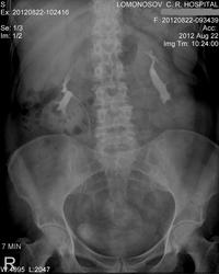
Пациентка с хроническим пиелонефритом при поступлении после узи МКБ ( частично окклюзирующий камень левого мочеточника?) на снимках у меня вызывают вопросы лоханки, да и чашечки тоже... положение справа, размер левой почки...одни сплошные сомнения помогите советом, пожалуйста.
Размер левой почки представляется обычным, просто на ее тень наложилась тень кишечника. Нефроптоз по анатомическим границам есть, но не катастрофа. Что же касается полостной системы слева-по УЗИ нет никакой большой кисты, что может так оттеснять и чашечки и шейки?
Очень похоже на неполный поворот левой почки. Согласно Пытелю, лоханки в норме расположены на уровне L3. Кроме того, нефроптоз при смещении почек на высоту одного позвонка (согласно Пытелю), а по военному приказу - на два позвонка.
Справа отшнурована верхняя чашечка - синдром Фролея (добавочный верхнеполярный сосуд). Может иногда давать микрогематурию. Нефроптоз 1ст.
Слева - почка ротирована, мочеточник отходит от передней поверхности лоханки. В положении стоя в лоханочно-мочеточниковом сегменте определяется перетяжка, обусловленная, вероятнее всего, добавочным нижнеполярным сосудом. Это может привести к пиелоэктазии. Думаю, если б пациентка постояла еще минут 10, а потом сделать снимок, то пиелоэктазия была б более выраженная. Камней в мочеточнике, скорее всего, нет. Они контрастируются цистоидами, т.е. перистальтика их никак не нарушена. Даже небольшой рентгенонегативный камень дал бы косвенные симптомы нарушения пассажа мочи.
Левая почка представляется увеличенной, но размеры надо померить. ЧЛС деформирована… ригидность какая-то. Множеств. кисты? Подумалось о туберкулёзе. Томография на универсальном телеуправляемом штативе с цифровым детектором – простая ведь процедура. Надо было сделать. Возможно, и камень нашёлся бы. Нефроптоз несущественный.
Кисты почек хорошо видны на УЗИ, поэтому томографировать нет смысла. А вот камень в нерасширенном мочеточнике при ультразвуковом исследовании увидеть практически невозможно (за исключением устья), поэтому заключение врача УЗД вызывают сомнения.
нефроптоз. больше ничего не увидел. камень может быть негативным. Натив делался?
P.S. C плохой подготовкой лучше не брать, если очень нужны контуры почек, мы делам томограммы.
Не ограничивайте свою мысль
Живешь пока учишься
Ecrasez l’infame
Я ни разу не видела нефроптоз, но полагаю, это он. + почки недоповернуты, поэтому, наверное, можно дистопию написать.
Размер левой почки представляется обычным, просто на ее тень наложилась тень кишечника. Нефроптоз по анатомическим границам есть, но не катастрофа. Что же касается полостной системы слева-по УЗИ нет никакой большой кисты, что может так оттеснять и чашечки и шейки?
Очень похоже на неполный поворот левой почки. Согласно Пытелю, лоханки в норме расположены на уровне L3. Кроме того, нефроптоз при смещении почек на высоту одного позвонка (согласно Пытелю), а по военному приказу - на два позвонка.
Справа отшнурована верхняя чашечка - синдром Фролея (добавочный верхнеполярный сосуд). Может иногда давать микрогематурию. Нефроптоз 1ст.
Слева - почка ротирована, мочеточник отходит от передней поверхности лоханки. В положении стоя в лоханочно-мочеточниковом сегменте определяется перетяжка, обусловленная, вероятнее всего, добавочным нижнеполярным сосудом. Это может привести к пиелоэктазии. Думаю, если б пациентка постояла еще минут 10, а потом сделать снимок, то пиелоэктазия была б более выраженная. Камней в мочеточнике, скорее всего, нет. Они контрастируются цистоидами, т.е. перистальтика их никак не нарушена. Даже небольшой рентгенонегативный камень дал бы косвенные симптомы нарушения пассажа мочи.
Левая почка представляется увеличенной, но размеры надо померить. ЧЛС деформирована… ригидность какая-то. Множеств. кисты? Подумалось о туберкулёзе. Томография на универсальном телеуправляемом штативе с цифровым детектором – простая ведь процедура. Надо было сделать. Возможно, и камень нашёлся бы. Нефроптоз несущественный.
Неоднозначно всё
Кисты почек хорошо видны на УЗИ, поэтому томографировать нет смысла. А вот камень в нерасширенном мочеточнике при ультразвуковом исследовании увидеть практически невозможно (за исключением устья), поэтому заключение врача УЗД вызывают сомнения.