You are here

Чистый профосмотр

. Что-то задерживает взгляд. Что же?

  • https://radiomed.ru/sites/default/files/styles/case_slider_image/public/user/939/n6236991_48-294u-8.jpg?itok=yjtmXQw3
  • https://radiomed.ru/sites/default/files/styles/case_slider_image/public/user/939/n6236992_0-917u-8.jpg?itok=cW22KQVf
ID:49346
Любовь С.'s picture
Offline
Last seen: 9 years 8 months ago
Joined: 23.12.2010 - 01:58
Posts: 2324

-

Приложения: 
n6236648_23-300u-8--.jpg

"Предоставляя весь смысл и совершенство в распоряжение одного только Бога, вы избавляете себя от бездны хлопот." Джон Уитборн.

Игорь Иванович's picture
Offline
Last seen: 3 years 12 months ago
Joined: 23.01.2010 - 14:56
Posts: 3695

Навскидку- глаз не зацепился.

арти's picture
Offline
Last seen: 12 years 3 months ago
Joined: 26.02.2012 - 11:23
Posts: 490

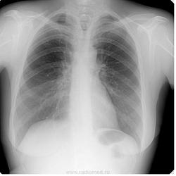
Согласна с Любой- странно расширенный участок трахеи. 

Гаврилов Кирилл Викторович's picture
Offline
Last seen: 8 years 3 weeks ago
Joined: 03.11.2009 - 21:50
Posts: 87

арти wrote:

Согласна с Любой- странно расширенный участок трахеи. 

+1

Рентгеновы лучи никогда не ошибаются. Ошибаемся мы, переводя их на свой язык

А. Горюнов's picture
Offline
Last seen: 3 months 1 week ago
Joined: 07.10.2012 - 12:12
Posts: 2744

Трахеобронхомегалия?

Анатолий Петрович

Андрей Кастарнов's picture
Offline
Last seen: 8 years 11 months ago
Joined: 11.11.2012 - 14:04
Posts: 107

а по мне так это из-за внутреннего края кивательной мышцы...

И.Бондаренко's picture
Offline
Last seen: 2 days 18 hours ago
Joined: 13.09.2011 - 22:55
Posts: 9208

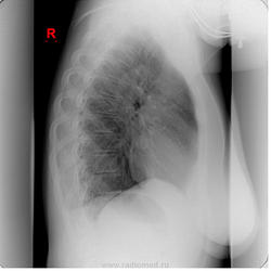
Боковую проекцию в студию.

Петрович's picture
Offline
Last seen: 7 years 5 months ago
Joined: 22.03.2009 - 01:13
Posts: 3908

Пока всё мимо кроме эллипса Любови). Продолжаем напрягать фантазию. Не ограничивайте свою мысль. Дорогу молодёжи!

Мэтров прошу временно воздержаться.

Неоднозначно всё

LikarX's picture
Offline
Last seen: 13 years 2 months ago
Joined: 08.11.2012 - 19:25
Posts: 4

рентгеноконтрастный воротничок?

Гаврилов Кирилл Викторович's picture
Offline
Last seen: 8 years 3 weeks ago
Joined: 03.11.2009 - 21:50
Posts: 87

Если напрячь фантазию - вот это цепануло...

Приложения: 
n6236648_23-300u-8.jpg

Рентгеновы лучи никогда не ошибаются. Ошибаемся мы, переводя их на свой язык

А. Горюнов's picture
Offline
Last seen: 3 months 1 week ago
Joined: 07.10.2012 - 12:12
Posts: 2744

Не отношусь ни к Мэтрам, и жаль, уже и не к молодежи. Задам прозаический вопрос: "Не трюк ли сей воздушный? " 

Анатолий Петрович

Нормандия's picture
Offline
Last seen: 11 years 11 months ago
Joined: 10.11.2012 - 10:49
Posts: 81

А. Горюнов wrote:

Не отношусь ни к Мэтрам, и жаль, уже и не к молодежи. Задам прозаический вопрос: "Не трюк ли сей воздушный? " 

аналогично)))))))))))) 

И,может, все же прав поэт? Не верится,что это враки. Чем ближе узнаю людей,тем больше нравятся собаки.

Катенёв Валентин Львович's picture
Offline
Last seen: 7 years 3 months ago
Joined: 22.03.2008 - 22:15
Posts: 54876

Гаврилов Кирилл Викторович wrote:

Если напрячь фантазию - вот это цепануло...

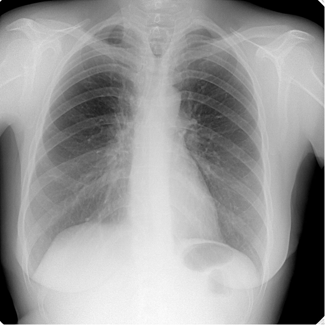
Чуть обработал снимки.

Приложения: 
1.n6236648_23-300u-8a.jpg2.n6236648_23-300u-8y.jpg3.n6236648_23-300u-8yv.jpg
Петрович's picture
Offline
Last seen: 7 years 5 months ago
Joined: 22.03.2009 - 01:13
Posts: 3908

Нормандия wrote:
А. Горюнов wrote:

Не отношусь ни к Мэтрам, и жаль, уже и не к молодежи. Задам прозаический вопрос: "Не трюк ли сей воздушный? " 

аналогично))))))))))))

Не-не. Сегодня не 1 апреля. Всё внимание верхнему средостению.

Могу добавить заднюю и боковую проекцию. И снимки прошлых лет. Что предпочтительнее?

Неоднозначно всё

Gorbovsky's picture
Offline
Last seen: 6 years 3 months ago
Joined: 03.08.2011 - 18:05
Posts: 348

Сухожилия кивательных мускулов

Было бы величайшей ошибкой думать (с)

Петрович's picture
Offline
Last seen: 7 years 5 months ago
Joined: 22.03.2009 - 01:13
Posts: 3908

Ждём весомого мнения опытных участников диагностического процесса.

Неоднозначно всё

Yurvas's picture
Offline
Last seen: 10 years 7 months ago
Joined: 12.11.2012 - 21:41
Posts: 2

Ценкеровский дивертикул.

Петрович's picture
Offline
Last seen: 7 years 5 months ago
Joined: 22.03.2009 - 01:13
Posts: 3908

Добавил две проекции.

Неоднозначно всё

Любовь С.'s picture
Offline
Last seen: 9 years 8 months ago
Joined: 23.12.2010 - 01:58
Posts: 2324

 

Или ятрогения по поводу патологии тимуса?

"Предоставляя весь смысл и совершенство в распоряжение одного только Бога, вы избавляете себя от бездны хлопот." Джон Уитборн.

А. Горюнов's picture
Offline
Last seen: 3 months 1 week ago
Joined: 07.10.2012 - 12:12
Posts: 2744

Высокую прозрачность ретростернального пространства следует учитывать при распознавании патологических процессов переднего средостения, так как даже массивные патологические образования ( увеличенные преваскулярные лимфатические узлы, опухоли и кисты средостения) могут давать тени небольшой интенсивности в   результате «ослабляющего» эффекта проецирующейся воздушной легочной ткани.

ИМХО. Возможен эффект сгибание-разгибание в шейном отделе позвоночника... 

Анатолий Петрович

LikarX's picture
Offline
Last seen: 13 years 2 months ago
Joined: 08.11.2012 - 19:25
Posts: 4

Врождённая расщелина грудины, или стернокизис

Петрович's picture
Offline
Last seen: 7 years 5 months ago
Joined: 22.03.2009 - 01:13
Posts: 3908

Любовь С. wrote:
1?

 Или ятрогения по поводу патологии тимуса?

Ятрогения здесь точно есть, но по другому поводу.

А что такое "1?", а?

Неоднозначно всё

Любовь С.'s picture
Offline
Last seen: 9 years 8 months ago
Joined: 23.12.2010 - 01:58
Posts: 2324

Один из вариантов расщепления грудины).  Картинка отсюда: http://www.rusmedserv.com/pedthorsurg/kdgk-lit.htm

"Предоставляя весь смысл и совершенство в распоряжение одного только Бога, вы избавляете себя от бездны хлопот." Джон Уитборн.

Петрович's picture
Offline
Last seen: 7 years 5 months ago
Joined: 22.03.2009 - 01:13
Posts: 3908

Меня заело: неужели никто из Радиомедовцев не встречал такого. Или внимания не обращали. Операция не такая уж редкая. Во всяком случае, Tatyana, наверное, знает.

Подожду до завтра.

Неоднозначно всё

Гриша Хата's picture
Offline
Last seen: 10 years 2 months ago
Joined: 09.02.2011 - 20:40
Posts: 665

Что-то не то с задним опорным комплексом верхнегрудных позвонков. Ламинэктомия как-будто?

Петрович's picture
Offline
Last seen: 7 years 5 months ago
Joined: 22.03.2009 - 01:13
Posts: 3908

Гриша Хата wrote:
Что-то не то с задним опорным комплексом верхнегрудных позвонков. Ламинэктомия как-будто?
Нет: дужки же все на месте.

Неоднозначно всё

Гриша Хата's picture
Offline
Last seen: 10 years 2 months ago
Joined: 09.02.2011 - 20:40
Posts: 665

Мы же угадываем? Пусть будет экстирпация гортани.

Петрович's picture
Offline
Last seen: 7 years 5 months ago
Joined: 22.03.2009 - 01:13
Posts: 3908

Гриша Хата сегодня просто отличник!

10 лет назад: Опухоль гортани T3N1M0. Расширенная ларингэктомия + лимфаденэктомия справа; Лучевая терапия.

И, как видим, без рецидива и процедива.

Неоднозначно всё

А. Горюнов's picture
Offline
Last seen: 3 months 1 week ago
Joined: 07.10.2012 - 12:12
Posts: 2744

Петрович wrote:

Гриша Хата сегодня просто отличник!

10 лет назад: Опухоль гортани T3N1M0. Расширенная ларингэктомия + лимфаденэктомия справа; Лучевая терапия.

И, как видим, без рецидива и процедива.

Ну вот и "законченный" случай! Уважаемому Петровичу, как автору и как опытному участнику сайта и" флаг в руки". Может начнете: диагностический алгоритм, полное описание протокола рентген. исследования с заключением данного случая? Может приживется и будет какая то польза Всем? С уважением, Анатолий Петрович.  

Анатолий Петрович

Гаврилов Кирилл Викторович's picture
Offline
Last seen: 8 years 3 weeks ago
Joined: 03.11.2009 - 21:50
Posts: 87

Спасибо, Петрович, за показательный случай. Запомню на будущее.

Рентгеновы лучи никогда не ошибаются. Ошибаемся мы, переводя их на свой язык

Петрович's picture
Offline
Last seen: 7 years 5 months ago
Joined: 22.03.2009 - 01:13
Posts: 3908

А. Горюнов wrote:
Петрович wrote:
Гриша Хата сегодня просто отличник!

10 лет назад: Опухоль гортани T3N1M0. Расширенная ларингэктомия + лимфаденэктомия справа; Лучевая терапия.

И, как видим, без рецидива и процедива.

Ну вот и "законченный" случай! Уважаемому Петровичу, как автору и как опытному участнику сайта и" флаг в руки". Может начнете: диагностический алгоритм, полное описание протокола рентген. исследования с заключением данного случая? Может приживется и будет какая то польза Всем? С уважением, Анатолий Петрович.

Напрасно, коллега, пытаетесь привить мне свою идею-фикс. Если она дорога Вам – проявляйте инициативу.

Вот самая правильная реакция на этот простой случай:.

Гаврилов Кирилл Викторович wrote:
Спасибо, Петрович, за показательный случай. Запомню на будущее.

Моя идея проста. Многие, особенно те, кто принял участие в «мозговом штурме», запомнят характерную картину и встретив подобный феномен не растеряются.

А Гришу кроме: "Молодец, садись, ПЯТЬ!" хочется наградить добротным российским мультом)).

http://www.youtube.com/watch?v=PnqUzaahAsQ

Неоднозначно всё

Гриша Хата's picture
Offline
Last seen: 10 years 2 months ago
Joined: 09.02.2011 - 20:40
Posts: 665

Спасибо за мультфильм, Петрович. После такого мультфильма в самый раз к психоаналитику.

Петрович's picture
Offline
Last seen: 7 years 5 months ago
Joined: 22.03.2009 - 01:13
Posts: 3908

Ну, так я часто эдесь бываю. Не стесняйтесь))

Неоднозначно всё

Гриша Хата's picture
Offline
Last seen: 10 years 2 months ago
Joined: 09.02.2011 - 20:40
Posts: 665

Тогда верните мне веру в общее образование.

Петрович's picture
Offline
Last seen: 7 years 5 months ago
Joined: 22.03.2009 - 01:13
Posts: 3908

Что такое по-вашему "общее образование" и входит ли в него закон Божий?

Неоднозначно всё

Гриша Хата's picture
Offline
Last seen: 10 years 2 months ago
Joined: 09.02.2011 - 20:40
Posts: 665

Наверное потому, что я в момент сеанса не лежал на кушетке! Очень жаль!

Петрович's picture
Offline
Last seen: 7 years 5 months ago
Joined: 22.03.2009 - 01:13
Posts: 3908

Ну, как угодно...

Неоднозначно всё

Нормандия's picture
Offline
Last seen: 11 years 11 months ago
Joined: 10.11.2012 - 10:49
Posts: 81

Вау!!!!Кошак с гепардом любезничают)))))))))

И,может, все же прав поэт? Не верится,что это враки. Чем ближе узнаю людей,тем больше нравятся собаки.

Гриша Хата's picture
Offline
Last seen: 10 years 2 months ago
Joined: 09.02.2011 - 20:40
Posts: 665

На самом деле мы с Петровичем, как два ротвейлера. Присоединяйтесь, будет четыре.

Нормандия's picture
Offline
Last seen: 11 years 11 months ago
Joined: 10.11.2012 - 10:49
Posts: 81

Ничего не примиряет особей семейства кошачих,как оппозиция семейству псовых))))  Спасибо за приглашение,коллега)))

И,может, все же прав поэт? Не верится,что это враки. Чем ближе узнаю людей,тем больше нравятся собаки.