You are here

Что это? Помогите разобраться!

Пол пациента: 
Тип патологии: 
Область исследования: 
Методы исследования: 

Изображение Изображение Изображение Изображение Изображение Изображение

После внутривенного контрастирования:

Изображение Изображение

 

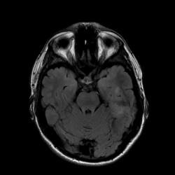
Коллеги! Пожалуйста, помогите разобраться. Пациент 15 лет. Внезапно на фоне полного благополучия - единичный эпилептоподобный припадок. Травмы в последние несколько лет отрицает, однако со слов, была ЧМТ в раннем детстве. Занимается спортом и "вроде бы" когда-то были мелкие спортивные травмы (падения).

Я считаю, что это очаг ушиба головного мозга, однако под анамнез это не совсем подходит. Пожалуйста, ваши мнения.

irena's picture
Offline
Last seen: 9 years 7 months ago
Joined: 28.09.2009 - 13:00
Posts: 289

 утолщение коры левой    гиппокампальной области , деформация  борозд , повышение МРС по Т2 и FLAIR  , может это мальформацию кортикального развития- фокальная кортикальная  дисплазия -изменение коркового серого вещества с нарушением архитектоники коры.

Евгений Магонов's picture
Offline
Last seen: 8 months 4 days ago
Joined: 07.03.2008 - 15:28
Posts: 1268

Спасибо, Irena!

Остановились на этом варианте.

Добрый админ