You are here

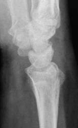
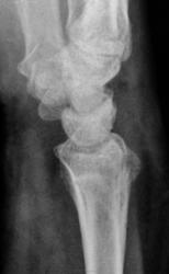
Боли. Травма в анамнезе была, но за помощью не обращался.

Пол пациента: 
Тип патологии: 
Область исследования: 
Методы исследования: 

Боли.  Травма в анамнезе была, но за помощью не обращался.

  • https://radiomed.ru/sites/default/files/styles/case_slider_image/public/user/12/2.dscn0187a.jpg?itok=7qTmaU5L
  • https://radiomed.ru/sites/default/files/styles/case_slider_image/public/user/12/3.dscn0187ab.jpg?itok=v5-4YHpu
  • https://radiomed.ru/sites/default/files/styles/case_slider_image/public/user/12/4.dscn0188.jpg?itok=gnmlk0zy
  • https://radiomed.ru/sites/default/files/styles/case_slider_image/public/user/12/5.dscn0188a.jpg?itok=Y_emJ2NQ
  • https://radiomed.ru/sites/default/files/styles/case_slider_image/public/user/12/6.dscn0188ab.jpg?itok=LJ4eH9nW
ID:23472
И.Бондаренко's picture
Offline
Last seen: 3 days 13 hours ago
Joined: 13.09.2011 - 22:55
Posts: 9206

Похоже вколоченный перелом диафиза лучевой кости.

maker4ik's picture
Offline
Last seen: 8 years 6 months ago
Joined: 19.10.2011 - 17:49
Posts: 2682

Перелом метаэпифиза луча

Igor_'s picture
Offline
Last seen: 13 years 2 months ago
Joined: 10.08.2012 - 21:43
Posts: 40

консолидированный вколоченный перелом метаэпифиза лучевой кости