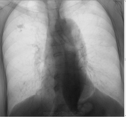
Уважаемые коллеги прошу вашей помощи. Женщина 1937 года, направлена уч. терапевтом с предварительным диагнозом - пневмония. Снимки с 2010 - по 2012 год. Из архива 2010-2011 "НА ВЕРХУШКАХ ОБЕИХ ЛЕГКИХ -ПЛ. ОЧАГИ.Р+". Что можете сказать по поводу 2012 года?


Насколько мне видно-"подсыпало" с плотного очага и лимфогенная диссеминация имеется. Хотите покрутить-томо серединный срез,а далее по обстоятельствам. Не хотите заниматься-отправляйте к фтизиатрам.
И,может, все же прав поэт? Не верится,что это враки. Чем ближе узнаю людей,тем больше нравятся собаки.
Да, случай уже вполне созрел для их подключения.
Неоднозначно всё
динамика отрицательная. отправил бы к фтизиатрам.
P.S. подпишите где какой год.
Не ограничивайте свою мысль
Живешь пока учишься
Ecrasez l’infame
Однозначно, рецидив ТБ. Диссеминированный.
Очень даже похоже на рецидив туберкулеза. Вот только бы еще с этой "пневмонией" до конца разобраться...какова клиника по вашему?
Болезни ног: виды, симптомы, причины, профилактика и лечение
+1 За туберкулез