Пол пациента:
Тип патологии:
Область исследования:
- https://radiomed.ru/sites/default/files/styles/case_slider_image/public/user/7898/dsc09767.jpg?itok=gx2G2s4u
- https://radiomed.ru/sites/default/files/styles/case_slider_image/public/user/7898/dsc09769.jpg?itok=TbRuvxS0
- https://radiomed.ru/sites/default/files/styles/case_slider_image/public/user/7898/dsc09777.jpg?itok=fpBt-tiU
- https://radiomed.ru/sites/default/files/styles/case_slider_image/public/user/7898/dsc09778.jpg?itok=oYLn6SKB
- https://radiomed.ru/sites/default/files/styles/case_slider_image/public/user/7898/dsc09780.jpg?itok=gGpy8XO3
ID:22064
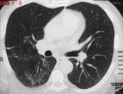
Работает машинистом в метрополитене. Мат.бытовые условия удовлетворительные. Считает себя здоровым. Ан. Крови, мочи – норма. МБТ(-) методом люминесцентной микроскопии в 3 - х пробах. Реакция на пробу Манту – 16 мм. В легкхих дыхание везикулярное. Хрипов нет. Имеются фрагменты рентгенологической документации (представлены) выполненные в амбулаторных условиях. Диагноз оставался неясным. Был направлен в другое учреждение для дообследования. Вчера узнал об окончательном диагнозе. Больной из - под наблюдения выбыл в другой район города. Хотелось бы услышать Ваше мнение о предварительном диагнозе по результатам представленных материалов. Дайкома точно нет. С уважением Nikolas
предположу гистиоцитоз
Не ограничивайте свою мысль
Живешь пока учишься
Ecrasez l’infame
Ещё предположение - протеиноз.
http://radiographics.rsna.org/content/30/6/1567/F11.expansion.html&usg=ALkJrhhwNlqfn5fFocmUSGT_awa3zIdEZA
"Предоставляя весь смысл и совершенство в распоряжение одного только Бога, вы избавляете себя от бездны хлопот." Джон Уитборн.
Тут тоже похоже (правда, без КТ). Но, в данном случае профанамнез - великое подспорье.
1)уплотнение по типу матового стекла,2)утолщение междольковых перегородок ,3)синдром очаговых теней (перилимфатически и центрилобулярно),4)утолщение стенок бронхов,5)единичные участки центрилобулярной эмфиземы,6)преимущественная локализация в в верхних долях (вероятнее всего лимфогенный путь распросранения),7)кистозная перестройка (отсутствие в них визуализации центрилобулярного комплекса).необоходимо исключить гранулематозы,в первую очередь 1)гистиоцитоз,2)туберкулез,3)саркаидоз.дальше 4)экзогенный аллегический альвеолит,5)вирусная пневмония .клинику в студию пожайлуста
клиника уже в студии
Не ограничивайте свою мысль
Живешь пока учишься
Ecrasez l’infame
Пневмокониоз (силикоз) легких, пневмония ...
Братец vevo, что то у Вас цвет лица неважнецкий на фото
Так и знал, надо было причесаться
+ за саркоидоз
Хочешь сделать что-то нормально - сделай это сам!
На КТ-граммах прямо Ветка сирени
Может быть II стадия саркоидоза…, хотя и не очень похожа.
Неоднозначно всё
+1 за саркоидоз.
У Любы плохих ссылок не бывает...
Саркоидоз?
Почему не похожа на саркоидоз II? Ваши доводы всегда интересны и полезны врачам сайта.
Корни как-то не эффектно выглядят…, в Любином примере — другое дело).
Неоднозначно всё
Так окончательный диагноз саркоидоз?
Пациент был обследован в ПТД. При бронхоскопии - норма. Диагноз туберкулеза был поставлен под сомнение и больной госпитализирован в пульмонологическое отделение. Однако через 1 месяц три пробы мокроты дали рост МБТ (чувствительные ко всем противотуберкулезным препаратам). Больного перевели в противотуберкулезный стационар, где также были выявлены МБТ методом посева. После лечения наблюдалась выраженная положительная динамика туберкулезного процесса (со слов коллеги). Попытаюсь найти больного и представить все материалы. Ошибочное заключение можно объяснить недостаточным знанием отличительных признаков подострого диссеминированного туберкулеза легких и диссеминированных процессов другой этилогии. КТ диагностика туберкулеза легких требует дальнейшего изучения целым коллективом исследователей, а не переписыванием зарубежных работ. Желаю всем удачи. Присылайте материалы с диссеминированным туберкулезом легких. С уважением Nikolas
Вы совершенно правы Уважаемый Коллега!
И, высказанное Вами, прежде всего касается врачебных коллективов ПТД. На мой взгляд, давно нужно искоренить "консультативную фразу" - "данных за активный процесс нет". Такие заключения частенько мы получаем из наших областных контор, становится непонятным написанное фтизиатром-консультантом высокого уровня, да и пациент "зависает" не понятно на чьём попечении.
Единственное, что человек делает всегда искренне, это — заблуждается.
Не ограничивайте свою мысль
Живешь пока учишься
Ecrasez l’infame
Да ладно. Нечего трагедию строить. Случай действительно сложный и неоднозначчный. Это видно из приведенных примеров, которые практически полностью идентичны по рентген и кт-картине.
Увы, в таких случаях, как правило, все решает время.
Вот и я говорил: НЕ очень похоже на II стадию саркоидоза. Корни как-то не эффектно выглядят.
В данном случае Ветка сирени = Дереву в почках)).
Между прочим, федя туберкулез назвал. В ряду из 5 нозологий. Картечью сыпанул по обыкновению. Попал)).
Однако, согласитесь коллега Nikolas, рентгеновская картина не типична и для подострого диссеминированного туберкулеза легких. Чистые верхушки уводят подозрения в сторону.
И диагноз был поставлен НЕ рентгенологами.
Неоднозначно всё
Это верно, что не рентгенологами. Федя молодец. Сразу выдвинул положение, что это гранулематоз. Владеет дифференциально-диагностическим перечнем заболеваний, которые дают сходную картину. И важно то, что федя поставил туберкулез на 2 место. Теперь наступает главное, а именно, обсуждение. Что упустили специалисты по КТ диагностике? Или все-таки нет существенных признаков туберкулеза. Мне бы очень хотелось прочитать доводы феди и других наших специалистов.
Nikolas, а что могли упустить специалисты по КТ? Вы же видели КТ сканы сами. То, что ребята работают на КТ богами их не делает. У нас вообще, какое-то предвзятое отношеник к КТ. Как к некому откровению, жирной точке, венцу всего. А на самом деле это не так. Мало того, что всегда присутствует человеческий фактор, так и возможности метода весьма и весьма ограничены, хотя и превосходят во много крат традиционную ренгенографию.
На Западе более разумное и взвешенное отношение к КТ. Во-первых, там к КТ относятся как к некому основному методу, во многом рутинному.в отдичии от нас где КТ - это штучный товар. И то что, на КТ что-то нашли, или наоборот, не нашли никого не останавливает. Там человека потом направляют на МРТ, а потом еще куда нибудь. Хотя бы ради подтверждения диагноза. И только потом делают выводы. А у нас если специалист по КТ сказал свое слово это сродни 10 заповедям.
Эта КТ-шизофрения достает немного в клинической практике. Направляешь человека по абсолютным показаниям на КТ и начинается целая феерия. А за чем,а это же дорого, а давайте сначала пролечим, а это облучение, а на рентгенограммах все итак видно итд. Вроде и разумные, опытные люди, а такую чушь мелят. Или наоборот, начинают терроризировать КТ заключением.
на Ваши посты будет много высказываний. Только бы эти высказывания не увели нас от главной темы, что иногда наблюдается.
Валентин Львович! Как, по Вашему мнению, надо правильно писать? Напишите.
Вопрос конечно не корректный, но вопрос к автору выставленного случая.
Как сам автор относится к "окончательному диагнозу", сомнения в диагнозе нет?
Ведь диагноз был поставлен, поставлен уверенно только после обнаружения МБТ?
Интересны также мнения коллег, что характерно, характерно, именно "туберкулёзного" было на рентгенограммах и на КТ.
------------------------------------------
Интересно..., вот иногда выраженная, очень хорошая (положительная) динамика после лечения (при таком двустороннем процессе) не смущает..., но это я так, ибо, сомнения остались
"Активный процесс" надо понимать пишут, когда находят МБТ каким либо методом, и по всей видимости, трёхкратно?
Собственно сбросив со счетов туберкулез, более подходящим по клинике и рг-картине посчитал то, о чем высказался.
Руководствовался этим -> http://www.slideshare.net/medumed/ss-8799719
и этим http://www.ifp.kiev.ua/doc/journals/upj/11/pdf11-3/59.pdf
Ошибся. Но может кому-то этот материал будет полезен.
Спс.
Не ограничивайте свою мысль
Живешь пока учишься
Ecrasez l’infame
В # 21 Вы пишите "На мой взгляд, давно нужно искоренить "консультативную фразу" - "данных за активный процесс нет". Вот , что я имел ввиду. Как следует писать фтизиатрам правильно? Почему так нельзя писать?
Уважаемый коллега!
Мы часто, так как выявление туберкулёза лежит на общелечебной сети, при выявлении "процесса", при прохождении профилактической флюорографии, дообследовав пациента, направляем его на консультацию к фтизиатру, фтизиатр "автоматом" направляет в областной ПТД. Вот, именно оттуда и приходит заключение - "данных за активный процесс нет" (палок не выявлено). Местный фтизиатр также не признает гражданина "своим", и пациент уходит в "свободное плавание" и "вылезет" в очередной раз на "флюшке"?
Почему опять на "флюшке".
Мне кажется вообще, извращением такая транскрипция, как активный и неактивный процесс, кто может провести "ту грань"..., и об этом свидетельствует представленный Вами случай.
Вот бы хорошо как раз посмотреть, какова динамика процесса после 8.04.2010
И убедиться, что эта диссеминация: а) туберкулёз, б) подострый.
Неоднозначно всё
Я думаю, как писать, фтизиатрам виднее. И, раз имеет быть активный и неактивный процесс, то тем и тем должны заниматься фтизиатры, а тактика фтизиатрическая должна быть не "от себя", а "на себя".
Дорогой Николай! Мне трудно с Вами вести полемику, трудно потому что испытываю к Вам уважение, очень трудно...
Но частенько, и это не отдельные (единичные) случаи, когда мы из областной конторы получали консультативное заключение - "данных за активный процесс нет", порой гражданин даже устраивался на работу, а через месяц, полтора срочно звонят из областной конторы..., бегом, бегом, найти, направить, представить..., там мол рост на средах...
А, гражданин работает, а нас посылает на три буквы, так как он "из конторы" ксиву-полис имеет - "данных за активный процесс нет"!
Cпециалисты по КТ диагностике упустили самое главное - реакцию Манту 16мм. При саркоидозе такой не бывает.
и для подострого диссеминированного туберкулеза легких"(см.#24). Поэтому и представил коллегам наблюдение , т.к. оно не совсем типичное. Для меня окончательный диагноз был неожиданным. Хотя часть наших врачей с самого начала и без всякого сомнения ставили диагноз ДТЛ до КТ-исследования. Переоценили данные клиники, лабораторных методов исследования и , конечно, заключения КТ. Наблюдение ещё раз доказывает разнообразие рентгеновских проявлений туберкулеза легких. Диссеминированный туберкулез не является исключением и не всегда проявляется так, как описано в традиционных руководствах. Сайт дает возможность врачам увидеть это многообразие. Хочу отметить, что это многообразие давно описано в медицинской литературе Советского периода.
Мне понравился пост #26. Из реальной нашей жизни. Я давно писал о подготовке молодых врачей по КТ, которые должны занять место докторов, воспитанных на классике. Этих уже не переучишь, даже если послать учиться в Европу ,Штаты или "вечернюю школу".
Динамику процесса посмотреть интересно, но будет это не так быстро, как нам всем хочется. Если найду материалы, представлю.
Проба Манту.
Измеряется только размер уплотнения. Покраснение вокруг уплотнения не является признаком иммунитета к туберкулезу или инфицированности, однако оно регистрируется, когда нет папулы.
Сама по себе положительная реакция Манту не является 100-процентным доказательством наличия туберкулеза. Однако есть моменты, которые свидетельствуют об опасности:
Реакция считается отрицательной при полном отсутствии инфильтрата (гиперемии) или при наличии уколочной реакции (0-1 мм); сомнительной - при инфильтрате (папула) размером 2-4 мм, при только гиперемии любого размера без инфильтрата; положительной - при наличии выраженного инфильтрата (папула) диаметром 5 мм и более. Слабо положительными считаются реакции с размером инфильтрата 5-9 мм в диаметре; средней интенсивности - 10-14 мм; выраженными - 15-16 мм (такая реакция указывает на то, что у человека есть иммунитет против туберкулеза).
Гиперергическими у детей и подростков считаются реакции с диаметром инфильтрата 17 мм и более, у взрослых - 21 мм и более, а также везикулонекротические реакции, независимо от размера инфильтрата, лимфангоит, дочерние отсевы, регионарный лимфаденит (она указывает на явное попадание больших количеств бактерий в организм и заражение туберкулезом. У здорового человека реакция может быть гиперергической, если он недавно перенес какое-либо инфекционное заболевание или имеет склонность к аллергическим реакциям).
Не ограничивайте свою мысль
Живешь пока учишься
Ecrasez l’infame
Не дело специалистов по КТ оценивать реакцию на пробу Манту. Вы правы и не правы. Правы , что клиницисты не оценили должным образом Манту. Не правы, что при саркоидозе такой реакции не бывает. Это действительно редкое явление. Но оно есть. После отпуска представлю на сайт собственное клиническое наблюдение на эту тему.. А Вы за это время поищте среди Ваших пациентов саркоидоз с положительными реакциями на пробу Манту. Мне давно очень хочется почитать Ваши клинические наблюдения по болезням органов дыхания. Уверен, что у такого квалифицированного специалиста как Вы, есть что показать врачам сайта. Очень жду. С уважением Nik.
Спасибо за оценку моей скромной персоны.
Мне хорошо известно, что при саркоидозе встречаются положительные пробы Манту. Примерно 7-8 мм. Но 16 - это уже слишком.
Разве это не есть противопоказание к пробе Манту?
Хочешь сделать что-то нормально - сделай это сам!
И для туберкулеза типично). Поставила на саркоидоз, не угадала. На гистиоцитоз не подумала б ни разу - нет полостей, вообще, никаких... В диф.диагноз бы вынесла тубпроцесс - непременно, как в любом другом варианте очагово-инфильтративных изменений, даже с непохожей картиной (эндемичный район по тубу). Надеюсь, материал окажется интересным. Спасибо за случай, Николас!
http://tb-hiv.ru/doc_pdf/tuber/rentgen-tb.pdf
Лекция Тюрина, более периферическое расположение, но тоже похоже):
Р.S. Впредь наука). Думаю, дело врача-рентгенолога в таких случаях- правильно ориентировать лечащего врача, направив в ПТД (оба заболевания, при всей разности и схожести, лечатся там).
"Предоставляя весь смысл и совершенство в распоряжение одного только Бога, вы избавляете себя от бездны хлопот." Джон Уитборн.
Из приказа Министерства Здравоохранения РФ "О СОВЕРШЕНСТВОВАНИИ ПРОТИВОТУБЕРКУЛЕЗНЫХ МЕРОПРИЯТИЙ В РОССИЙСКОЙ ФЕДЕРАЦИИ'1
от 21 марта 2005 е. N 109
Приложение N 4 к Приказу Минздрава России от 21 марта 2003 г. N109
ИНСТРУКЦИЯ ПО ПРИМЕНЕНИЮ ТУБЕРКУЛИНОВЫХ ПРОБ.
Противопоказания для постановки туберкулиновых проб с 2 ТЕ в период массовой туберкулинодиагностики:
кожные заболевания, острые и хронические инфекционные и соматические заболевания (в том числе эпилепсия) в период обострения;
аллергические состояния, ревматизм в острой и подострой фазах, бронхиальная астма, идиосинкразии с выраженными кожными проявлениями в период обострения.
С целью выявления противопоказаний врач (медицинская сестра) перед постановкой туберкулиновых проб проводит изучение медицинской документации, а также опрос и осмотр подвергаемых пробе лиц. Не допускается проведение пробы Манту в тех детских коллективах, где имеется карантин по детским инфекциям. Пробу Манту ставят через 1 месяц после исчезновения клинических симптомов или сразу после снятия карантина.
Профилактические прививки также могут влиять на чувствительность к туберкулину. Исходя из этого туберкулинодиагностику необходимо планировать до проведения профилактических прививок против различных инфекций (АКДС, кори и т.д.). В случаях, если по тем или иным причинам пробу Манту производят не до, а после проведения различных профилактических прививок, туберкулинодиагностика должна осуществляться не ранее чем через 1 месяц после прививки.
При интерпретации динамики чувствительности к туберкулину следует также учитывать, что на интенсивность реакций, на пробу Манту может влиять ряд факторов, определяющих общую реактивность организма: наличие соматической патологии, общая аллергическая настроенность организма, фаза овариального цикла у девушек, индивидуальный характер чувствительности кожи, сбалансированность питания ребенка и пр.
Выраженное воздействие на результаты массовой туберкулинодиагностики оказывают неблагоприятные экологические факторы: повышенный радиационный фон, наличие вредных выбросов химических производств и т.д. На результаты туберкулинодиагностики могут влиять различные нарушения в методике ее проведения: применение нестандартного и некачественного инструментария, погрешности в технике постановки и чтения результатов пробы Манту, нарушение режима транспортирования и хранения туберкулина.
Не ограничивайте свою мысль
Живешь пока учишься
Ecrasez l’infame
Толщина 3 мм слишком много! Надо было сделать реконструкции с меньшей толщиной среза. Тошда было бы видно "дерево-в-почках" хорошо; При саркоидозе оно практически никогда не встречается - там такие мелкие очажки сливаются в конгломераты но дерево-в-почках не дают. При наличии дерева-а-почках должен всегда первым делом подозреваться АКТИВНЫЙ воспалительный процесс. При поражении верхних долей (особенно 2-й сегмент) или 6 сегментов должен подозоеваться специфический процесс.
То есть : "дерево-в-почках"+"верхние доли" = исключать первым делом активный туберкулез. Если скопия мокроты не дает результато а надо решить срочно и ждать времени нету - то за рубежом часто делают ФБС с ПЦР промывных вод бронхов (селективно берут ихз наиболее пораженной зоын). Это позволяет исключить и опухоль. (ведь бронхиолит может давать и опухолевый процесс, и другие гранулематозы и тд).
Лимфоузлов кстати тоже увеличенных явно не видно. Конечно такое можно встретить при 3-й стадии саркоидоза, но если честно из всех саркоидохов что я видел ОЧЕНЬ небольшое их количество было без увеличенных лимфоузлов. В основном при такой картине как выше всегда имееются увеличенные корневые и правая паратрахеальная группа (в разной степени конечно). КРомсе того нету более характероного дял туберкулеза сбплеврального поражения (по ходу междолевой плевыр например и по ходу костальнйо плеверы)
Кончено мне легко писать ретроспективно зная диагноз. Но все таки решил написать. В плане диф/ диагноза саркоидоза КТ ОЧЕНЬ специфично и в данном случае картина конечно визуально похожа на саркоидоз, но только в связи с тем что предоставлены КТ-томограммы недостаточного качество, не позволяющие четко отдифференцировать перилимфатическое распредления очагов при саркоидозе (без дерева в почках) и типично бронхогенное распространение (с наличием "дерева-в-почках")
Пусть не вводит в заблуждение "матовое стекло". То что первично обычно принимается за матовое стекло на 3мм срезах - является эффектом усреднения за счет множественных мельчайших (1-2 мм) очажков.
Вообщим, при подозрении на саркоидоз или другой диссеменироаный процесс толщина среза в 3 мм - СЛИШКОМ БОЛЬШАЯ! Хотите более достоврено оценить характер распределения очагов - делайте по 0.5 или 1 мм). Большинство современных спиральных томографов так и снимает. А потом все реконструируется в 2.5 мм или выше для снижения шума и удобства хранения. Но все равно при наличии мелких очажков надо просматривать сканы с минимальной толщиной среза для установления взаимоотношенря очагов по отношению к вторичной дольке.
Кстати еще один совет - не используйте только режим LUNG (легочный режим) - для просмотра легких (не для данного случая - тут используется обычный кернель)! Я заметил что часто в других учреждениях реконструируют только в этом режиме. Это не правильно. То что он называется легочным - это еще не знгачит что просматривать надо только в нем. Там используется жесткий кернель конволюции, который может запутать. То есть этот режим полезен - но он играет дополнительную роль. Первично все должно оцениваться при стандартном кернеле конволюции.
И еще. Писать активночть процесса на мой взгляд КТ-шники как раз должны, когда видят "дерево-в-почках" и/или полости десрукции. При этом может и не быть получен материал в мокроте. Но это не повод ставить неактивность процесса при наличии таких изменений на КТ. У меня сколько случаев было - когда я пишу им активный (по кт) и отправаляю в диспансер. Там МБТ не получают и отправляют обратно. А потом все таки получается МБТ. Если бы делали ФБС - то думаю получали бы. Кончено активный процесс может быть и без наличия дерева в почках или полостей деструкции, но эти критерии являются основными критериями по КТ для устнаовлении активности процесса.
Посмотрел статью http://tb-hiv.ru/doc_pdf/tuber/rentgen-tb.pdf
То что на томограммах в статье - совсем не напоиминате интерстициальный варинат (вообще что за термин такой? если подразумевается ретикулярные изменения - в виде утолщения интерстиция - то на приведенных томограмах он не так уж и выражен - ну, возможно утолщен втуридольковый интерстиций - но рассмотреть довольно сложно) Видны множесвтенные очажки. Причем распространение их явно бронхогенное. Если думать о лимфогенном распространении, то должно быть перилимфатическое распределение, очажки по интерстицию, очаги СУБПЛЕВРАЛЬНО! А их тут нету. Зато мы явно видим "дерево-в-почках". И его тут извните за выражеие "до фига". То что принято за "интерстициальный компонент" - есть визуализирующиеся мелкие бронхи забитые пат. содержимым.
И вообще, читая статью понимаю что все как то уж очень сложно: очаговый, инфильтратинвый, подострый диссеменирванный, острый, хрончиеский, интерстициальынй варинат и тд. и т.п. Возможно это имеет значение в образовательном и научном плане, но в диагностическом, на мой взгляд, мало применимо. Есть туберкулез. Первичный и вторичный. Есть активный и неактивный. Все. По рентгенологическим коитериям + лаборатория + клиника мы и должны установить активность процесса и назначить адекватное лечение.
"Наиболее высокими статистическими показателями в подтверждении активности обладало сочетание следующих признаков:
-внутридольковые узелки, консолидация легочной ткани,
-матовое стекло вокруг зон консолидации или узелков,
-«дерево в почках»,
-деструкция в узелках или в участках консолидации,
-утолщение стенок бронхов.
Данные признаки с большей чувствительностью выявляются при КТВР, а не при традиционном РКТ толстыми срезами, что так же было показано в нашем исследовании. Следовательно, очевидна необходимость выполнения КТВР при проведении РКТ у пациентов с туберкулезным воспалением для оценки активности патологического процесса."
http://vestnik.rncrr.ru/vestnik/v6/papers/arelna_v6.htm#Выводы
"Предоставляя весь смысл и совершенство в распоряжение одного только Бога, вы избавляете себя от бездны хлопот." Джон Уитборн.
Вы правы Петрович!
Жизнь, на Радиомеде, показала, что порой "сюрпризы" бывают, бывают самые неожиданные.
верифицирована. Проверьте себя. Ответ сегодня после 22 час.
Это после лечения.
в период первичного обследования. Дерзайте дорогие коллеги!