You are here

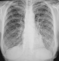
Контроль после флюорографии.

Пол пациента: 
Тип патологии: 
Методы исследования: 

Контроль после флюорографии.

  • https://radiomed.ru/sites/default/files/styles/case_slider_image/public/user/12/2.dscn0546.jpg?itok=qwYv2XC-
  • https://radiomed.ru/sites/default/files/styles/case_slider_image/public/user/12/3.dscn0547.jpg?itok=ZrFUNfT-
  • https://radiomed.ru/sites/default/files/styles/case_slider_image/public/user/12/4.dscn0548.jpg?itok=KcH9w5Hn
ID:24726
И.Бондаренко's picture
Offline
Last seen: 4 days 3 hours ago
Joined: 13.09.2011 - 22:55
Posts: 9208

Первая мысль о саркоидозе или мтс.

ЧЮГ's picture
Offline
Last seen: 4 months 1 week ago
Joined: 31.10.2012 - 15:10
Posts: 414

Думаю пневмофиброз по типу силикоза.

Если можно анамнез и пред. ФЛ-снимки (архив)

Наталия Васильевна's picture
Offline
Last seen: 5 years 10 months ago
Joined: 25.09.2011 - 09:02
Posts: 754

Или фиброзирующий альвеолит. 

Катенёв Валентин Львович's picture
Offline
Last seen: 7 years 2 months ago
Joined: 22.03.2008 - 22:15
Posts: 54876

ЧЮГ wrote:

Думаю пневмофиброз по типу силикоза.

Если можно анамнез и пред. ФЛ-снимки (архив)

Профанамнеза нет.

stovbav's picture
Offline
Last seen: 2 years 4 months ago
Joined: 20.12.2009 - 17:28
Posts: 7066

+1 за дифузный пневмофиброз...может просто ХОЗЛ и всего то...

maker4ik's picture
Offline
Last seen: 8 years 8 months ago
Joined: 19.10.2011 - 17:49
Posts: 2682

Фиброзирующий альвеолит

Петрович's picture
Offline
Last seen: 7 years 4 months ago
Joined: 22.03.2009 - 01:13
Posts: 3908

ХНЗЛ

Неоднозначно всё

Сергей Кузьминов's picture
Offline
Last seen: 1 year 2 months ago
Joined: 06.10.2012 - 15:51
Posts: 11813

ХНЗЛ

Нормандия's picture
Offline
Last seen: 11 years 10 months ago
Joined: 10.11.2012 - 10:49
Posts: 81

кажись,еще слева парааортально в верхем поле булла...

И,может, все же прав поэт? Не верится,что это враки. Чем ближе узнаю людей,тем больше нравятся собаки.

cupitur's picture
Offline
Last seen: 11 years 12 months ago
Joined: 19.09.2011 - 10:42
Posts: 262

Валентин Львович, тут явно синдром патологии легочного рисунка и очаговой диссиминации. Не исключаны туберкулез и канцероматоз. Тут нужна клиника и лабораторное подтверждение. Может быть неспецифический процесс в плане отравления металлами, пылью или еще чем. А возможно и редкость какая - типа васкулита.

Валентин Львович, очень интересно продолжение.

Nikolas's picture
Offline
Last seen: 3 weeks 6 hours ago
Joined: 21.12.2010 - 20:37
Posts: 4560

туберкулез легких подтвердился?

Катенёв Валентин Львович's picture
Offline
Last seen: 7 years 2 months ago
Joined: 22.03.2008 - 22:15
Posts: 54876

Да, пациент консультирован в ОПТД, взят на учёт

Nikolas's picture
Offline
Last seen: 3 weeks 6 hours ago
Joined: 21.12.2010 - 20:37
Posts: 4560

уважаемый Валентин Львович за ответ. Nikolas

алкс's picture
Offline
Last seen: 10 years 2 months ago
Joined: 24.10.2012 - 22:55
Posts: 2915

Катенёв Валентин Львович wrote:

Да, пациент консультирован в ОПТД, взят на учёт

 То, что "взят" не факт , что туб.

алкс's picture
Offline
Last seen: 10 years 2 months ago
Joined: 24.10.2012 - 22:55
Posts: 2915

Катенёв Валентин Львович wrote:

Да, пациент консультирован в ОПТД, взят на учёт

 То, что "взят" не факт , что туб. Не миллиарный, диссеминация разноочаговая, но фиброзирующий альвеолит не отрицается.

Катенёв Валентин Львович's picture
Offline
Last seen: 7 years 2 months ago
Joined: 22.03.2008 - 22:15
Posts: 54876

алкс wrote:

 То, что "взят" не факт , что туб.

Вы правы уважаемый коллега, не факт!

Но рост "палки" на средах - это факт и факт довольно весомый!

cupitur's picture
Offline
Last seen: 11 years 12 months ago
Joined: 19.09.2011 - 10:42
Posts: 262

Коллеги, а к какому классу отнести данный вариант туберкудеза? К диссеминированному? Спасибо.

Nikolas's picture
Offline
Last seen: 3 weeks 6 hours ago
Joined: 21.12.2010 - 20:37
Posts: 4560

Диссеминированный туберкулёез лёгких. См. http://www.radiomed.ru/publications/tuberkulez-klinicheskaya-klassifikatsiya-tuberkuleza