You are here

ЭКСПЕРТИЗА. КТ ОБП. В направлении: панкреатит.

Методы исследования: 

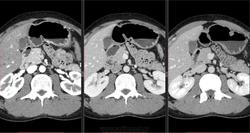
Случай коллеги. Пациент 33-х лет. Боли в эпигастрии, после злоупотребления алкоголем. С поджелудочной без проблем, интересно другое. 3 фазы с интервалом 30 сек между ними. Надеюсь, классическим рентгенологам будет интересно.

  

        

  • https://radiomed.ru/sites/default/files/styles/case_slider_image/public/user/2841/i-01.jpg?itok=Xj7zdcXN
  • https://radiomed.ru/sites/default/files/styles/case_slider_image/public/user/2841/i-02.jpg?itok=mIuUvkW6
  • https://radiomed.ru/sites/default/files/styles/case_slider_image/public/user/2841/i-03.jpg?itok=Nj809TWV
  • https://radiomed.ru/sites/default/files/styles/case_slider_image/public/user/2841/i-04.jpg?itok=-kYcxOKQ
  • https://radiomed.ru/sites/default/files/styles/case_slider_image/public/user/2841/i-05.jpg?itok=H_3mRDd3
  • https://radiomed.ru/sites/default/files/styles/case_slider_image/public/user/2841/i-06.jpg?itok=Snrf0lMk
  • https://radiomed.ru/sites/default/files/styles/case_slider_image/public/user/2841/i-07.jpg?itok=9MTXbzfe
  • https://radiomed.ru/sites/default/files/styles/case_slider_image/public/user/2841/i-08.jpg?itok=iNewkl-f
  • https://radiomed.ru/sites/default/files/styles/case_slider_image/public/user/2841/i-09.jpg?itok=3A5AcMzx
  • https://radiomed.ru/sites/default/files/styles/case_slider_image/public/user/2841/i-10.jpg?itok=E7ZiFhH6
  • https://radiomed.ru/sites/default/files/styles/case_slider_image/public/user/2841/i-11.jpg?itok=h2yk3bir
ID:44357
Helios's picture
Offline
Last seen: 9 months 15 hours ago
Joined: 06.08.2010 - 15:16
Posts: 4417

Гепатомегалия.Много газа в кишечнике.Признаки портальной гипертензии?На этом мои скромные ( громко сказано!) в КТ заканчиваются.

Все, бегу на работу.

Ольга Хмель's picture
Offline
Last seen: 1 year 11 months ago
Joined: 07.10.2012 - 20:47
Posts: 46

Очень интересно! Но в МРТ я увы.... вообщем не понятно. Кровотечение что ли? Желудок то с содержимым, то нет... Увы мне увы... Не знаю!

И.Бондаренко's picture
Offline
Last seen: 3 days 6 hours ago
Joined: 13.09.2011 - 22:55
Posts: 9208

Смотрю в книгу и вижу фигу. Стенки желудка не утолщены, возможно есть утолщение стенок тонкой кишки. А так, что написать? Мезентериальная компрессия?

ЛГ's picture
Offline
Last seen: 9 years 1 day ago
Joined: 06.01.2010 - 12:31
Posts: 3523

Елене: газа в тонком кишечнике хватает. Портальная немного расширена, 13,7 мм; коллатерали начинают вылезать - признаки начальной портальной гипертензии есть точно.

Ольге: это КТ. Исследование выполняется обычно лежа на спине, оттого воздух в желудке (черный) смещен вверх, а жидкость - вниз. При исследованиях брюшной полости часто перорально вводят жидкость для лучшей визуализации желудка и кишечника. Реконструкции в корональной (прямой) и сагиттальной (боковой) проекциях - компьютерная модель на основе аксиальных (поперечных) первичных срезов. Поэтому и на реконструкциях кпереди в желудке будет газ, а кзади - жидкость.

Игорю: мезентериальной компрессии нет, 12-перстная не зажата между аортой и ВБА, нижняя треть её на уровне L4, низковато. Утолщение стенок - из-за плохой расправляемости тонкой кишки, за счет суммации стенок, тонкую кишку не всегда удается расправить.

ЛГ's picture
Offline
Last seen: 9 years 1 day ago
Joined: 06.01.2010 - 12:31
Posts: 3523

Обратите внимание на привратник. В первую фазу (сосуды выглядят белыми) картина отличается от двух других фаз. Вычтите перистальтику, что остаётся?

И.Бондаренко's picture
Offline
Last seen: 3 days 6 hours ago
Joined: 13.09.2011 - 22:55
Posts: 9208

Вычел перистальтику. Есть утолщение стенки на пол просвета. Опухоль? Но сравнивал с тонкой кишкой и думал, что так должно быть. Кстати, не подсткажете как надо измерять размеры печени, и норму. В книгах не нашёл.

ЛГ's picture
Offline
Last seen: 9 years 1 day ago
Joined: 06.01.2010 - 12:31
Posts: 3523

Скользящий пролапс слизистой желудка в луковицу.

Печень не меряю). А вот так). Если увеличена, пишу "увеличена".  Но подсказать про измерения могу: 

http://www.ncbi.nlm.nih.gov/books/NBK421/

 

ЛГ's picture
Offline
Last seen: 9 years 1 day ago
Joined: 06.01.2010 - 12:31
Posts: 3523

Или так:

doktor-rentgen's picture
Offline
Last seen: 9 years 3 months ago
Joined: 06.07.2010 - 20:56
Posts: 640

А с какой книги первая картинка размеров печени?

ЛГ's picture
Offline
Last seen: 9 years 1 day ago
Joined: 06.01.2010 - 12:31
Posts: 3523

Не знаю. Взята отсюда: http://www.radiographia.ru/comment/60594#comment-60594

Ольга Хмель's picture
Offline
Last seen: 1 year 11 months ago
Joined: 07.10.2012 - 20:47
Posts: 46

Спасибо! Очень интересно. А я и не знала что при МРТ жидкость per os вводится ... ,что воздух чёрный - сообразила...  А насчёт всего другого, конечно же - для меня тёмный лес. Спасибо за разъяснения.