Уважаемые коллеги, особенно врачи КТ. Надеюсь что данная публикация окажется полезной для многих из Вас. Ниже представлены сканы печени; предлагаю Вам ознакомится с ними и высказать свое мнение. Пациент мужчина средних лет, специфичных жалоб не предъявляет.



А это может быть эхинококковая киста печени?
Нет, для эхинококковой кисты характерна гиподенсная структура, хорошо очерченные стенки, зачастую с кальцинатами, содержимое может быть как чисто кистозное (если свежая киста) или содержать характерные перегородки и дочерние кисты. Как раз вчера я публиковал свежее наблюдение с эхинококкозом, посмотреть можете здесь: http://www.radiographia.ru/node/1964
Кстати, а не можете ли вы указать стрелочкой, где по вашему мнение вы заподозрили наличие эхинококковой кисты?
Let me see...
radiographia.ru
Диффузное неравномерное утолщение стенок желудка - инфильтративное нео или лимфома... И еще похоже на пузырьки газа в стенке желудка. Если бы его (желудок) раздуть...
Нет, Вы не правы. Во первых нельзя адекватно судить о состоянии стенок желудка при отсутствии его контрастирования. В желудке гиподенсивное содержимое (жидкость), стенки спавшиеся, видны складки. Я написал в оглавлении, что публикую КТ именно ПЕЧЕНИ.
Let me see...
radiographia.ru
Тогда не знаю...
Если Вы не против, я немного придержу продолжение данного наблюдения. Основная задача данной публикации не сам диагноз, а показать современные аспекты и особенности метода КТ, а также важность глубины и объёма знаний врачей радиологов которые занимаются КТ диагностикой.
Let me see...
radiographia.ru
Конечно, спасибо!
Ну, мне не нравится один маленький гиподенсный очажок в 8 сегменте.
https://www.instagram.com/pediatricradiology/
И как его можно трактовать?
Let me see...
radiographia.ru
На гемангиому похоже, контрастировать бы надо...
P.S. не судите строго, КТ не занимаюсь
Добрый админ
Евгений: В принципе похоже, весьма может быть. Тогда это простая инциденталома, т.е. находка не имеющая значения... А КТ с контрастом, обратите внимнаие на контрастированные гиперденсные печёночные вены.
Let me see...
radiographia.ru
Да, точно! Извиняюсь, просто к картинке не привык.
Добрый админ
Nela: Браво! Есть непрямые (вторичные) признаки объёмного образования печени (анатомия, анатомия и ещё раз анатомия!!!)
. Теперь вопрос, как его трактовать; что надо было сделать или что ещё можно сделать что бы прояснить ситуацию?
Let me see...
radiographia.ru
МРТ?
Добрый админ
Вариант, но в принципе по КТ можно разрешить до 95% всех вопросов связанных с образованиями печени. По большому счёту, только цирроз печени с узлами регенерации и с подозрением на наличие гепато-целлюлярной карциномой является абсолютным показанием к таргетной МРТ печени; ну и МР-холангиография, когда невозможно выполнить ЭРХПГ.
Let me see...
radiographia.ru
А может в отсроченной венозной фазе всё ясно станет, если образование есть, оно накопит какое то количество контраста.
"Знаешь, у некоторых врачей есть комплекс мессии — им необходимо спасать мир. А у тебя комплекс Рубика — тебе необходимо решать головоломки."
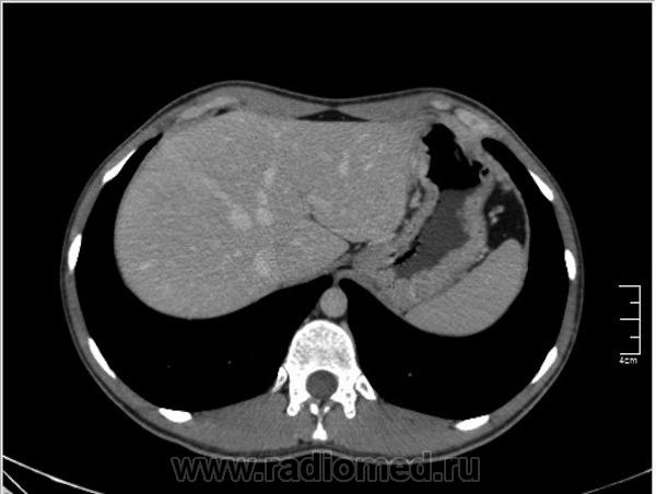
Уважаемый v1tal! Огромная Вам благодарность; Вы назвали ключевое слово: фаза! Высказанная Вами мысль, это моя основная цель данной публикации. Постараюсь позже более детально объяснить почему. Представленные сканы выше, были выполнены на стандартной портальное фазе. А сейчас, я покажу сканы данного пациента выполненные на артериальной фазе :
Let me see...
radiographia.ru
Это может быть нодуллярной гиперплазией? Еще бы рубец законтрастировался в отсроченную фазу.
https://www.instagram.com/pediatricradiology/
Доктор Марио! С объемным образованием печени все понятно. У меня вопрос. Почему сразу стали выполнять КТ печени, а не УЗИ? Или пациенту было выполнено УЗИ и потом КТ.
dok
Да Ola la, Вы абсолютно правы; это Фокальная Нодулярная Гиперплазия печени (FNH Focal Nodular Hyperplasia). Одна из немногих гиперваскулярных опухолей печени. Наверное некоторые коллеги спросят, и зачем было изначально публиковать портальную фазу, на которой "не видно" (хотя опухоль видна, пусть и не напрямую, и Nela это доказала); и только потом показывать сканы на артериальной фазе, на которой всё "красиво и показательно". Постараюсь объяснить.
За эти два года, в течении которых я познакомился с радиологическим русскоговорящим интернетом, я пришёл к определённым выводам... К сожалению, при наличии уже довольно неплохого парка современной аппаратуры в клиниках России и СНГ (у меня лично аппаратура намного скромнее по возможностям чем например у Nela или v1tal), ощущается огромный пробел в знаниях очень многих врачей, которые работают на этих аппаратах. И как следствие, врачи классические рентгенологи, отправляя пациентов на до-обследование в эти клиники, получая при этом неудовлетворительный результат проведённых исследований, начинают полагать (и имеют на это право), что зачем все эти "КТ и МРТ", если мы по своим стандартным рентгенологическим методикам получаем тот же результат (если иногда и не лучше-живой пример тому публикация vital с дивертикулом пищевода, где врач КТ написал диафрагмальную грыжу). И когда я читаю такие посты, мне становится очень обидно, хотя повторюсь, я уже пониманию причины такого мышления. Тем более что мало кто знает, что КТ и МРТ это не "статические методики", при которых взял пациента, положил на стол, дал контраст (как, куда, на какой скорости-мало кого волнует), сделал одну спираль/фазу, и до свиданья, "подавайте" следующего. Современные протоколы КТ и МРТ выработаны ПОД КАЖДЫЙ КОНКРЕТНЫЙ ДИАГНОЗ, иными словами, если мы подозреваем заболевание кишечника, и снимем пациента по протоколу разработанному для диагностики патологии печени или поджелудочной, то мы можем пропустить "всё на свете" в кишечнике, и при этом ничего не найти в печени или панкреас.
Коллеги! Если посадить водителя любителя за руль автомобиля класса Формула 1, он разобьёт авто на первом-же круге (в лучшем случае) или разобьётся сам (в худшем варианте), надеюсь ассоциация понятна? Поэтому, и не смотря на некоторые периодически возникающие "разногласия" между мной и другими уважаемыми мной и другими участниками, коллегами; я хочу попытаться вместе с Вами, активными пользователями наших сайтов, как радиомед так и радиографии, потихоньку разобраться с некоторыми пробелами касающихся именно методики выполнения и оценки КТ диагностики. На приведённом выше примере, предлагаю начать с диагностики патологии печени. Но сначала прошу коллег работающих на КТ написать своё видение и описать свои протоколы сканирования пациентов, которые направляются к ним с предположительной патологией печени.
Let me see...
radiographia.ru
Рад Вас видеть доктор Ермолаев! Не воспринимайте эту публикацию как демонстрацию конкретной патологии, цель данной ветки другая, я постарался её изложить как раз в предыдущем посте.
Пациенту было выполнено УЗИ перед КТ, на этом основании мы и выполнили КТ печени по таргетному протоколу.
Let me see...
radiographia.ru
Могу только приветствовать Ваше начинание. Действительно пробелы в образовании коллосальные. Но это не значит, что мы не хотим учиться. Очень хотим. Потому и пропадаю вечерами в интернете. В моей ситуации вся надежда только на самообразование. Хорошо еще, что немного читаю по-английски, иначе не знаю что бы я делала, ведь литературы на русском очень мало. Первый и последний раз когда я училась КТ был в 1992 году! Будет ли еще, не знаю. Очень помогли предыдущие специализации по нейрорентгенологии. И, конечно, большая часть - это КТ головного мозга. Мы всего второй год работаем на 64 спиралях, до этого был пошаговый Дженерал Электрик. Так что мы с трехколесного велосипеда сразу пересели на гоночный автомобиль. Приехал на неделю (5 дней) врач-аппликатор, показал на какие кнопки нажимать и уехал. А мы вперед на гоночную трассу. А что делать? Надо работать. Часть протоколов нам завела врач-аппаликатор с фирмы, часть я нашла в интернете. Осваиваем потихоньку. Ну вот и поплакалась, видно наболело.
Что касается протокола исследования печени - это двухфазное сканирование: артериальная и портальная фаза. Скорость введения 4 мл в сек., 100-150 мл контраста в зависимости от объема пациента, 40 мл физраствора с той же скоростью. Подробнее могу посмотреть в понедельник.
Направляют к нам на исследование печени с подозрением на метастазы, гемангиомы и др. опухоли. Но таких больных не очень много, наверное они сразу направляются в онкодиспансер.
Nela, Спасибо за пост. И за высказанное мнение, я Вас понимаю.
По нашей основной теме, Вы правы, стандартный протокол КТ исследования печени подразумевает проведение артериальной и портальной фазы, некоторые источники ещё ратуют за трёх-фазовый протокол. Но, как я уже писал ранее, на данный момент это не совсем правильный подход, ибо сейчас существуют протоколу под каждую конкретную патологию, а не под определённую анатомическую область или орган. И это правильно, так как цель радиологии это исследование и оценка именно патологии, а она может вести себя или иметь определённые характеристики (кровоснабжение, структуру и т.д.) весьма отличительную от того органа, в котором она локализуется. Я позже размещу некоторые протоколы для наиболее распространённых патологических состояний печени.
А теперь предлагаю высказаться по такому вопросу, как вы считаете, нужна ли нативная фаза при сканировании печени (и если нужна то в каком случае), и когда надо делать отсроченные фазы?
Let me see...
radiographia.ru
Натив делаем, как ни досадно. И нередко это единственная "фаза". Причина банальна, нет денег на контраст. Если видим изменения рекомендуем контрастирование (сами себе!?) и тогда контраст иногда находится или больного кладут в стационар. Некоторые отправляются в онкодиспансер. Контраст за счет больницы выписывается только стационарным больным. Если есть контраст то делаем 2 фазы. Третья, отсроченная редко используется. Зачем нужна нативная фаза? Наверное при подозрении на кровоизлияние. Интересно узнать Ваше мнение.
Про нативную фазу: разумеется, нужна. Любое патологическое образование следует оценивать во всех фазах сканирования, и нативной в том числе. При нативном сканировании лучше видны такие особенности образования, как кальцинаты или, скажем, участки жирового перерождения. Кроме того, иногда (к счастью, редко) встречается так, что образования в нативную фазу видны лучше всего. Например, некоторые гиперваскулярные метастазы.
Отсроченные фазы, на мой взгляд, стоит выполнять прежде всего при "атипичных" гемангиомах печени, то есть тех, которые не дают ярких участков контрастирования в артериальную фазу - в таком случае феномен "выравнивания плотности" помогает выставить верный диагноз.
Наверное я слишком сгустил
Зри в корень!
Нативная фаза: при оценке патологии печени данная фаза имеет очень маленькое значение. Наверное единственное сохранившееся показание для выполнения данной фазы, является подозрение на аденому печени (для выявления характерного кровоизлияния); во всех остальных случаях, данная фаза не имеет практического значения и не даёт существенной дополнительной информации. Кальцинаты печени отличны видны в артериальную и портальную фазу. По поводу "гиперваскулярных метастазов", на то они и называются гиперваскулярными, что усиливаются и проявляются именно в артериальную фазу! Выполнять нативную фазу при сканировании печени, будет нести только дополнительную лучевую нагрузку для пациента и неразумный расход ресурсов трубки.
Let me see...
radiographia.ru
Я бы хотела добавить, нативная КТ (non enhanced СТ) ценна при подозрении на травматическое кровоизлияние, при оценке обызвествлений и гемохроматозе.
Необходимость проводить отстроченную фазу возникает, когда подозреваем холангиокарциному и опухоли с богатой соединительнотканной стромой, которые именно на остроченных сканах длительно удерживают контраст.
С уважением Deresh Natali
Добро времени суток коллеги!
По поводу нативного исследования - всегда делать, в 100%
первое - предшествующие исследования (рентген, УЗИ и т.д.) далеко не всегда отражают истинную ситуацию в зоне сканирования.
второе - Вы ратуете за стандарты, а рассуждаете как "свободные художники" - "делаю как мне кажется правильным".
Стандарт мультифазного исследования органов брюшной полости - натив, артериальная фаза (задержка в зависимости от пораженного органа), венозная фаза (задержка в зависимости от пораженного органа), ранняя отсроченная фаза (задержка сканирования от мониторинга 5 - 6 мин).
Коллега, почему вы решили, что контрастируют кто как хочет?
Все рекоммендации из зарубежной практики применения КТ, прописанные протоколы в зависимости от клинической ситуации, никак не "отсебятина".
С уважением Deresh Natali
Добрый день!
Вопрос касался натива.
А так получается контрастирование по протоколу, а нативная фаза и отсроченная фаза это произвольно?
С уважением, А.
Собираю коллекцию случаев, где без нативной (или какой либо другой) фазы нельзя было обойтись. Думаю, что и в этом сучае информация о нативной фазе была бы не лишней, ведь ФНГ может быть в ней абсолютно изоплотностной с окружающей паренхимой, а это важно.
Shut