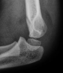
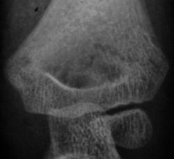
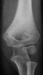
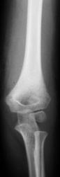
Пол пациента: Мужской пол Тип патологии: Травма Область исследования: Скелетно-мышечная система Методы исследования: Rg Рентгенограммы произведены в "ургентном" порядке ургентным лаборантом. Пациент направлен на исследование дежулным хирургом. ВАШЕ МНЕНИЕ КОЛЛЕГИ? TRAVMA.1..JPG TRAVMA_2..jpg TRAVMA.3..jpg TRAVMA.4..JPG TRAVMA.5..JPG AttachmentSize TRAVMA.1..JPG45.46 KB TRAVMA_2..jpg78.72 KB TRAVMA.3..jpg82 KB TRAVMA.4..JPG57.79 KB TRAVMA.5..JPG76.83 KB Mon, 16/11/2009 - 18:06 #1 v1tal Offline Last seen: 4 years 10 months ago Joined: 07.06.2008 - 19:41 Posts: 1779 Супракондилярный перелом дистального эпифиза плечевой кости, с незначительным угловым смещением открытым кзади. "Знаешь, у некоторых врачей есть комплекс мессии — им необходимо спасать мир. А у тебя комплекс Рубика — тебе необходимо решать головоломки." Mon, 16/11/2009 - 22:39 #2 В.Б. Серов Offline Last seen: 3 weeks 6 days ago Joined: 16.07.2008 - 10:15 Posts: 1361 Перелом вижу, смещения - нет Зри в корень! Mon, 16/11/2009 - 23:06 #3 Анатолий Владим... Offline Last seen: 7 years 10 months ago Joined: 16.10.2009 - 21:16 Posts: 1941 А смещение действительно минимальное.
Супракондилярный перелом дистального эпифиза плечевой кости, с незначительным угловым смещением открытым кзади.
"Знаешь, у некоторых врачей есть комплекс мессии — им необходимо спасать мир. А у тебя комплекс Рубика — тебе необходимо решать головоломки."
Перелом вижу, смещения - нет
Зри в корень!
А смещение действительно минимальное.