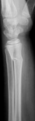
Пол пациента: Женский пол Тип патологии: Травма Область исследования: Скелетно-мышечная система Методы исследования: Rg Классика. https://radiomed.ru/sites/default/files/styles/case_slider_image/public/user/12/2.dscn0057a.jpg?itok=dZ2pZ746 ID:23193 Tue, 18/09/2012 - 17:42 #1 Соломин Виталий... Offline Last seen: 6 years 4 months ago Joined: 04.04.2012 - 21:47 Posts: 1096 "Зеленая веточка" в типичном месте. Лучше подправить. Tue, 02/10/2012 - 20:54 #2 Катенёв Валенти... Offline Last seen: 7 years 5 months ago Joined: 22.03.2008 - 22:15 Posts: 54876 Снят гипс.Приложения:
"Зеленая веточка" в типичном месте. Лучше подправить.
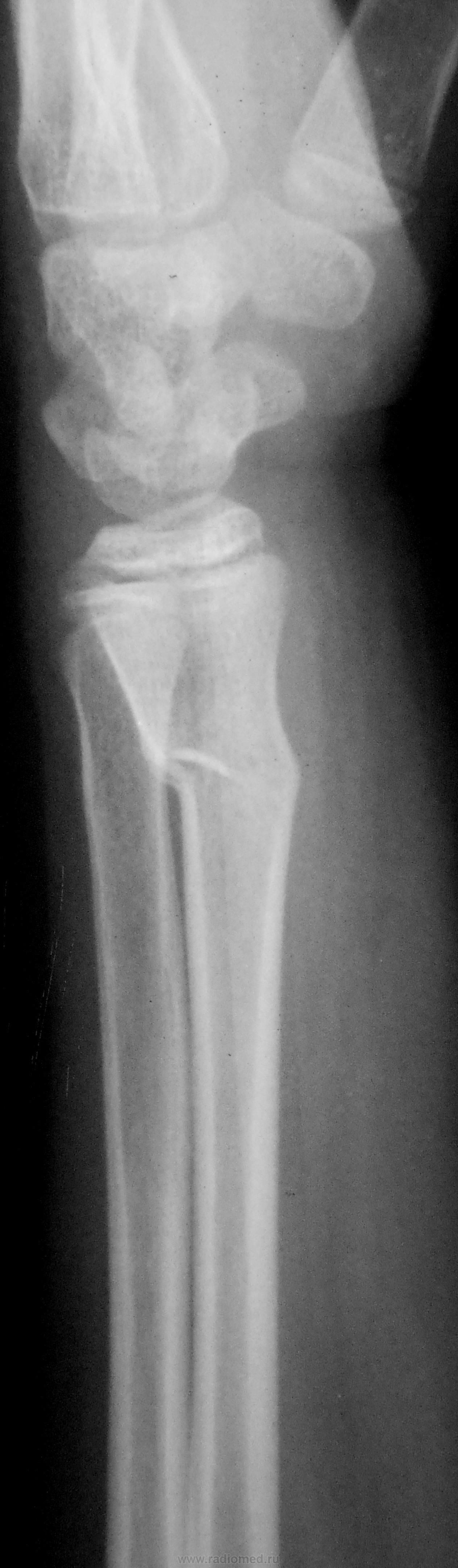
Снят гипс.