Пол пациента: Мужской пол Тип патологии: Травма Область исследования: Скелетно-мышечная система Методы исследования: Rg Травма. Направлен на рентгенографию голеностопного сустава. https://radiomed.ru/sites/default/files/styles/case_slider_image/public/user/12/2.dscn0248.jpg?itok=ul35Ih4s https://radiomed.ru/sites/default/files/styles/case_slider_image/public/user/12/3.dscn0248a.jpg?itok=m81CYoM3 ID:23518 Fri, 05/10/2012 - 19:34 #1 Marinet Offline Last seen: 7 years 2 days ago Joined: 18.12.2010 - 20:45 Posts: 63 Перелом-эпифизеолиз дистального метаэпифиза ББК со смещением под углом кзади, перелом н/3 диафиза МБК Sat, 06/10/2012 - 11:07 #2 Брысковский Дмитрий Offline Last seen: 9 months 2 weeks ago Joined: 08.11.2011 - 11:00 Posts: 187 Лечить консервативно. Иммобилизация на 6 недель. Колено из них только 3 недели, потом гипс укоротить до в\3 голени. None are more hopelessly enslaved than those who falsely believe they are free Sat, 06/10/2012 - 16:09 #3 Катенёв Валенти... Offline Last seen: 7 years 3 weeks ago Joined: 22.03.2008 - 22:15 Posts: 54876 Через 1,5 месяца после наложения гипса.Приложения: Tue, 09/10/2012 - 10:50 #4 Брысковский Дмитрий Offline Last seen: 9 months 2 weeks ago Joined: 08.11.2011 - 11:00 Posts: 187 Гипс надо снять. От физкультуры освободить на 1,5 месяца. None are more hopelessly enslaved than those who falsely believe they are free Tue, 09/10/2012 - 12:08 #5 Петрович Offline Last seen: 7 years 2 months ago Joined: 22.03.2009 - 01:13 Posts: 3908 Marinet wrote: Перелом-эпифизеолиз дистального метаэпифиза ББК со смещением под углом кзади, перелом н/3 диафиза МБК Название точное? А щель перелома разве не уходит в диафиз? Неоднозначно всё Tue, 09/10/2012 - 21:27 #6 Катенёв Валенти... Offline Last seen: 7 years 3 weeks ago Joined: 22.03.2008 - 22:15 Posts: 54876 Да, линия перелома распространяется и на диафиз
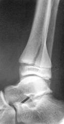
Перелом-эпифизеолиз дистального метаэпифиза ББК со смещением под углом кзади, перелом н/3 диафиза МБК
Лечить консервативно. Иммобилизация на 6 недель. Колено из них только 3 недели, потом гипс укоротить до в\3 голени.
None are more hopelessly enslaved than those who falsely believe they are free
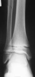
Через 1,5 месяца после наложения гипса.
Гипс надо снять. От физкультуры освободить на 1,5 месяца.
None are more hopelessly enslaved than those who falsely believe they are free
Название точное?
А щель перелома разве не уходит в диафиз?
Неоднозначно всё
Да, линия перелома распространяется и на диафиз