Похоже на внутригрудной зоб. Нельзя допускать к описанию подобные обрезанные снимки (по боковой проекции - диафрагмально-междолевой осумкованный плеврит с преимущественным осумкованием в области переднего реберно-диафрагмального синуса или организующаяся шварта )
Загрудинный и внутригрудной зоб принято выделять в отдельную группу заболеваний щитовидной железы в связи с особенностями анатомического расположения патологически измененного органа.
Загрудинный зоб подразумевает под собой такое расположение щитовидной железы, при котором нижние полюсы долей расположены ретростернально, но в ряде случаев выводятся на шею при пальпации в момент глотания ("ныряющий" зоб).
В случае внутригрудного зоба вся измененная щитовидная железа расположена в средостении.
В силу особенностей локализации загрудинного и внутригрудного зоба диагностика данного заболевания затруднена. На этапе доклинического (неосложненного) течения, зоб является, как правило, случайной находкой при проведении УЗИ шеи и рентгенологическом исследовании органов грудной клетки.
При достижении зобом большого объема возникает компрессионный синдром, включающий в себя сдавление трахеи и пищевода, а также крупных сосудов и сердца.
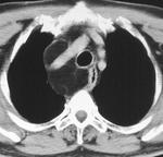
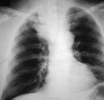
Рис.Слева - обзорная рентгенограмма органов грудной клетки пациента с внутригрудным зобом, по центру - компьтерная томограмма этого же пациента (стрелками указан внутригрудной зоб), справа - сцинтиграфия щитовидной железы у пациента с загрудинным зобом (желтой стрелкой указан холодный загрудинный узел, красной - горячий узел в верхнем полюсе правой доли щитовидной железы)
С целью верификации диагноза используют УЗИ с пункционной биопсией, сцинтиграфию щитовидной железы, мультиспиральную компьютерную томографию.
Учитывая риск озлокачествления и развития компрессионного синдрома, загрудинный и внутригрудной зоб, является абсолютным показанием для оперативного лечения.
Дифряд сужается по мере детального рассмотрения снимков, также не помешает линейка! А так - объемное образование верхнего этажа центрального средостения.
думаю внутригрудной зоб (бокаловидное расширение верхнего средостения справа за счет об'емного образования с четкими контурами, распространяющееся от заднего к переднему средостению,смещение трахеи;отсутствие признаков поражения лимф узлов)
Да ладно, и чего такого может быть в пищеводе, чтобы трахею отклоняло? У меня недавно дяденька был с идентичной картиной - загрудинный зоб. Насчет центрального - имхо не похоже, контур четкий, нет "волосатости" контура.
Кошечка, представьте себя западным рентгенологом))) Там коллеги говорят радиолог только с картинками работают без привязки к пациенту и анамнезу, чтобы разум не замутнять побочной информацией..
Внутригрудной зоб как вариант. Тыкать иглами в трахею).
"Предоставляя весь смысл и совершенство в распоряжение одного только Бога, вы избавляете себя от бездны хлопот." Джон Уитборн.
Похоже на внутригрудной зоб. Нельзя допускать к описанию подобные обрезанные снимки (по боковой проекции - диафрагмально-междолевой осумкованный плеврит с преимущественным осумкованием в области переднего реберно-диафрагмального синуса или организующаяся шварта )
http://www.mma.ru/clinicalcenter/clinics/burd/dep/surg2/thirdis/zagrzob?print=1
Загрудинный и внутригрудной зоб принято выделять в отдельную группу заболеваний щитовидной железы в связи с особенностями анатомического расположения патологически измененного органа.
Загрудинный зоб подразумевает под собой такое расположение щитовидной железы, при котором нижние полюсы долей расположены ретростернально, но в ряде случаев выводятся на шею при пальпации в момент глотания ("ныряющий" зоб).
В случае внутригрудного зоба вся измененная щитовидная железа расположена в средостении.
В силу особенностей локализации загрудинного и внутригрудного зоба диагностика данного заболевания затруднена. На этапе доклинического (неосложненного) течения, зоб является, как правило, случайной находкой при проведении УЗИ шеи и рентгенологическом исследовании органов грудной клетки.
При достижении зобом большого объема возникает компрессионный синдром, включающий в себя сдавление трахеи и пищевода, а также крупных сосудов и сердца.
Рис.Слева - обзорная рентгенограмма органов грудной клетки пациента с внутригрудным зобом, по центру - компьтерная томограмма этого же пациента (стрелками указан внутригрудной зоб), справа - сцинтиграфия щитовидной железы у пациента с загрудинным зобом (желтой стрелкой указан холодный загрудинный узел, красной - горячий узел в верхнем полюсе правой доли щитовидной железы)
С целью верификации диагноза используют УЗИ с пункционной биопсией, сцинтиграфию щитовидной железы, мультиспиральную компьютерную томографию.
Учитывая риск озлокачествления и развития компрессионного синдрома, загрудинный и внутригрудной зоб, является абсолютным показанием для оперативного лечения.
Не ограничивайте свою мысль
Живешь пока учишься
Ecrasez l’infame
Больше склоняюсь к загрудинному зобу.
Болезни ног: виды, симптомы, причины, профилактика и лечение
Центральный не хотите ли???
А такие данные как анамнез и клиника, я должна интуитивно себе нарисовать???
(c) У насекомых, размазанных по стеклам фар,
Нет выбора, а у тебя есть этот дар
Или проклятие, как хочешь назови
То, что кипит и дышит у тебя в груди
Дифряд сужается по мере детального рассмотрения снимков, также не помешает линейка! А так - объемное образование верхнего этажа центрального средостения.
The time has come, the rules have changed...
В боковой проекции трахея на уровне тени образования выпячивается вперед. Может большой дивертикул пищевода с неким содержимым?
Может оказаться всем, чем угодно. Характерно для тимом, при увеличенной щитовидной железе. Один раз ,на практике, встретилась лимфома.
я за ретротрахеальный зоб
думаю внутригрудной зоб (бокаловидное расширение верхнего средостения справа за счет об'емного образования с четкими контурами, распространяющееся от заднего к переднему средостению,смещение трахеи;отсутствие признаков поражения лимф узлов)
И.Бондаренко: " Может оказаться всем, чем угодно".
+ 1
Липома средостения.
Болезнь Кастлемана.
Второй вариант- лейомиома пищевода.
Думается начал бы с бария... На зоб? нетипично расположен, слишком уж дорзально.
Виктор.
Может с контрастом сделать и всё станет ясно?
Да ладно, и чего такого может быть в пищеводе, чтобы трахею отклоняло? У меня недавно дяденька был с идентичной картиной - загрудинный зоб. Насчет центрального - имхо не похоже, контур четкий, нет "волосатости" контура.
Кошечка, представьте себя западным рентгенологом))) Там коллеги говорят радиолог только с картинками работают без привязки к пациенту и анамнезу, чтобы разум не замутнять побочной информацией..
Я все таки не склонен считать себя фотографом). Пускай, они на западе еще и не такое вытворяют.
Не ограничивайте свою мысль
Живешь пока учишься
Ecrasez l’infame
Мне тоже не нравится такой подход, просто пушистая кошечка очень уж возмутилась отсутствием анамнеза и клинической картины)))
Интерсно, а сколько контуров имеет эта "тенюха"?
кошечки негодуэ....))
Не ограничивайте свою мысль
Живешь пока учишься
Ecrasez l’infame