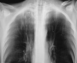
Пол пациента: Мужской пол Тип патологии: Инфекция Область исследования: Грудная клетка и верхние дыхательные пути Методы исследования: Rg Взяли на контроль после флюорографии, "порезали"... https://radiomed.ru/sites/default/files/styles/case_slider_image/public/user/12/2.dscn0199.jpg?itok=moA7c_-e https://radiomed.ru/sites/default/files/styles/case_slider_image/public/user/12/3.dscn0199a.jpg?itok=Y3DrB6Kk https://radiomed.ru/sites/default/files/styles/case_slider_image/public/user/12/4.dscn0199ab.jpg?itok=fPghBhdy ID:23445 Tue, 02/10/2012 - 17:14 #1 И.Бондаренко Offline Last seen: 5 days 3 hours ago Joined: 13.09.2011 - 22:55 Posts: 9213 Инфильтрация. Скорее всего ТБЦ. Tue, 02/10/2012 - 20:33 #2 Катенёв Валенти... Offline Last seen: 7 years 5 months ago Joined: 22.03.2008 - 22:15 Posts: 54876 Направлять к фтизиатру? Tue, 02/10/2012 - 21:01 #3 Наталия Васильевна Offline Last seen: 6 years 2 months ago Joined: 25.09.2011 - 09:02 Posts: 754 Катенёв Валентин Львович wrote: Направлять к фтизиатру? Ой, Валентин Львович, учитывая Ваши "нежные" отношения со смежниками-встреча просто неотвратна........ Tue, 02/10/2012 - 21:04 #4 Катенёв Валенти... Offline Last seen: 7 years 5 months ago Joined: 22.03.2008 - 22:15 Posts: 54876 Да, уважаемая Наталья Васильевна, "нежность" уже сегодня проявили, направили в тубкабинет.
Инфильтрация. Скорее всего ТБЦ.
Направлять к фтизиатру?
Ой, Валентин Львович, учитывая Ваши "нежные" отношения со смежниками-встреча просто неотвратна........
Да, уважаемая Наталья Васильевна, "нежность" уже сегодня проявили, направили в тубкабинет.