Пациенту 55 лет. Травму отрицает. Клинически признаки флегмоны кисти. Извиняюсь за какчество снимков.
В крови небольшой лейкоцитоз, СОЭ 20 мм/ч. Ваше мнение?
После 6-го коммента добавляю КТ. DICOM тут: http://files.mail.ru/A64E4C объём 14,5 МВ.
- https://radiomed.ru/sites/default/files/styles/case_slider_image/public/user/2841/photo-01050.jpg?itok=ZpmS_3hT
- https://radiomed.ru/sites/default/files/styles/case_slider_image/public/user/2841/photo-00950.jpg?itok=nISwRYxE
- https://radiomed.ru/sites/default/files/styles/case_slider_image/public/user/2841/02a.jpg?itok=x08jHQ1E
- https://radiomed.ru/sites/default/files/styles/case_slider_image/public/user/2841/02b.jpg?itok=Jdx8HNJ_
- https://radiomed.ru/sites/default/files/styles/case_slider_image/public/user/2841/02v.jpg?itok=AxRkNGpH
- https://radiomed.ru/sites/default/files/styles/case_slider_image/public/user/2841/02g.jpg?itok=-N_P1Z5G
- https://radiomed.ru/sites/default/files/styles/case_slider_image/public/user/2841/02d.jpg?itok=J5OE8c1e
- https://radiomed.ru/sites/default/files/styles/case_slider_image/public/user/2841/02e.jpg?itok=mgPG-iV9
- https://radiomed.ru/sites/default/files/styles/case_slider_image/public/user/2841/02yo.jpg?itok=YrX3KSs9
- https://radiomed.ru/sites/default/files/styles/case_slider_image/public/user/2841/02zh.jpg?itok=PGiDsGoc
- https://radiomed.ru/sites/default/files/styles/case_slider_image/public/user/2841/02z.jpg?itok=TqrK4hBg
- https://radiomed.ru/sites/default/files/styles/case_slider_image/public/user/2841/02i.jpg?itok=EHLrIA3Q
- https://radiomed.ru/sites/default/files/styles/case_slider_image/public/user/2841/02k.jpg?itok=ENOVCWpF
- https://radiomed.ru/sites/default/files/styles/case_slider_image/public/user/2841/02l.jpg?itok=YTiBKoV_
- https://radiomed.ru/sites/default/files/styles/case_slider_image/public/user/2841/02m.jpg?itok=4npi157V
- https://radiomed.ru/sites/default/files/styles/case_slider_image/public/user/2841/02n.jpg?itok=VnCLfx8h
- https://radiomed.ru/sites/default/files/styles/case_slider_image/public/user/2841/02o.jpg?itok=nQRYeWJ6
- https://radiomed.ru/sites/default/files/styles/case_slider_image/public/user/2841/03a.jpg?itok=NCS0OQmM
- https://radiomed.ru/sites/default/files/styles/case_slider_image/public/user/2841/03b.jpg?itok=-88sTyjk
- https://radiomed.ru/sites/default/files/styles/case_slider_image/public/user/2841/03v.jpg?itok=YEY2StJY
- https://radiomed.ru/sites/default/files/styles/case_slider_image/public/user/2841/03g.jpg?itok=92mfrGuy
- https://radiomed.ru/sites/default/files/styles/case_slider_image/public/user/2841/03d.jpg?itok=Q6MOaPvb
- https://radiomed.ru/sites/default/files/styles/case_slider_image/public/user/2841/03e.jpg?itok=Q2w6FxtP
- https://radiomed.ru/sites/default/files/styles/case_slider_image/public/user/2841/01a.jpg?itok=FPL7ZXvZ
- https://radiomed.ru/sites/default/files/styles/case_slider_image/public/user/2841/01b.jpg?itok=5z0ThtQ4
- https://radiomed.ru/sites/default/files/styles/case_slider_image/public/user/2841/01v.jpg?itok=hmAJp0sQ
- https://radiomed.ru/sites/default/files/styles/case_slider_image/public/user/2841/01g.jpg?itok=iY44ZmDy
- https://radiomed.ru/sites/default/files/styles/case_slider_image/public/user/2841/01d.jpg?itok=DgR7A6My
ID:49374
да
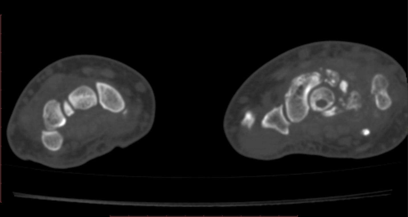
Перелом основания 2 пястной кости, асептический некроз полулунной кости.
Асептический некроз полулунной.
Ас/некроз полулунной, видится деструкция в головчатой, в меньшей степени в трехгранной и ладьевидной костях с прерыванием кортикального слоя при отсутствии явного раширения суставных щелей. Из диф/ряда, по-моему, нельзя исключать поражение нейротрофического генеза. Анамнез! (Сахарный диабет в т.ч., ан крови на сахар при отсутствии упоминаний о таковом). Доказать /опровергнуть - ТМГ, если нет возможности, отправила бы на КТ или МРТ.
Делай, что должно, и будь, что будет.
Асептический некроз и клиника флегмоны - нет ли противоречия?
Глюкоза 6 мМоль/л
https://www.youtube.com/channel/UCBGxoBUOqUT_bFhSeUgtWEw
В принципе, ничто не мешает развиваться одной патологии на фоне уже имеющзейся другой. Хотя, "клиника флегмоны" - понятие субЪективное. В моей практике был случай "вскрытия" хирургами такой флегмоны, при котором флегмоны не оказалось. Были изменения в м/тканях подошвенной поверхности стопы при нейрофрофической остеоартропатии при СД (стопа Шарко).
Делай, что должно, и будь, что будет.
Согласна. Добавлена КТ.
https://www.youtube.com/channel/UCBGxoBUOqUT_bFhSeUgtWEw
Анамнез и визуальное описание для диф диагноза неплохо бы.
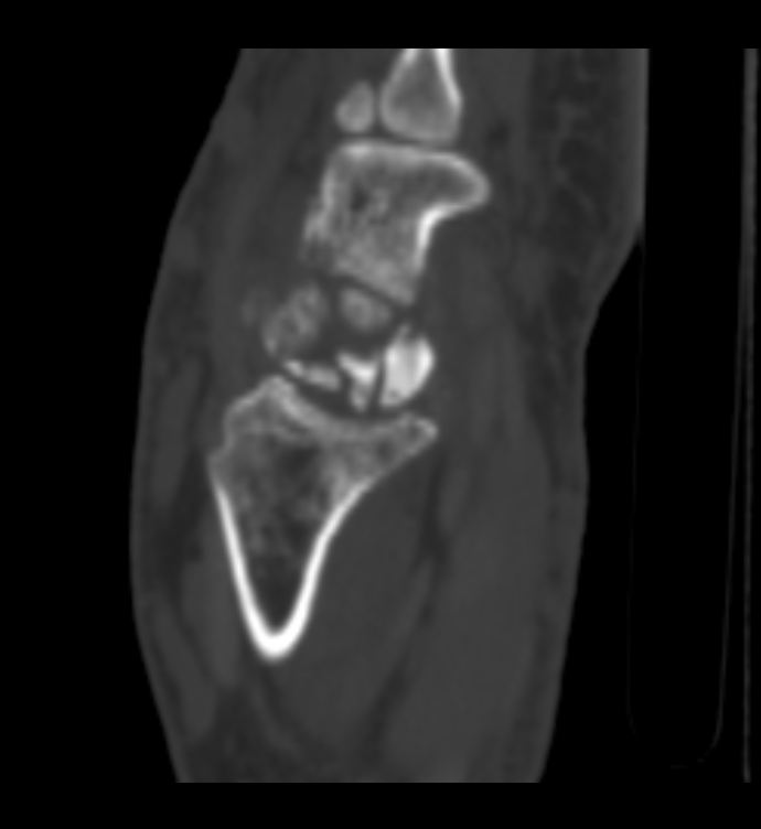
К большому моему сожалению, методом КТ не владею. Попробую описать то, что вижу, в надежде, что Вы поправите. Множественные полиоссальные очаги костной деструкции с достаточно четкими контурами (склеротический ободок?), местами с нарушением целостности кортикального слоя. В головчатой кости в деструктивном очаге плотная тень, похожая на секвестр. Полулунная фрагментирована соответственно ас/некрозу. Суставные щели сохранены, хотя соотношения костей запястья в горизонтальной плоскости выглядят не нормально. Мягкие ткани увеличены в обЪеме, дифференцировка структур по ладонной поверхности сохранена, по тыльной поверхности ближе к локтефой четкость теряется, на этом фоне непонятные мне включения. + отмечается расширение сосудистых теней. Остеомиелит и флегмона остаются у меня под большим сомнением. И характерных для нейротрофических нарушений напластований тоже не вижу (возможно, еще не срок?). При РА таких деструктивных изменений не встречала, и остеопороз под ?. Хотелось бы узнать Ваш вариант, уважаемая ЛГ.
Делай, что должно, и будь, что будет.
Заболел пару недель назад, небольшая ссадина в обл.1 пястной кости справа, за неделю раздуло кисть и дистальную треть предплечья раза в 4 больше, чем слева, гиперемия, местно повышенная t, боль и ограничение движений. Отказывался от госпитализации, амбулаторно курс антибиотиков (рентгенограммы и анализ крови - уже после курса лечения). На фоне лечения клинически положительная динамика, отёк и гиперемия уменьшились. Обследуется.
https://www.youtube.com/channel/UCBGxoBUOqUT_bFhSeUgtWEw
helenmar, Вы правы.

Интраоссальные "секвестры" в запятье, а их два, это интраоссальные тофусы. Глыбчатые аморфные образования по плотности больше хряща, но меньше обызвествления, - это тофусы в мягких тканях. Кистовидные изменения костей запястья, с истончением коркового слоя и его частичным прерыванием - характерно для подагры.
У пациента больше 20 лет подагра с поражением 1-х плюсне-фаланговых суставов. А вот с кистью обратился впервые.
Данных за гнойные затёки, абсцессы - нет. Есть инфильтрация клетчатки, объёмное увеличение мягких тканей, признаки синовита (тут МРТ б помогло лучше в плане визуализации).
Фрагментация и выраженное уплотнение полулунной кости - исход болезни Кинбека, с удивительно слабо выраженными признаками ДОА. Пациент не помнит, чтоб в детстве-юности были проблемы с правой кистью... но кто знает, может, у него память избирательная)).
На данный момент биохимия крови в работе. Будет ли морфологическая верификация - не могу сказать, не знаю.
https://www.youtube.com/channel/UCBGxoBUOqUT_bFhSeUgtWEw
К теме: http://translate.googleusercontent.com/translate_c?depth=1&hl=ru&langpair=en|ru&rurl=translate.google.ru&u=http://www.ajronline.org/content/175/3/655.full&usg=ALkJrhisz7Wyw6mJnbahQchn4a8FNMoiLg
http://translate.googleusercontent.com/translate_c?depth=1&hl=ru&langpair=en|ru&rurl=translate.google.ru&u=http://goutpictures.net/wrist-gout/symptoms-of-gout-in-wrist/&usg=ALkJrhjWEmgofhxMXGQJfCViBteYHb3HuQ
https://www.youtube.com/channel/UCBGxoBUOqUT_bFhSeUgtWEw
Спасибо за уточнения и презентацию вообще, очень интересный случай. Мне такого ранее видеть не приходилось. Век живи, век учись.
Делай, что должно, и будь, что будет.
ЛГ, а может действительно подагрическая атака? Тогда об асептическом некрозе есть ли смысл говорить, может это все следствие тофусов?
Фрагментация и выраженное уплотнение костной структуры полулунной кости. Я думаю, что с полулунной - последствия асептического некроза.
https://www.youtube.com/channel/UCBGxoBUOqUT_bFhSeUgtWEw
Спасибо. Интересно.
Это, стало быть, первая у него атака? Раньше кисть не распухала? Что решающим образом помогло в диагностике: похожие картинки в AJR, или уровень мочевой кислоты в крови, или же знакомство с анамнезом?
Неоднозначно всё
Раньше марш-броски и выраженные физ.нагрузки военного, когда болело "всё".
Анамнез по подагре был известен во время описания снимков, и пациент её не лечил - не особо и беспокоила в последнее время, или очень терпеливый, или скрывает факты)). По рентгенограммам первое впечатление было про остеомиелит. Четкие контуры и фрагментация были за асептический некроз, что вроде противоречило данным внешнего осмотра: кисть и треть предплечья с гиперемией, отеком, картина выраженного воспаления, правда, без флюктуации. Тофусов ни внешне, ни на рентгенограмме не было видно. Остеолитические очаги в запястье требовали дифференцировки кистозных изменений с остеомиелитом. Отёк мягких тканей существенно затруднил трактовку по снимкам (либо плохому танцору)). Про подагрические дела по рентгенограммам не подумалось совершенно. Потому решили с травматологом сделать КТ, после которой вопросов уже не было.
А уровень мочевой кислоты пока неизвестен). В понедельник.
https://www.youtube.com/channel/UCBGxoBUOqUT_bFhSeUgtWEw
Интересный случай. А интересен он лично мне только лишь потому, что в последнее время пошла "эпидемия" РА и подагры. То ли их в самом деле очень много, то ли направлять больных с диагнозом ДОА стало не модно?
Таким образом, уровень квалификации вашей позволяет найти на КТ-сканах патогномоничные при данном заболевании симптомы. А картинки в AJR Вы нашли уже для нас, альтруистичная и щедрая.
Ещё раз спасибо от всех.
Неоднозначно всё
Не совсем. Ожидала признаков артрита, поражения именно суставных поверхностей. И уже после поиска по теме
https://www.google.ru/webhp?sourceid=chrome-instant&ion=1&ie=UTF-8#hl=ru&newwindow=1&tbo=d&tbs=clir:1&sclient=psy-ab&q=%D0%BF%D0%BE%D0%B4%D0%B0%D0%B3%D1%80%D0%B0+%D0%B7%D0%B0%D0%BF%D1%8F%D1%81%D1%82%D1%8C%D1%8F+%D0%B8%D0%B7%D0%BE%D0%B1%D1%80%D0%B0%D0%B6%D0%B5%D0%BD%D0%B8%D1%8F+%D0%BA%D0%BE%D0%BC%D0%BF%D1%8C%D1%8E%D1%82%D0%B5%D1%80%D0%BD%D0%B0%D1%8F+%D1%82%D0%BE%D0%BC%D0%BE%D0%B3%D1%80%D0%B0%D1%84%D0%B8%D1%8F&oq=%D0%BF%D0%BE%D0%B4%D0%B0%D0%B3%D1%80%D0%B0+%D0%B7%D0%B0%D0%BF%D1%8F%D1%81%D1%82%D1%8C%D1%8F+%D0%B8%D0%B7%D0%BE%D0%B1%D1%80%D0%B0%D0%B6%D0%B5%D0%BD%D0%B8%D1%8F+%D0%BA%D0%BE%D0%BC%D0%BF%D1%8C%D1%8E%D1%82%D0%B5%D1%80%D0%BD%D0%B0%D1%8F+%D1%82%D0%BE%D0%BC%D0%BE%D0%B3%D1%80%D0%B0%D1%84%D0%B8%D1%8F&gs_l=serp.3...17132.19161.2.20463.12.12.0.0.0.1.159.1310.4j8.12.0...0.0...1c.1.06Z-AxcZ6DM&pbx=1&bav=on.2,or.r_gc.r_pw.r_qf.&fp=b7157a6f3bd9c39a&bpcl=38897761&biw=1600&bih=775
нашла подтверждение своим подозрениям)).
P.S. К теме поиска. Неплохой поисковик по лучевой диагностике http://radiologysearch.net/ , спасибо Евгению Николаевичу
. Набрать в верхнем левом окне искомое на русском или иностранном языке и радоваться возможностям интернета)).
https://www.youtube.com/channel/UCBGxoBUOqUT_bFhSeUgtWEw
А подскажите как правильно сформулировать эти "подагрические дела" в наиболее полное и правильно звучащее заключение?
Дословно не помню, примерно так: по рентгенограммам написала в заключении фрагментацию и асептический некроз полулунной кости, кистовидные просветления головчатой и трехгранной кости (деструктивные?). По КТ в заключении: признаки последствия болезни Кинбека, подагрические тофусы мягких тканей, подагрические изменения костей запястья.
https://www.youtube.com/channel/UCBGxoBUOqUT_bFhSeUgtWEw