You are here

Болезнь Маделунга

Пол пациента: 
Тип патологии: 
Область исследования: 
Методы исследования: 

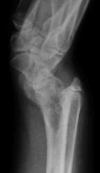
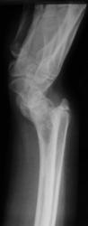
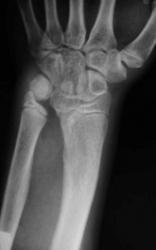
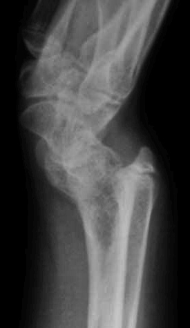
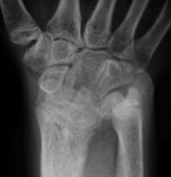
Девочка 14 лет. Ранее за помощью не обращались. Только в этом возрасте родителей и саму пациентку начала беспокоить деформация предплечий.

2.JPG
2.JPG
1.JPG
1.JPG

 

 

 

 

 

 

 

 

 

 

 

 

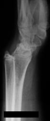
Обработанные изображения.

1.VEGA_.jpg
1.VEGA_.jpg
2.VEGA_.jpg
2.VEGA_.jpg
3.VEGA_.jpg
3.VEGA_.jpg
4.VEGA_.JPG
4.VEGA_.JPG

 

 

 

 

 

 

 

 

 

 

 

 

5.VEGA_.jpg
5.VEGA_.jpg
6.Vega_..jpg
6.Vega_..jpg
AttachmentSize
Image icon 2.JPG44.98 KB
Image icon 1.JPG40.02 KB
Image icon 1.VEGA_.jpg58.25 KB
Image icon 2.VEGA_.jpg65.88 KB
Image icon 3.VEGA_.jpg47.24 KB
Image icon 4.VEGA_.JPG37.1 KB
Image icon 5.VEGA_.jpg46.62 KB
Image icon 6.Vega_..jpg46.04 KB
Катенёв Валентин Львович's picture
Offline
Last seen: 7 years 1 month ago
Joined: 22.03.2008 - 22:15
Posts: 54876

Спасибо Vega за интересный случай.

Возможно, Ola-la исправит или поправит — буду заранее признателен.

Рентгенологическая классика для болезни Маделунга:

  1. Укорочение лучевой кости.

  2. «Скошенность» суставной поверхности дистального эпифиза лучевой кости в ладонную и локтевую сторону, что «симулирует» визуально подвывих костей запястья.

  3. «Нависание» полулунной кости над ладонным краем дистального эпифиза лучевой кости.

  4. Высота дистального эпифиза по лучевой стороне превосходит его высоту по локтевой стороне.

  5. В результате раннего закрытия ростковой зоны по локтевой и ладонной стороне, формируется ладонный и локтевой наклон суставной поверхности.

  6. Деформация и изменение расположения проксимального ряда костей запястья, по форме, напоминающей «клин», вершиной которого является полулунная кость.

  7. Головка локтевой кости находится в положении «вывиха» и смещена в «тыльном» направлении, по отношению к лучезапястному суставу.

Наталия's picture
Offline
Last seen: 8 years 8 months ago
Joined: 30.07.2008 - 13:24
Posts: 538

А как часто встречается такое патологическое состояние?

Анастасия21's picture
Offline
Last seen: 15 years 10 months ago
Joined: 22.01.2010 - 18:55
Posts: 2

Скажите, при таких деформациях какова степень нарушения функций рук? Инвалидность этому человеку показана?

Анастасия21's picture
Offline
Last seen: 15 years 10 months ago
Joined: 22.01.2010 - 18:55
Posts: 2

Скажите, при таких деформациях какова степень нарушения функций рук? Инвалидность этому человеку показана?

Vega's picture
Offline
Last seen: 1 month 4 days ago
Joined: 22.01.2009 - 19:16
Posts: 1087

Всё зависит как раз от степени нарушения функции конечностей, что, в свою очередь, зависит от степени выраженности заболевания. В случаях выраженной деформации инвалидность показана.

Ахтямова Алина's picture
Offline
Last seen: 14 years 4 months ago
Joined: 03.06.2010 - 18:56
Posts: 1

У меня такая же болезнь, скажите пожалуйста какова вероятность что операция будет неудачной?

Vega's picture
Offline
Last seen: 1 month 4 days ago
Joined: 22.01.2009 - 19:16
Posts: 1087

Точную вероятность рецидива после операции Вам никто не скажет. Человеческий организм - это не машина. Но, как показывает практика, если операцию выполняет опытный ортопед, рецидивы или недостаточное исправление деформации довольно редки