You are here

Пациент "взят на контроль".

Пол пациента: 
Тип патологии: 
Методы исследования: 

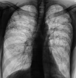
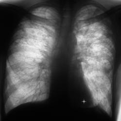
При расшифровке цифровых флюорограмм пациент был взят на контроль, дообследован - рентгенография, томография, был выставлен диагноз - "диссеминированный туберкулёз легких". В мокроте были выявлена МБТ. Пациент госпитализирован в ПТД.

Изображение

Сегодня, пациент направлен на плановое обследование нашим фтизиатром. Оказывается, пациент выписан, после "курса лечения", под наблюдение фтизиатра "по месту жительства".

Ваше мнение коллеги по поводу "эффективности" проведенного лечения.


2.DSM_..JPG
2.DSM_..JPG
3.DSM_..JPG
3.DSM_..JPG

 

 

 

 

 

 

 

 


4.DSM_..JPG
4.DSM_..JPG
5.DSM_.JPG
5.DSM_.JPG

 

 

 

 

 

 

 


6.DSM_..JPG
6.DSM_..JPG
AttachmentSize
Image icon 2.DSM_..JPG74.73 KB
Image icon 3.DSM_..JPG61.71 KB
Image icon 4.DSM_..JPG63.96 KB
Image icon 5.DSM_.JPG64.58 KB
Image icon 6.DSM_..JPG58.81 KB
Almo's picture
Offline
Last seen: 2 days 22 hours ago
Joined: 28.09.2008 - 18:50
Posts: 8306

Впечатление о положительной динамике. Сохраняються плотные очаги.

Анатолий Владимирович Шумаков's picture
Offline
Last seen: 8 years 3 months ago
Joined: 16.10.2009 - 21:16
Posts: 1941

А куда денешь 2 полости справа на уровне 2-3 ребер, и очаговые тени в верхних и средних полях с 2 сторон в фазе инфильтрации?

Almo's picture
Offline
Last seen: 2 days 22 hours ago
Joined: 28.09.2008 - 18:50
Posts: 8306

Насчёт полостей, на мой взгляд не убедительно; оценка плотности очагов, такие тонкие и принципиальные вопросы решаються не в интернете, а по снимкам с учётом R-архива, возможно с использованием дополнительных исследований( R-скопии и т.д.).  С увжением Морозов Александр.