Оффтоп По размерам пазух... Однажды я был наставником стажёра. Она смотрела голову на МРТ, пролистывает сверху вниз аксиалы медленно так. Я гоорю: "как думаешь, что мы сейчс в гипофизе увидим?". В принципе наудачу сказал, могла быть и микроаденома совсем маленькая, но оказлась действительно аденома диаметром миллиметров семь:) Она была поражена.
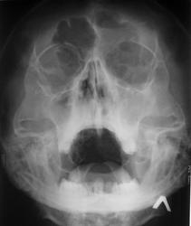
да, признаки пансинуита, но надо обратить внимание на правый сосцевидный отросток, создаётся впечатление, что он частично завуалирован,рекомендовано КТ и укладку по Шуллеру.
Если до работы вы ещё заглядываетесь на женщин, а после работы - уже нет, то работа вас полностью удовлетворяет.
да, признаки пансинуита, но надо обратить внимание на правый сосцевидный отросток, создаётся впечатление, что он частично завуалирован,рекомендовано КТ и укладку по Шуллеру.
Полисинусит. И что то правая лобная пазуха таких больших размеров.....
А левая еще больше.
И с уровнем
Рентгенпризнаки двустороннего гайморита, левостороннего фронтита.
Вот кстати...о размерах пазух. Тут у меня один случай завалялся....так там еще и не такое видно...зацените.
А по случаю - пансинуит, тут глаза болеть могут.....
Болезни ног: виды, симптомы, причины, профилактика и лечение
Да уж, с такими резонаторами только в опере петь
Оффтоп По размерам пазух... Однажды я был наставником стажёра. Она смотрела голову на МРТ, пролистывает сверху вниз аксиалы медленно так. Я гоорю: "как думаешь, что мы сейчс в гипофизе увидим?". В принципе наудачу сказал, могла быть и микроаденома совсем маленькая, но оказлась действительно аденома диаметром миллиметров семь:) Она была поражена.
да, признаки пансинуита, но надо обратить внимание на правый сосцевидный отросток, создаётся впечатление, что он частично завуалирован,рекомендовано КТ и укладку по Шуллеру.
Если до работы вы ещё заглядываетесь на женщин, а после работы - уже нет, то работа вас полностью удовлетворяет.
Круто!