001.jpg?itok=kCil-PW5
- https://radiomed.ru/sites/default/files/styles/case_slider_image/public/user/16613/img-0023-00001.jpg?itok=MxkdCA8j
- https://radiomed.ru/sites/default/files/styles/case_slider_image/public/user/16613/img-0024-00001.jpg?itok=58d6u9cM
- https://radiomed.ru/sites/default/files/styles/case_slider_image/public/user/16613/img-0025-00001.jpg?itok=FFPf7J8h
- https://radiomed.ru/sites/default/files/styles/case_slider_image/public/user/16613/img-0026-00001.jpg?itok=jr8a8f-f
- https://radiomed.ru/sites/default/files/styles/case_slider_image/public/user/16613/img-0027-00001.jpg?itok=eWMRg_gw
- https://radiomed.ru/sites/default/files/styles/case_slider_image/public/user/16613/img-0028-00001.jpg?itok=n2jffMeT
- https://radiomed.ru/sites/default/files/styles/case_slider_image/public/user/16613/img-0029-00001.jpg?itok=LWTE_tQr
- https://radiomed.ru/sites/default/files/styles/case_slider_image/public/user/16613/img-0030-00001.jpg?itok=FSPcpynq
- https://radiomed.ru/sites/default/files/styles/case_slider_image/public/user/16613/img-0031-00001.jpg?itok=s5CrFkG8
- https://radiomed.ru/sites/default/files/styles/case_slider_image/public/user/16613/img-0032-00001.jpg?itok=VB7OUUiq
- https://radiomed.ru/sites/default/files/styles/case_slider_image/public/user/16613/img-0033-00001.jpg?itok=6shZTMl2
- https://radiomed.ru/sites/default/files/styles/case_slider_image/public/user/16613/img-0034-00001.jpg?itok=-ORRd6-0
ID:21737
Рад бы помочь, но без снимков затрудняюсь...
С уважением, С.Н. Нагорный
Помогите пожалуйста разобраться !!!!болезнь Вильсона-Коновалова???
Сергей Николаевич, со второго раза вроде получилось выложить...взгляните пожалуйста..очень интересно Ваше мнение...
Завтра утром с компа посмотрю, с телефона не хочет прогружать. А инвалид по какому заболеванию? Что было до настоящего времени в неврологическом статусе?
С уважением, С.Н. Нагорный
Цитата из истории болезни: "Диагноз: Системная красная волчанка хронического течения III степени активности: лихорадка, дерматит, суставной синдром, лимфоаденопатия, в анамнезе - миоперикардит, анемия". Со стороны неврологии жалоб не было до последней госпитализации. До этого было 5 госпитализаций в отделение ревматологии, инвалид по СКВ.
Большое спасибо!
Вот смотрю с компа...
Не складывается впечатление про Вильсона.
Поражение затрагивает, в большей степени, полуовальные центры и другое белое вещество. Так же затронут один бледный шар.
Такая картина часто наблюдается при осмотической демиелинизации. При СКВ бывает нарушение секреции антидиуретического гормона, можно эту тему попытаться развить.
С уважением, С.Н. Нагорный
Да , характерно для демиелинизации при СКВ, встречалось пару раз подобное, только в большей степени выраженности.
Огромное спасибо коллеги!!!!!
Сергей Николаевич , почему при СКВ и соответственно наличии участков демиелинизации скудная неврологическая симптоматика ? У нас девушка была - от белого вещества не осталось и следа , а клиника минимальна ..
Можете показать те томограммы? Не видя их судить сложно.
"На данный момент клинически атаксия, дизартирия, дисфагия, ригидность мышц туловища" - это ли скудная симптоматика? Я так не считаю.
С уважением, С.Н. Нагорный
а может Галлервордена-Шпатца?
и по Т1 подходит
-------------------------------------------------------------------------------------------------
Я получил счет от хирургов. Теперь мне понятно, почему эти парни работают в масках.
Нет к сожалению , показать изображения уже не могу
. Не совсем правильно выразилась , просто быть может не так выражен неврологический дефицит , чем при SD.
конечно отложение железа в скорлупе справа имеет место, но в данном случае на первое место выходит выраженное симметричное поражение полуовальных центров и внутренних капсул. я согласен с коллегами по поводу демиелинизации при СКВ.