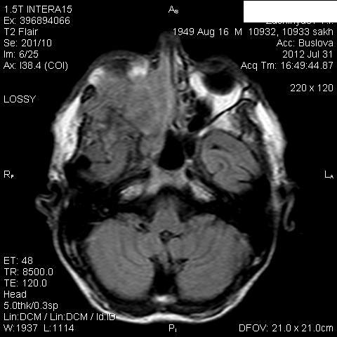
Мужчина лечился около месяца от правостороннего гайморита.Неоднократно пунктировали.Выписался из стационара, через 3 дня попал к другому ЛОР-врачу, который направил пациента на КТ, но волею судеб он оказался у нас.Визуально: незначительный экзофтальм справа, отек скуловой области, который периодически исчезает.Пыталась добыть его рентгеновский снимок пазух через знакомого отоларинголога, вхожего в лечебное учреждение, где лечился пациент-бесперспективно ( просто исчез, со слов лечащего врача-обычный правосторонний гайморит), хотя просила всего-то для себя, чтобы самой в такую ситуацию не попасть.
В заключение выставила объем.
постконтраст
- https://radiomed.ru/sites/default/files/styles/case_slider_image/public/user/5662/nos2.jpg?itok=nc6MZajA
- https://radiomed.ru/sites/default/files/styles/case_slider_image/public/user/5662/nos3.jpg?itok=92miPbbE
- https://radiomed.ru/sites/default/files/styles/case_slider_image/public/user/5662/nos4.jpg?itok=AWETf3ef
- https://radiomed.ru/sites/default/files/styles/case_slider_image/public/user/5662/nos5.jpg?itok=BeV-f6ef
- https://radiomed.ru/sites/default/files/styles/case_slider_image/public/user/5662/nos6.jpg?itok=w3M3lrfc
- https://radiomed.ru/sites/default/files/styles/case_slider_image/public/user/5662/nos7.jpg?itok=mmrjYgv9
- https://radiomed.ru/sites/default/files/styles/case_slider_image/public/user/5662/nos8.jpg?itok=WP5v_hqr
- https://radiomed.ru/sites/default/files/styles/case_slider_image/public/user/5662/nos9.jpg?itok=rSdPmVwQ
- https://radiomed.ru/sites/default/files/styles/case_slider_image/public/user/5662/nos10.jpg?itok=sTsS9ALn
- https://radiomed.ru/sites/default/files/styles/case_slider_image/public/user/5662/nos11.jpg?itok=hJb_OgBd
- https://radiomed.ru/sites/default/files/styles/case_slider_image/public/user/5662/nos12.jpg?itok=nrjPYiYz
- https://radiomed.ru/sites/default/files/styles/case_slider_image/public/user/5662/nos13.jpg?itok=amA163dN
- https://radiomed.ru/sites/default/files/styles/case_slider_image/public/user/5662/nos14.jpg?itok=teMTR6em
ID:49654
Это называется ЛОРики приплыли. Интересен состав пунктата, или он у них со снимком пропал? :D Может правда они налечили?
The time has come, the rules have changed...
Спасибо, коллега.В составе пунктата -протей вульгарный, серозное содержимое -это все, что вычитала в выписке.
А, по поводу "объёма" какие мысли?
Где-то в душе грелась мысль о нагноившейся гематоме, пока не показала исследование нашему отоларингологу, который пытался помочь в поиске рентгенограммы.
Не похоже?
Нашла похожее образование в книге Г.Труфанова как плоскоклеточный рак.
The time has come, the rules have changed...
Пока не за что-случай не верифицирован.Это только мои предположения.Не факт, что узнаю результат биопсии.
Спасибо за наблюдение! Краси-и-и-во!
(c) У насекомых, размазанных по стеклам фар,
Нет выбора, а у тебя есть этот дар
Или проклятие, как хочешь назови
То, что кипит и дышит у тебя в груди
Вот буквально две недели назад у нас был почти аналогичный пациент , он тоже длительно ходил по врачам и лечился прогреваниями от стреляющих в висок болей. Пришел на МРТ случайно -отправила к ЛОР и челюстно-лицевым хирургам. Думаю и здесь есть озлокачествление хронического процесса. Трудно сказать есть ли деструкция медиальной стенки пазухи , деформация точно есть.
Давайте вместе Ваш случай посмотрим,Светлана!
хотела показать, не могу найти в архиве (((
извиняюсь за качество (0.2 T), контрастирование не проводилось.
почему то данные пациента не удалились , Sorry .....
Все, удалила ненужное.
Спасибо, Светлана, похож на наш.