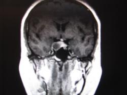
Пол пациента: Женский пол Тип патологии: Доброкачественное новообразование, киста Область исследования: Череп и головной мозг Методы исследования: МРТ Tue, 15/12/2009 - 13:16 #1 Dr.Mario Offline Last seen: 11 years 2 months ago Joined: 06.08.2008 - 08:44 Posts: 920 Макроаденома гипофиза. Let me see... radiographia.ru Tue, 15/12/2009 - 15:26 #2 irena Offline Last seen: 9 years 8 months ago Joined: 28.09.2009 - 13:00 Posts: 289 Я бы добавила -кистозная. Tue, 15/12/2009 - 15:28 #3 Dr.Mario Offline Last seen: 11 years 2 months ago Joined: 06.08.2008 - 08:44 Posts: 920 Но на Т1 я не увидел "чистого" гипоинтенсивного сигнала соответствующего жидкости? Let me see... radiographia.ru Tue, 15/12/2009 - 17:51 #4 irena Offline Last seen: 9 years 8 months ago Joined: 28.09.2009 - 13:00 Posts: 289 за счет жидкостного содержимого может говормить феномен седиментации, может содержимое с коллоидным компонентом. Sun, 25/10/2015 - 20:33 #5 schlyapa Offline Last seen: 8 years 2 months ago Joined: 27.09.2013 - 22:15 Posts: 613 Так могла бы выглядеть киста кармана Ратке?
Макроаденома гипофиза.
Let me see...
radiographia.ru
Я бы добавила -кистозная.
Но на Т1 я не увидел "чистого" гипоинтенсивного сигнала соответствующего жидкости?
Let me see...
radiographia.ru
за счет жидкостного содержимого может говормить феномен седиментации, может содержимое с коллоидным компонентом.
Так могла бы выглядеть киста кармана Ратке?