ГМ. Маркиафавы-Биньями болезнь. +

Маркиафавы-Биньями болезнь

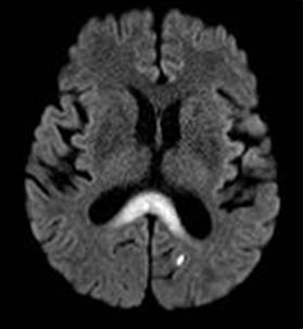
Marchiafava, 1897, Bignami, 1903 – редко встречающийся вариант алкогольной энцефалопатии с патологистологичнски проявляющимся поражением (некрозом) мозолистого тела, образованием полостей в ткани мозга и развитием внутренней гидроцефалией. Клинически активная фаза заболевания длится от 2 до 6 лет, завершается она формированием глубокого слабоумия. В психотической стадии болезни наблюдаются слуховые и зрительные галлюцинации, апатия, депрессия, припадки, состояния возбуждения, спутанность сознания, картины псевдопаралича, а также разнообразные неврологические симптомы (тремор рук, дизартрия, абазия, арефлексия или гиперрефлексия, ослабление зрачковых реакций, изменение формы и величины зрачков и мн.др.). Лечение симптоматическое. Синонимы: Дегенерация мозолистого тела, Прогрессирующая алкогольная деменция