You are here

ОГК. Поставим диагноз - спасем жизнь.

Пол пациента: 
Методы исследования: 

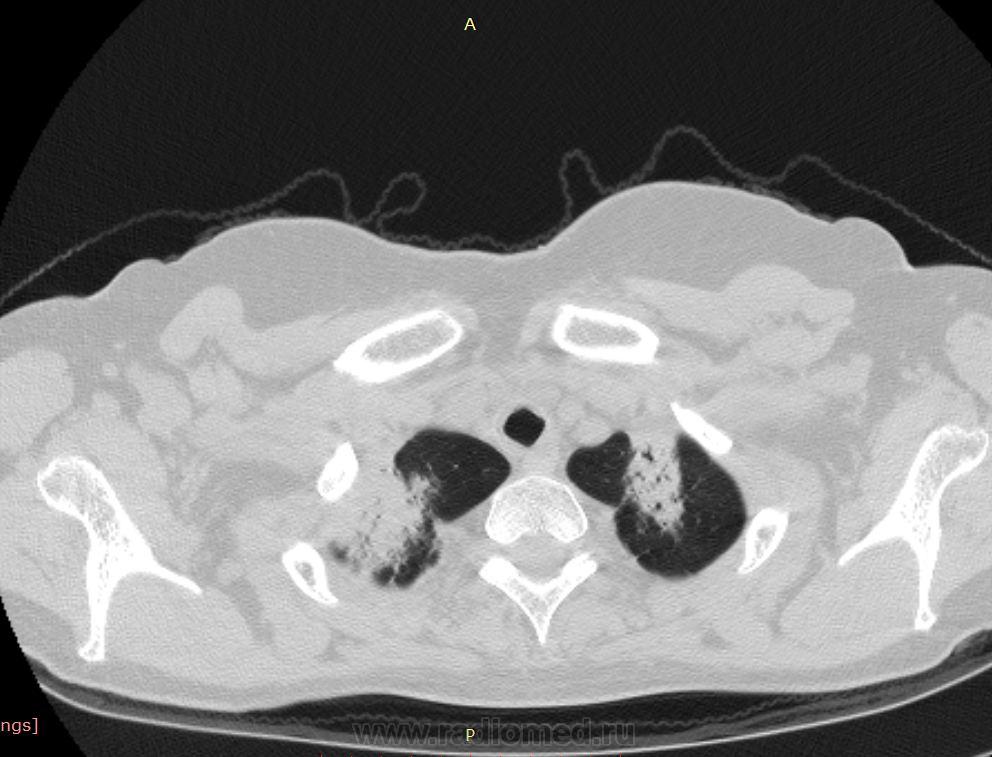
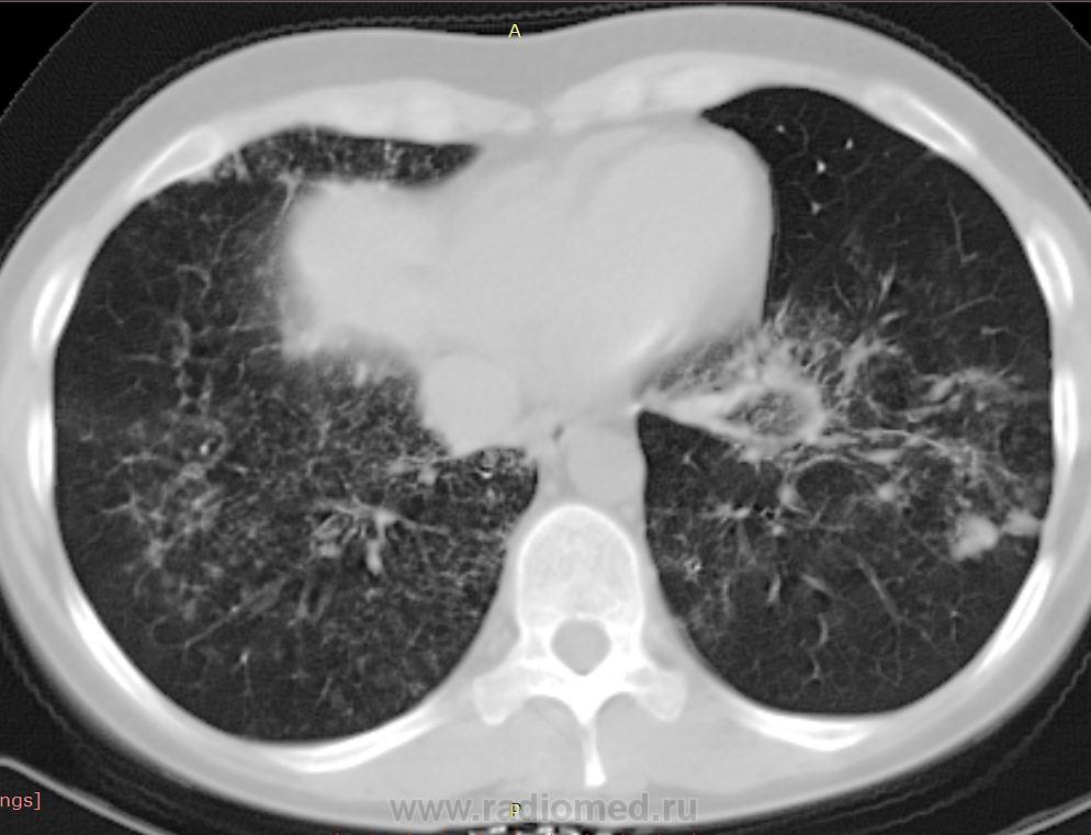
38 лет. 6 лет назад cr носоглотки. Лучевая и химиотерапия. С июля 2012 г. клиника бронхолегочного заболевания.

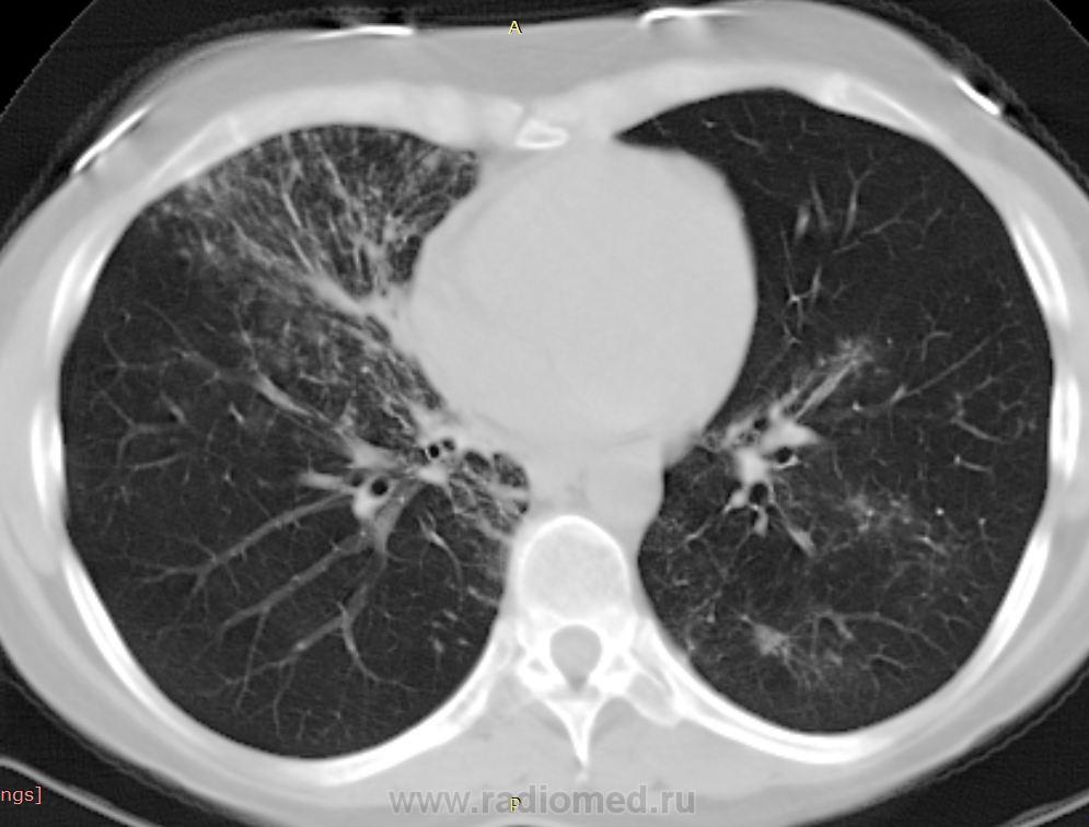
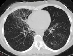
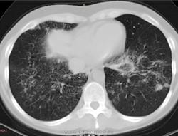
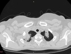
КТ ОГК.  http://files.mail.ru/YLKJGF

***---***---***---***---***

Сканы по 5 мм:

          

Сканы по 7 мм:

                       

  • https://radiomed.ru/sites/default/files/styles/case_slider_image/public/user/2841/p002.jpg?itok=lNSCNflS
  • https://radiomed.ru/sites/default/files/styles/case_slider_image/public/user/2841/p003.jpg?itok=7xMz4fq_
  • https://radiomed.ru/sites/default/files/styles/case_slider_image/public/user/2841/p004.jpg?itok=qytSC_43
  • https://radiomed.ru/sites/default/files/styles/case_slider_image/public/user/2841/p005.jpg?itok=fPmCGDMl
  • https://radiomed.ru/sites/default/files/styles/case_slider_image/public/user/2841/p006.jpg?itok=1_Lj7jZq
  • https://radiomed.ru/sites/default/files/styles/case_slider_image/public/user/2841/p007.jpg?itok=yl4gsfs6
  • https://radiomed.ru/sites/default/files/styles/case_slider_image/public/user/2841/p008.jpg?itok=j3DVRzbf
  • https://radiomed.ru/sites/default/files/styles/case_slider_image/public/user/2841/p010.jpg?itok=lByRGGLG
  • https://radiomed.ru/sites/default/files/styles/case_slider_image/public/user/2841/p011.jpg?itok=LBqZtQjG
  • https://radiomed.ru/sites/default/files/styles/case_slider_image/public/user/2841/p012.jpg?itok=DeQkls2t
  • https://radiomed.ru/sites/default/files/styles/case_slider_image/public/user/2841/p013.jpg?itok=DxwLB009
  • https://radiomed.ru/sites/default/files/styles/case_slider_image/public/user/2841/p014.jpg?itok=6BvyIhyr
  • https://radiomed.ru/sites/default/files/styles/case_slider_image/public/user/2841/p015.jpg?itok=VZXZfSPP
  • https://radiomed.ru/sites/default/files/styles/case_slider_image/public/user/2841/p016.jpg?itok=RyrVCpPd
  • https://radiomed.ru/sites/default/files/styles/case_slider_image/public/user/2841/p017.jpg?itok=jIf_p1-R
  • https://radiomed.ru/sites/default/files/styles/case_slider_image/public/user/2841/p018.jpg?itok=QT-AF-6d
  • https://radiomed.ru/sites/default/files/styles/case_slider_image/public/user/2841/p019.jpg?itok=38-gpa70
  • https://radiomed.ru/sites/default/files/styles/case_slider_image/public/user/2841/p020.jpg?itok=1ZQ5hioU
  • https://radiomed.ru/sites/default/files/styles/case_slider_image/public/user/2841/p021.jpg?itok=7jV5hmkz
  • https://radiomed.ru/sites/default/files/styles/case_slider_image/public/user/2841/p022.jpg?itok=4MXYs1Bg
  • https://radiomed.ru/sites/default/files/styles/case_slider_image/public/user/2841/r001.jpg?itok=DEE3svLd
  • https://radiomed.ru/sites/default/files/styles/case_slider_image/public/user/2841/r002.jpg?itok=dyKvcHnQ
  • https://radiomed.ru/sites/default/files/styles/case_slider_image/public/user/2841/r003.jpg?itok=AriaORnP
  • https://radiomed.ru/sites/default/files/styles/case_slider_image/public/user/2841/r004.jpg?itok=55eFN4bd
  • https://radiomed.ru/sites/default/files/styles/case_slider_image/public/user/2841/r005.jpg?itok=bRnlEmCe
  • https://radiomed.ru/sites/default/files/styles/case_slider_image/public/user/2841/r006.jpg?itok=nXtvUx1X
  • https://radiomed.ru/sites/default/files/styles/case_slider_image/public/user/2841/r007.jpg?itok=wsm74pMF
  • https://radiomed.ru/sites/default/files/styles/case_slider_image/public/user/2841/r008.jpg?itok=OU8fLOqZ
  • https://radiomed.ru/sites/default/files/styles/case_slider_image/public/user/2841/r009.jpg?itok=VyVLpF5K
  • https://radiomed.ru/sites/default/files/styles/case_slider_image/public/user/2841/r010.jpg?itok=UCu_RGYu
  • https://radiomed.ru/sites/default/files/styles/case_slider_image/public/user/2841/r011.jpg?itok=MwwNoj0X
  • https://radiomed.ru/sites/default/files/styles/case_slider_image/public/user/2841/img-0001-00001_0.jpg?itok=r22wTLFH
ID:23128
Nikolas's picture
Offline
Last seen: 1 month 3 weeks ago
Joined: 21.12.2010 - 20:37
Posts: 4559

Флюорография 2010 - норма. В анамнезе хронический гайморит. Бронхоскопия- признаки неспецифического эндобронхита. Исходная флюорография на бумажном носителе с низким качеством изображения. Описаны тени в верхушках легких, воспалительные изменения в средней доле. Лечение макролидами амбулатороно  дало кратковременный эффект.

ЛГ's picture
Offline
Last seen: 8 years 10 months ago
Joined: 06.01.2010 - 12:31
Posts: 3523

Кориатуса надо звать...

Уважаемый Nikolas, клиника бронхолегочного - лихорадка, кашель, недомогание? Скупо очень. smiley Кашель сухой или влажный, что с мокротой, есть ли одышка, что с эозинофилией...

Срезы по 5 и 7 мм - не лучший вариант для интерпретации интерстициальных диффузных заболеваний. В сканах по 5 мм пропущена центральная часть исследования.

Совет Вашим КТшникам, если это корректно: в случае ДИЗЛ в зоне интереса выполнять КТВР на протяжении 3-5 см. Тогда не придётся гадать.

Узелки хаотичного распределения (туб, микозы, мтс). Участки, напоминающие дерево-в-почках. На верхушках посттуберкулезный фиброз, при этом верхние отделы, насколько можно судить, чистые. Прикорневой фиброз и тракционные бронхоэктазы нижних отделов. Преобладание процесса в нижних долях + фиброзные изменения, +  утолщение??? междолькового интерстиция. Значимой лимфаденопатии не нашла, выпота тоже.

На первое место - неспецифическая интерстициальная пневмония. Спецпневмофиброз верхушек. Насколько возможна реактивация туберкулеза прогнозировать не берусь.

Изолированное легочное поражение фиброзирующим саркоидозом менее вероятно (если только какой супер атипичный).

Андрей Юрьевич's picture
Offline
Last seen: 3 days 10 hours ago
Joined: 16.11.2008 - 22:16
Posts: 18098

Присоединюсь к ЛГ (со всеми ее оговорками): ДИЗЛ, неспецифическая интерстициальная пневония, участки фиброза, бронхиолита.

Андрей Юрьевич

Наталия Васильевна's picture
Offline
Last seen: 5 years 8 months ago
Joined: 25.09.2011 - 09:02
Posts: 754

Вопрос к КТшникам-а после лучей такой фиброз может развиться? Или это все-таки нечто параканкрозное?

И.Бондаренко's picture
Offline
Last seen: 2 days 6 hours ago
Joined: 13.09.2011 - 22:55
Posts: 9206

Хотелось бы увидеть КТ в другом окне. По-моему, за онко ничего нет, больше всего склоняюсь к саркоидозу. Обширность поражения от верхушек к куполам. Да и участки фиброза в верхушках видел неоднократно, писали , что ТБЦ, а оказывалось саркоидозом. Единственно, смущают бронхоэктазы.

ЛГ's picture
Offline
Last seen: 8 years 10 months ago
Joined: 06.01.2010 - 12:31
Posts: 3523

Пожалуйста.

Приложения: 
o001.jpgo002.jpgo003.jpgo004.jpgo005.jpgo006.jpgo007.jpgo008.jpgo009.jpgo010.jpgt001.jpgt002.jpgt003.jpgt004.jpgt005.jpgt006.jpgt007.jpgt008.jpg
И.Бондаренко's picture
Offline
Last seen: 2 days 6 hours ago
Joined: 13.09.2011 - 22:55
Posts: 9206

Спасибо. Пока придерживаюсь мнения: саркоидоз

Катенёв Валентин Львович's picture
Offline
Last seen: 7 years 2 weeks ago
Joined: 22.03.2008 - 22:15
Posts: 54876

И.Бондаренко wrote:

Пока придерживаюсь мнения: саркоидоз

+1

Mitkampfer's picture
Offline
Last seen: 11 years 1 month ago
Joined: 27.07.2010 - 07:43
Posts: 1454

бронхоальвеолярная карцинома, а еще напоминает лимфангический карциноматоз.

P.S. Саркаидоз не смертелен).

Ну а учитывая автора ветки я бы и туберкулез не стал исключать).

Не ограничивайте свою мысль

Живешь пока учишься

Ecrasez l’infame

Nikolas's picture
Offline
Last seen: 1 month 3 weeks ago
Joined: 21.12.2010 - 20:37
Posts: 4559

Это не игра.

Mitkampfer's picture
Offline
Last seen: 11 years 1 month ago
Joined: 27.07.2010 - 07:43
Posts: 1454

"Перилимфатические узелки интерстициальный узелки (обычно хорошо очерчены), которые характеризуются распределением. Узлы субплеврально, вдоль трещин, а также междольковых перегородок, а также прилегающие к bronchovascular расслоения.
Наиболее распространенной причиной является саркоидоз (как правило, симметричны и верхних долях).

Также распространенным является лимфангит карциноматоза (часто асимметричные и нижней доле).

Силикоз и пневмокониоз угольной работника нередко дать эту картину.

Редкие причины включают амилоидоз и лимфоидной интерстициальной пневмонии.

В этом случае диагноз саркоидоз." - произвольный перевод

Приложения: 
578.jpg

Не ограничивайте свою мысль

Живешь пока учишься

Ecrasez l’infame

ЛГ's picture
Offline
Last seen: 8 years 10 months ago
Joined: 06.01.2010 - 12:31
Posts: 3523

Mitkampfer wrote:

"Перилимфатические узелки интерстициальный узелки (обычно хорошо очерчены), которые характеризуются распределением. Узлы субплеврально, вдоль трещин, а также междольковых перегородок, а также прилегающие к bronchovascular расслоения.
Наиболее распространенной причиной является саркоидоз (как правило, симметричны и верхних долях).

Также распространенным является лимфангит карциноматоза (часто асимметричные и нижней доле).

Силикоз и пневмокониоз угольной работника нередко дать эту картину.

Редкие причины включают амилоидоз и лимфоидной интерстициальной пневмонии.

В этом случае диагноз саркоидоз." - произвольный перевод

В Вашем варианте картинки перилимфатические узелки есть. А в представленном клиническом - просьба показать стрелочками.

Centrilobular area in blue (left) and perilymphatic area in yellow (right):

http://www.radiologyassistant.nl/en/42d94cd0c326b#a45a0d6c74e111

koriatus's picture
Offline
Last seen: 3 years 2 days ago
Joined: 14.06.2010 - 01:49
Posts: 452

Не понял - это одно и тоже исследование только с разным срезом?