You are here

Травма.

Пол пациента: 
Тип патологии: 
Область исследования: 

Женщина поступила в нашу клинику экстренно, результат наезда машины:

Изображение  Изображение


 Результат МСКТ-костей черепа и головного мозга:

 ИзображениеИзображениеИзображениеИзображениеИзображениеИзображениеИзображениеИзображениеИзображениеИзображениеИзображениеИзображениеИзображениеИзображение


 ИзображениеИзображениеИзображениеИзображениеИзображениеИзображениеИзображениеИзображение


 

Катенёв Валентин Львович's picture
Offline
Last seen: 7 years 3 months ago
Joined: 22.03.2008 - 22:15
Posts: 54876

Лично я, по рентгенограммам, обратил-бы внимание на эту область.

 

Катенёв Валентин Львович's picture
Offline
Last seen: 7 years 3 months ago
Joined: 22.03.2008 - 22:15
Posts: 54876

Лично я, по рентгенограммам, обратил-бы внимание на эту область

Катенёв Валентин Львович's picture
Offline
Last seen: 7 years 3 months ago
Joined: 22.03.2008 - 22:15
Posts: 54876

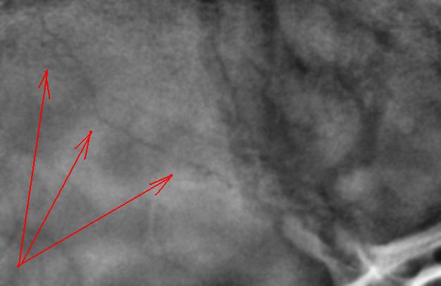
На боковой рентгенограмме нуждаются во внимании, на мой взгляд, помеченные стрелками "линии".

 

Катенёв Валентин Львович's picture
Offline
Last seen: 7 years 3 months ago
Joined: 22.03.2008 - 22:15
Posts: 54876

На боковой рентгенограмме нуждаются во внимании, на мой взгляд, помеченные стрелками "линии".

 

Катенёв Валентин Львович's picture
Offline
Last seen: 7 years 3 months ago
Joined: 22.03.2008 - 22:15
Posts: 54876

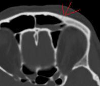
Вызывает сомнения и медиальный край орбиты.

 

v1tal's picture
Offline
Last seen: 4 years 11 months ago
Joined: 07.06.2008 - 19:41
Posts: 1779

      На станции вроде бы всё настроил, чёткость несколько сбилась изображений, вообще ссадина была слева и слева видно в ячейке лобной пазухи жидкость плотность крови(55HU), была сделана реконструкция с интервалом 1,5мм. Перелмо передней стенки ячейки лобной пазухи, можно даже так сказать "трещина" и гемосинус:

 Изображение

"Знаешь, у некоторых врачей есть комплекс мессии — им необходимо спасать мир. А у тебя комплекс Рубика — тебе необходимо решать головоломки."

Катенёв Валентин Львович's picture
Offline
Last seen: 7 years 3 months ago
Joined: 22.03.2008 - 22:15
Posts: 54876

Провокация № 1. Чем объяснить "нечеткость" задних клиновидных отростков?

 

Катенёв Валентин Львович's picture
Offline
Last seen: 7 years 3 months ago
Joined: 22.03.2008 - 22:15
Posts: 54876

Провокация № 2. Чем объясним эту линию просветления?

 

v1tal's picture
Offline
Last seen: 4 years 11 months ago
Joined: 07.06.2008 - 19:41
Posts: 1779

У женщины хорошо выражен сосудистый рисунок, по МСКТ больше к счастью нет травматических изменений.

"Знаешь, у некоторых врачей есть комплекс мессии — им необходимо спасать мир. А у тебя комплекс Рубика — тебе необходимо решать головоломки."