У нас, во флюорографическом кабинете, давно заведен "модус", что если лаборант просле производства профилактической цифровой флюорограммы заметил "что-то", что не укладывается в "рамки нормы" его представлений (лаборанта), то он сразу, "прызывает" врача-рентгенолога. Эта практика в ряде случаев приносит определенные плоды.
Сегодня, рентген-лаборант с флюорографа, после производства флюорограммы молодому человеку призвала врача-рентгенолога.
Врач-рентгенолог, посмотрев флюорограмму, безусловно "тет-а-тет" задал молодому человеку вопрос о том, когда он "был снят с учета". Молодой человек весьма раздраженно поинтересовался "о каком учете" идет речь. Оказывается, гражданин ни на каком учете не состоял, а самое гланое "Его Величеством туберкулёзом" не болел.
В принципе, зная данный контингент, которому не сильно надо доверять, позвонил в туб. кабинет и поинтересовался у коллеге фтизиатра по поводу "Кренделя Ивановича". Оказывается, данный гражданин не известен туб службе. Но с учетом того, что мы уже в течение нескольких лет работаем с фтизиатром в "тесном контакте", коллега подошел в рентгеновский кабинет, и мы в двоем стали "колоть", с нашей точки зрения молодого "старого тубаря".
Смущало то, что в нашем архиве - это была первая флюорограмма. Нам удалось выяснить, что в прошлом году "молодой человек" проходил влюорографию в соседнем районе...для того, чтобы забрать жену из родильного дома...
Продолжаем "колоть" пациента, выражаем недоверие, что ему без заключения флюорогафии "выдали ребенка". На что получаем ответ, что у него ничего не было обнаружено, у него норма, он предъявил "квиток" и жену с ребенком увёз.
С учетом того, что "клиент" на нашей территории - новичок, решили произвести томографию.
Ваше мнение уважаемые коллеги?
| Attachment | Size |
|---|---|
| 81.45 KB | |
| 77.51 KB | |
| 65.19 KB | |
| 73.83 KB | |
| 71.09 KB | |
| 56.79 KB | |
| 78.16 KB | |
| 69.27 KB | |
| 46.86 KB |
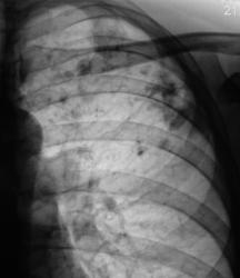
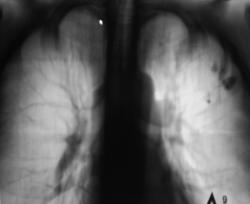
туберкулёз левой верхнеё доли. Вопрос только какая стадия?
Прийди к Себе
1. Где архив
2. Клиника
3. А так с такой картиной если клиника то похоже на обострение, а без клиники остаточные очагово фиброзные.
Виктор.
1. "Смущало то, что в нашем архиве - это была первая флюорограмма. Нам удалось выяснить, что в прошлом году "молодой человек" проходил флюорографию в соседнем районе...для того, чтобы забрать жену из родильного дома..."
2. До того, "как", гражданин находился в "местах не столь отдаленных". Но там не был зарегистрирован, как "тубарь" и "таблеток не пил".
3. "Клиника". Клиника при туберкулёзе понятие весьма растяжимое даже если Вам "хотят сказать", а зачастую "сказать не хотят".
Мы в таких случаях, когда нет ФГ архива и медицинской документации направляем на консультацию к фтизиатрам, а они уже разбираются остаточные ли это явления, или обострение....
Уважаемая коллега!
Мы поступили точно также, и завтра, пациент едет на консультацию в областной туб. диспансер, с учетом всего "отягощающего".